• Tel: 858.663.9055
  • SeparatorEmail: info@nsjbio.com
  • Tel: 858.663.9055
  • Email: info@nsjbio.com
Home >> Antibodies >> CALB1 Antibody / Calbindin

CALB1 Antibody / Calbindin [clone CALB1/3333] (V7963)

  Catalog No Formulation Size Price (USD)  
Image V7963-100UG 0.2 mg/ml in 1X PBS with 0.1 mg/ml BSA (US sourced) and 0.05% sodium azide 100 ug 559
Image
V7963-20UG 0.2 mg/ml in 1X PBS with 0.1 mg/ml BSA (US sourced) and 0.05% sodium azide 20 ug 259
Image
V7963SAF-100UG 1 mg/ml in 1X PBS; BSA free, sodium azide free 100 ug 559
Microvalidated
Bulk quote request
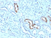
IHC staining of FFPE human kidney with CALB1 antibody. HIER: boil tissue sections in pH 9 10mM Tris with 1mM EDTA for 20 min and allow to cool before testing.
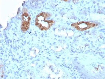
IHC staining of FFPE human kidney with CALB1 antibody. HIER: boil tissue sections in pH 9 10mM Tris with 1mM EDTA for 20 min and allow to cool before testing.
Analysis of HuProt(TM) microarray containing more than 19,000 full-length human proteins using CALB1 antibody (clone CALB1/3333). These results demonstrate the foremost specificity of the CALB1/3333 mAb. Z- and S- score: The Z-score represents the strength of a signal that an antibody (in combination with a fluorescently-tagged anti-IgG secondary Ab) produces when binding to a particular protein on the HuProt(TM) array. Z-scores are described in units of standard deviations (SD's) above the mean value of all signals generated on that array. If the targets on the HuProt(TM) are arranged in descending order of the Z-score, the S-score is the difference (also in units of SD's) between the Z-scores. The S-score therefore represents the relative target specificity of an Ab to its intended target.
SDS-PAGE analysis of purified, BSA-free CALB1 antibody as confirmation of integrity and purity.
Availability 1-3 business days
Species Reactivity Human
Format Purified
Host Mouse
Clonality Monoclonal (mouse origin)
Isotype Mouse IgG2b, kappa
Clone Name CALB1/3333
Purity Protein G affinity chromatography
UniProt P05937
Localization Cytoplasmic, nuclear, secreted
Applications ELISA (order BSA-free Format For Coating) :
Immunohistochemistry (FFPE) : 1-2ug/ml
Limitations This CALB1 antibody is available for research use only.
Review this product on BioCompare and get a $20 Amazon gift card

Related Products

Description

CALB1 antibody detects Calbindin protein. The family of EF-hand type Ca2+-binding proteins includes Calbindin D28K, Calbindin D9K, S-100 and Calgranulin A (also designated MRP8), Calgranulin B (also designated MRP14), Calgranulin C and the Parvalbumin family members, including Parvalbumin and Parvalbumin (also designated oncomodulin). Calbindin D28K, also known as calbindin, CALB1, D-28K or vitamin D-dependent calcium-binding protein, is a 261-amino acid protein with 6 EF-hand domains, 4 of which are active calcium-binding domains. Expressed in brain, ovary, uterus, testis, pancreas, liver, kidney and intestine, Calbindin D28K acts as a calcium-buffering agent and alters the activity of the plasma membrane ATPase. In neuronal cells, Calbindin D28K modulates calcium channel activity, calcium transients and intrinsic neuronal firing activity. Also, Calbindin D28K has been implicated to play a role in apoptosis and microtubule function.

Application Notes

Optimal dilution of the CALB1 antibody should be determined by the researcher.

Immunogen

A recombinant human partial protein (amino acids 7-96) was used as the immunogen for this CALB1 antibody.

Storage

Store the CALB1 antibody at 2-8oC (with azide) or aliquot and store at -20oC or colder (without azide).

Cross
Bulk Quote Request Form
Name*:
Organization*:
Email*:
Phone Number*:
Catalog No.*:
Comments and Specifics(amount, formulation, etc.)*:
Validation code: Captchapackage Image


Can't read the image? click here to refresh.
    *required field

Your bulk quote request has been submitted successfully!

Please contact us if you have any questions.