• Tel: 858.663.9055
  • SeparatorEmail: info@nsjbio.com
  • Tel: 858.663.9055
  • Email: info@nsjbio.com
Home >> Antibodies >> Cadherin 2 Antibody / N-Cadherin / CDH2

Cadherin 2 Antibody / N-Cadherin / CDH2 [clone CDH2/9491] (V5633)

  Catalog No Formulation Size Price (USD)  
Image V5633-100UG 0.2 mg/ml in 1X PBS with 0.1 mg/ml BSA (US sourced), 0.05% sodium azide 100 ug 559
Image
V5633-20UG 0.2 mg/ml in 1X PBS with 0.1 mg/ml BSA (US sourced), 0.05% sodium azide 20 ug 259
Image
V5633SAF-100UG 1 mg/ml in 1X PBS; BSA free, sodium azide free 100 ug 559
Bulk quote request
Cadherin 2 Antibody Heart Tissue WB. Western blot analysis of N-Cadherin / CDH2 expression in human heart tissue lysate using Cadherin 2 antibody clone CDH2/9491. Lane 1: human heart lysate. A strong band is detected at approximately 120-135 kDa, consistent with the predicted molecular weight of N-Cadherin (CDH2), with the higher apparent migration reflecting known glycosylation of this adhesion protein. A faint lower band is also observed, which may represent partial proteolytic processing or degradation. The robust signal in cardiac tissue is consistent with the established role of N-Cadherin in cardiomyocyte adhesion and intercalated disc formation.
SDS-PAGE analysis of purified, BSA-free Cadherin 2 antibody (clone CDH2/9491) as confirmation of integrity and purity.
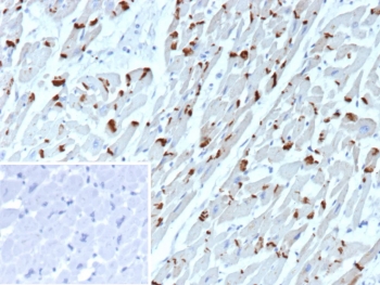
Cadherin 2 Antibody Heart Tissue IHC. Immunohistochemical analysis of N-Cadherin / CDH2 expression in formalin-fixed, paraffin-embedded human heart tissue using Cadherin 2 antibody clone CDH2/9491. Predominantly membranous staining is observed along cardiomyocyte cell-cell junctions, with additional cytoplasmic signal in cardiac muscle fibers, consistent with localization at intercalated discs. The staining pattern highlights the structural role of N-Cadherin in maintaining cardiac tissue integrity. The inset shows a negative control with PBS used in place of the primary antibody, confirming minimal non-specific background. HIER: boil tissue sections in pH 9 10mM Tris with 1mM EDTA for 20 min and allow to cool before testing.
Availability 1-3 business days
Species Reactivity Human
Format Purified
Host Mouse
Clonality Monoclonal (mouse origin)
Isotype Mouse IgG2b, kappa
Clone Name CDH2/9491
Purity Protein G affinity
UniProt P19022
Localization Cell Surface, Cytoplasm
Applications Immunohistochemistry (FFPE) : 1-2ug/ml
Western Blot : 2-4ug/ml
Limitations This Cadherin 2 antibody is available for research use only.
Review this product on BioCompare and get a $20 Amazon gift card

Related Products

Description

Cadherin 2 Antibody recognizes a protein of ~140kDa, identified as N-Cadherin (NCAD), also known as CD325. NCAD is a member of the Cadherin superfamily, and consists of five extracellular repeats, a transmembrane domain and a cytoplasmic domain. CD325 has been implicated in several aspects of cardiac development including the precardiac mesoderm, establishment of left-right symmetry and cardiac looping morphogenesis.

This antibody is part of a broader antibody panel offered by NSJ Bioreagents.

Application Notes

Optimal dilution of the Cadherin 2 antibody should be determined by the researcher.

Immunogen

A recombinant human Cadherin 2 partial protein from the cytoplasmic domain was used as the immunogen for the Cadherin 2 antibody.

Storage

Aliquot the Cadherin 2 antibody and store frozen at -20oC or colder. Avoid repeated freeze-thaw cycles.

Cross
Bulk Quote Request Form
Name*:
Organization*:
Email*:
Phone Number*:
Catalog No.*:
Comments and Specifics(amount, formulation, etc.)*:
Validation code: Captchapackage Image


Can't read the image? click here to refresh.
    *required field

Your bulk quote request has been submitted successfully!

Please contact us if you have any questions.