• Tel: 858.663.9055
  • SeparatorEmail: info@nsjbio.com
  • Tel: 858.663.9055
  • Email: info@nsjbio.com
Home >> Antibodies >> Calbindin 1 Antibody / CALB1

Calbindin 1 Antibody / CALB1 [clone CALB1/2364] (V8169)

  Catalog No Formulation Size Price (USD)  
Image V8169-100UG 0.2 mg/ml in 1X PBS with 0.1 mg/ml BSA (US sourced) and 0.05% sodium azide 100 ug 559
Image
V8169-20UG 0.2 mg/ml in 1X PBS with 0.1 mg/ml BSA (US sourced) and 0.05% sodium azide 20 ug 259
Image
V8169SAF-100UG 1 mg/ml in 1X PBS; BSA free, sodium azide free 100 ug 559
Microvalidated
Bulk quote request
Human Protein Microarray specificity analysis of Calbindin 1 / CALB1 antibody (clone CALB1/2364). Screening on a HuProt microarray containing more than 19,000 full-length human proteins demonstrates strongest reactivity to CALB1, ranked first by Z score, with markedly lower signals observed for non-target proteins. The Z score reflects signal intensity relative to the array mean in standard deviations, while the S score represents the difference in Z scores between sequentially ranked proteins and indicates relative target specificity. The high Z and S scores for CALB1 support selective binding of clone CALB1/2364 to its intended target under the assay conditions.
SDS-PAGE analysis of purified, BSA-free Calbindin 1 antibody as confirmation of integrity and purity.
Availability 1-3 business days
Species Reactivity Human
Format Purified
Host Mouse
Clonality Monoclonal (mouse origin)
Isotype Mouse IgG1, kappa
Clone Name CALB1/2364
Purity Protein G affinity chromatography
UniProt P05937
Localization Cytoplasmic, nuclear, secreted
Applications ELISA (order BSA-free Format For Coating) :
Limitations This Calbindin 1 antibody is available for research use only.
Review this product on BioCompare and get a $20 Amazon gift card

Related Products

Description

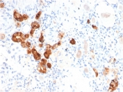
Calbindin 1 antibody, also known as CALB1 antibody, recognizes Calbindin 1, a cytoplasmic EF-hand calcium-binding protein commonly referred to as Calbindin-D28k. Encoded by the CALB1 gene on chromosome 8q21, Calbindin 1 is a member of the calbindin subfamily within the larger EF-hand calcium-binding protein family and plays a central role in intracellular calcium buffering. By binding free Ca2+ through multiple EF-hand domains, Calbindin 1 regulates calcium flux, shapes calcium transients, and helps protect cells from calcium-mediated stress. The protein is predominantly localized to the cytoplasm and is highly expressed in defined neuronal populations, including cerebellar Purkinje cells, hippocampal neurons, and subsets of cortical interneurons. Calbindin 1 antibody is therefore widely used as a marker to study neuronal subtype identity and calcium signaling dynamics in both normal and diseased tissue.

Beyond the central nervous system, Calbindin 1 is detected in peripheral tissues such as kidney distal tubules, intestinal epithelium, and pancreatic islet cells, where it contributes to calcium transport and secretion-related processes. Structurally, Calbindin 1 contains six EF-hand motifs, four of which bind calcium ions with high affinity. Upon calcium binding, the protein undergoes conformational changes that enable interactions with signaling molecules and influence downstream pathways involved in neurotransmission, synaptic plasticity, and cellular excitability. Altered CALB1 expression has been associated with neurodegenerative disorders including Alzheimer's disease and Parkinson's disease, where impaired calcium homeostasis contributes to neuronal vulnerability. Changes in Calbindin 1 levels have also been described in certain malignancies, highlighting broader biological relevance outside the nervous system. Developmentally, CALB1 expression is dynamically regulated, with distinct patterns observed during embryogenesis and postnatal brain maturation. Because of its stable and cell type-restricted expression pattern, Calbindin 1 antibody serves as a reliable tool for evaluating tissue architecture, neuronal differentiation, and disease-associated alterations in calcium-handling capacity. Clone CALB1/2364 is designed to target Calbindin 1 in research applications and supports detection of Calbindin 1 expression in diverse experimental systems.

Application Notes

Optimal dilution of the Calbindin 1 antibody should be determined by the researcher.

Immunogen

A recombinant human partial protein (amino acids 7-96) was used as the immunogen for this Calbindin 1 antibody.

Storage

Store the Calbindin 1 antibody at 2-8oC (with azide) or aliquot and store at -20oC or colder (without azide).

Cross
Bulk Quote Request Form
Name*:
Organization*:
Email*:
Phone Number*:
Catalog No.*:
Comments and Specifics(amount, formulation, etc.)*:
Validation code: Captchapackage Image


Can't read the image? click here to refresh.
    *required field

Your bulk quote request has been submitted successfully!

Please contact us if you have any questions.