• Tel: 858.663.9055
  • SeparatorEmail: info@nsjbio.com
  • Tel: 858.663.9055
  • Email: info@nsjbio.com
Home >> Antibodies >> Calbindin Antibody / CALB1

Calbindin Antibody / CALB1 [clone AAAA-3] (RQ5133)

  Catalog No Formulation Size Price (USD)  
Image RQ5133 Antibody in PBS with 0.02% sodium azide, 50% glycerol and 0.4-0.5mg/ml BSA 100 ul 449
Microvalidated Rab Mono Image
Bulk quote request
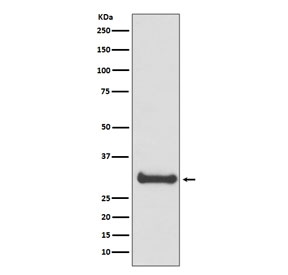
Western blot testing of human fetal brain lysate with Calbindin antibody. Predicted molecular weight: 27-28 kDa.
Availability 1-2 weeks
Species Reactivity Human
Format Purified
Host Rabbit
Clonality Rabbit Monoclonal
Isotype Rabbit IgG
Clone Name AAAA-3
Purity Affinity purified
UniProt P05937
Applications Western Blot : 1:500-1:2000
Limitations This Calbindin antibody is available for research use only.
Review this product on BioCompare and get a $20 Amazon gift card

Related Products

Description

The protein encoded by the CALB1 gene is a member of the calcium-binding protein superfamily that includes calmodulin and troponin C. Originally described as a 27 kDa protein, it is now known to be a 28 kDa protein. It contains four active calcium-binding domains, and has two modified domains that are thought to have lost their calcium binding capability. This protein is thought to buffer entry of calcium upon stimulation of glutamate receptors. Depletion of this protein was noted in patients with Huntington disease. [RefSeq]

Application Notes

Optimal dilution of the Calbindin antibody should be determined by the researcher.

Immunogen

A synthetic peptide specific to human Calbindin / CALB1 was used as the immunogen for the Calbindin antibody.

Storage

Store the Calbindin antibody at -20oC.

Cross
Bulk Quote Request Form
Name*:
Organization*:
Email*:
Phone Number*:
Catalog No.*:
Comments and Specifics(amount, formulation, etc.)*:
Validation code: Captchapackage Image


Can't read the image? click here to refresh.
    *required field

Your bulk quote request has been submitted successfully!

Please contact us if you have any questions.