• Tel: 858.663.9055
  • SeparatorEmail: info@nsjbio.com
  • Tel: 858.663.9055
  • Email: info@nsjbio.com
Home >> Antibodies >> CALB1 Antibody / Calbindin 1

CALB1 Antibody / Calbindin 1 [clone rCALB1/8499] (V5256)

  Catalog No Formulation Size Price (USD)  
Image V5256-100UG 0.2 mg/ml in 1X PBS with 0.1 mg/ml BSA (US sourced), 0.05% sodium azide 100 ug 559
Image
V5256-20UG 0.2 mg/ml in 1X PBS with 0.1 mg/ml BSA (US sourced), 0.05% sodium azide 20 ug 259
Image
V5256SAF-100UG 1 mg/ml in 1X PBS; BSA free, sodium azide free 100 ug 559
Microvalidated Recmousemono
Bulk quote request
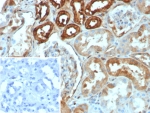
IHC staining of FFPE human kidney tissue with CALB1 antibody (clone rCALB1/8499). HIER: boil tissue sections in pH 9 10mM Tris with 1mM EDTA for 20 min and allow to cool before testing.
IHC staining of FFPE human kidney tissue with CALB1 antibody (clone rCALB1/8499). Inset: PBS used in place of primary Ab (secondary Ab negative control). HIER: boil tissue sections in pH 9 10mM Tris with 1mM EDTA for 20 min and allow to cool before testing.
SDS-PAGE analysis of purified, BSA-free CALB1 antibody (clone rCALB1/8499) as confirmation of integrity and purity.
Availability 1-3 business days
Species Reactivity Human
Format Purified
Host Mouse
Clonality Recombinant Mouse Monoclonal
Isotype Mouse IgG1, kappa
Clone Name rCALB1/8499
Purity Protein A/G affinity
UniProt P05937
Localization Nucleus, Cytoplasm
Applications Immunohistochemistry (FFPE) : 1-2ug/ml for 30 min at RT
Limitations This CALB1 antibody is available for research use only.
Review this product on BioCompare and get a $20 Amazon gift card

Related Products

Description

The family of EF-hand type Ca2+-binding proteins includes Calbindin D28K, Calbindin D9K, S-100 Alpha and Beta, Calgranulin A (also designated MRP8), Calgranulin B (also designated MRP14), Calgranulin C and the Parvalbumin family members, including Parvalbumin Alpha and Parvalbumin Beta (also designated oncomodulin). Calbindin D28K, also known as calbindin, CALB1, D-28K or vitamin D-dependent calcium-binding protein, is a 261-amino acid protein with 6 EF-hand domains, 4 of which are active calcium-binding domains. Expressed in brain, ovary, uterus, testis, pancreas, liver, kidney and intestine, Calbindin D28K acts as a calcium-buffering agent and alters the activity of the plasma membrane ATPase. In neuronal cells, Calbindin D28K modulates calcium channel activity, calcium transients and intrinsic neuronal firing activity. Also, Calbindin D28K has been implicated to play a role in apoptosis and microtubule function.

Application Notes

Optimal dilution of the CALB1 antibody should be determined by the researcher.

Immunogen

A recombinant partial protein sequence (within amino acids 7-96) from the human protein was used as the immunogen for the CALB1 antibody.

Storage

Aliquot the CALB1 antibody and store frozen at -20oC or colder. Avoid repeated freeze-thaw cycles.

Cross
Bulk Quote Request Form
Name*:
Organization*:
Email*:
Phone Number*:
Catalog No.*:
Comments and Specifics(amount, formulation, etc.)*:
Validation code: Captchapackage Image


Can't read the image? click here to refresh.
    *required field

Your bulk quote request has been submitted successfully!

Please contact us if you have any questions.