• Tel: 858.663.9055
  • SeparatorEmail: info@nsjbio.com
  • Tel: 858.663.9055
  • Email: info@nsjbio.com
Home >> Antibodies >> CALB2 Antibody / Calbindin 2 / Calretinin

CALB2 Antibody / Calbindin 2 / Calretinin [clone CALB2/2602] (V8172)

  Catalog No Formulation Size Price (USD)  
Image V8172-100UG 0.2 mg/ml in 1X PBS with 0.1 mg/ml BSA (US sourced) and 0.05% sodium azide 100 ug 559
Image
V8172-20UG 0.2 mg/ml in 1X PBS with 0.1 mg/ml BSA (US sourced) and 0.05% sodium azide 20 ug 259
Image
V8172SAF-100UG 1 mg/ml in 1X PBS; BSA free, sodium azide free 100 ug 559
Microvalidated
Bulk quote request
IHC testing of FFPE human testicular carcinoma with CALB2 antibody. HIER: boil tissue sections in pH 9 10mM Tris with 1mM EDTA for 10-20 min followed by cooling at RT for 20 min.
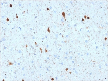
IHC testing of FFPE human cerebellum with CALB2 antibody. HIER: boil tissue sections in pH 9 10mM Tris with 1mM EDTA for 10-20 min followed by cooling at RT for 20 min.
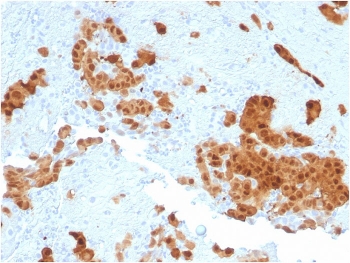
IHC testing of FFPE human mesothelioma with CALB2 antibody. HIER: boil tissue sections in pH 9 10mM Tris with 1mM EDTA for 10-20 min followed by cooling at RT for 20 min.
Western blot testing of human brain lysate with CALB2 antibody (clone CALB2/2602). Expected molecular weight ~29 kDa.
Analysis of HuProt(TM) microarray containing more than 19,000 full-length human proteins using CALB2 antibody (clone CALB2/2602). These results demonstrate the foremost specificity of the CALB2/2602 mAb.
Z- and S- score: The Z-score represents the strength of a signal that an antibody (in combination with a fluorescently-tagged anti-IgG secondary Ab) produces when binding to a particular protein on the HuProt(TM) array. Z-scores are described in units of standard deviations (SD's) above the mean value of all signals generated on that array. If the targets on the HuProt(TM) are arranged in descending order of the Z-score, the S-score is the difference (also in units of SD's) between the Z-scores. The S-score therefore represents the relative target specificity of an Ab to its intended target.
SDS-PAGE analysis of purified, BSA-free Calbindin 2 antibody (clone CALB2/2602) as confirmation of integrity and purity.
Western blot testing of human brain lysate with CALB2 antibody (clone CALB2/2602). Expected molecular weight ~29 kDa.
Availability 1-3 business days
Species Reactivity Human
Format Purified
Host Mouse
Clonality Monoclonal (mouse origin)
Isotype Mouse IgG1, kappa
Clone Name CALB2/2602
Purity Protein G affinity chromatography
UniProt P22676
Localization Nuclear, cytoplasmic
Applications Western Blot : 1-2ug/ml
Immunohistochemistry (FFPE) : 1-2ug/ml
Limitations This CALB2 antibody is available for research use only.
Review this product on BioCompare and get a $20 Amazon gift card

Related Products

Description

It recognizes a protein of about 29kDa, which is identified as Calretinin (also known as Calbindin 2). Calretinin is a vitamin D-dependent calcium-binding protein involved in calcium signaling. It is present in subsets of neurons throughout the brain and spinal chord, including sensory ganglia. Antibody to calretinin is useful in differentiating mesothelioma from adenocarcinomas of the lung. It also aids in differentiating adrenal cortical neoplasms from pheochromocytomas.

Application Notes

Optimal dilution of the CALB2 antibody should be determined by the researcher.

Immunogen

A portion of amino acids 23-242 from the human protein was used as the immunogen for the Calretinin antibody.

Storage

Store the CALB2 antibody at 2-8oC (with azide) or aliquot and store at -20oC or colder (without azide).

Cross
Bulk Quote Request Form
Name*:
Organization*:
Email*:
Phone Number*:
Catalog No.*:
Comments and Specifics(amount, formulation, etc.)*:
Validation code: Captchapackage Image


Can't read the image? click here to refresh.
    *required field

Your bulk quote request has been submitted successfully!

Please contact us if you have any questions.