• Tel: 858.663.9055
  • SeparatorEmail: info@nsjbio.com
  • Tel: 858.663.9055
  • Email: info@nsjbio.com
Home >> Antibodies >> CADM4 Antibody

CADM4 Antibody (R35577)

  Catalog No Formulation Size Price (USD)  
Image R35577-100UG 0.5 mg/ml in 1X TBS, pH7.3, with 0.5% BSA (US sourced) and 0.02% sodium azide 100 ug 475
Bulk quote request
Western blot testing of human cerebellum lysate with CADM4 antibody A) cat # R34370 (0.1ug/ml) and B) cat # R35577 (0.05ug/ml). Predicted molecular weight: ~43 kDa (unmodified), 50-70 kDa (glycosylated).
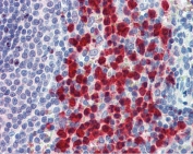
IHC testing of FFPE human spleen tissue with CADM4 antibody at 2.5ug/ml. Required HIER: steamed antigen retrieval with pH6 citrate buffer; AP-staining.
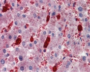
IHC testing of FFPE human liver tissue with CADM4 antibody at 2.5ug/ml. Required HIER: steamed antigen retrieval with pH6 citrate buffer; AP-staining.
Availability 1-3 business days
Species Reactivity Human
Predicted Reactivity Mouse, Rat, Dog
Format Antigen affinity purified
Host Goat
Clonality Polyclonal (goat origin)
Isotype Goat Ig
Purity Antigen affinity
Gene ID 199731
Applications Western Blot : 0.1-0.3ug/ml
IHC (FFPE) : 2.5ug/ml
ELISA (peptide) LOD : 1:32000
Limitations This CADM4 antibody is available for research use only.
Review this product on BioCompare and get a $20 Amazon gift card

Related Products

  • Applications : WB, IHC, ELISA (peptide)
    Reactivity : Human
    Pred. Reactivity : Mouse, Rat

Description

Additional name(s) for this target protein: Cell adhesion molecule 4

Application Notes

Optimal dilution of the CADM4 antibody should be determined by the researcher.

Immunogen

Amino acids REAFLNGSDGHKRKE were used as the immunogen for this CADM4 antibody.

Storage

Aliquot and store the CADM4 antibody at -20oC.

Cross
Bulk Quote Request Form
Name*:
Organization*:
Email*:
Phone Number*:
Catalog No.*:
Comments and Specifics(amount, formulation, etc.)*:
Validation code: Captchapackage Image


Can't read the image? click here to refresh.
    *required field

Your bulk quote request has been submitted successfully!

Please contact us if you have any questions.