• Tel: 858.663.9055
  • SeparatorEmail: info@nsjbio.com
  • Tel: 858.663.9055
  • Email: info@nsjbio.com
Home >> Antibodies >> Cadherin 2 Antibody / N-Cadherin Pan-Species Consistent Detection Antibody

Cadherin 2 Antibody / N-Cadherin Pan-Species Consistent Detection Antibody [clone CDH2/8862R] (V4537)

  Catalog No Formulation Size Price (USD)  
Image V4537-100UG 0.2 mg/ml in 1X PBS with 0.1 mg/ml BSA (US sourced), 0.05% sodium azide 100 ug 559
Image
V4537-20UG 0.2 mg/ml in 1X PBS with 0.1 mg/ml BSA (US sourced), 0.05% sodium azide 20 ug 259
Image
V4537SAF-100UG 1 mg/ml in 1X PBS; BSA free, sodium azide free 100 ug 559
Microvalidated Recrabbitmono
Bulk quote request
Cadherin 2 Antibody Pan-Species Brain and Heart WB. Western blot analysis of N-Cadherin / CDH2 expression across multi-species brain and heart tissue lysates using Cadherin 2 antibody clone CDH2/8862R. Lane 1: human brain lysate, Lane 2: mouse brain lysate, Lane 3: rat brain lysate, Lane 4: hamster brain lysate, Lane 5: guinea pig brain lysate, Lane 6: rabbit brain lysate, Lane 7: human heart lysate, Lane 8: mouse heart lysate, Lane 9: rat heart lysate, Lane 10: hamster heart lysate, Lane 11: guinea pig heart lysate, Lane 12: rabbit heart lysate. A band is detected at approximately 120-135 kDa, consistent with the predicted molecular weight of N-Cadherin (CDH2), with the slightly higher apparent migration reflecting known glycosylation of this transmembrane adhesion protein. The uniform band intensity and consistent migration across all species and both tissue types support the use of this Cadherin 2 antibody as a pan-species consistent detection antibody, reflecting conserved N-Cadherin expression in neural and cardiac tissues.
Cadherin 2 Antibody Brain and Heart WB. Western blot analysis of N-Cadherin / CDH2 expression in human brain and human heart tissue lysates using Cadherin 2 antibody clone CDH2/8862R. Lane 1: human brain lysate, Lane 2: human heart lysate. A band is detected at approximately 120-135 kDa, consistent with the predicted molecular weight of N-Cadherin (CDH2), with the slightly higher apparent migration reflecting known glycosylation of this transmembrane adhesion protein. Comparable band size and intensity between brain and heart samples support consistent detection of N-Cadherin across distinct human tissues, aligning with its conserved role in neural and cardiac cell-cell adhesion.
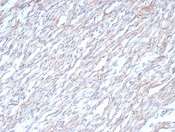
Cadherin 2 Antibody Heart Tissue IHC. Immunohistochemical analysis of N-Cadherin / CDH2 expression in formalin-fixed, paraffin-embedded human heart tissue using Cadherin 2 antibody clone CDH2/8862R. Membranous and cytoplasmic staining is observed in cardiomyocytes, with signal accentuated along cell-cell junctions consistent with localization at intercalated discs. The staining highlights elongated cardiac muscle fibers with organized architecture, while surrounding interstitial areas show minimal background. HIER: boil tissue sections in pH 9 10mM Tris with 1mM EDTA for 20 min and allow to cool before testing.
Availability 1-3 business days
Species Reactivity Human, Mouse, Rat, Hamster, Rabbit, Guinea pig
Format Purified
Host Rabbit
Clonality Recombinant Rabbit Monoclonal
Isotype Rabbit IgG, kappa
Clone Name CDH2/8862R
Purity Protein A/G affinity
UniProt P19022
Localization Cell surface
Applications Immunohistochemistry (FFPE) : 1-2ug/ml for 30 min at RT (Human)
Western Blot : 2-4ug/ml (Human/Mouse/Rat/Hamster/Rabbit/Guinea pig)
Limitations This Cadherin 2 Antibody / N-Cadherin Pan-Species Consistent Detection Antibody is available for research use only.
Review this product on BioCompare and get a $20 Amazon gift card

Related Products

Description

Cadherin 2 (CDH2), commonly known as N-Cadherin, is a classical calcium-dependent transmembrane adhesion protein that plays a central role in maintaining tissue architecture in both neural and cardiac systems. N-Cadherin (CDH2) is localized primarily at the plasma membrane, where it forms adherens junctions through homophilic interactions and connects to the actin cytoskeleton via catenin family proteins. The Cadherin 2 Antibody / N-Cadherin Pan-Species Consistent Detection Antibody is designed to detect this structurally conserved protein with highly uniform performance across multiple vertebrate species, making it particularly valuable for studies that require reliable comparison between experimental models.

Cadherin 2 antibody, also referred to as N-Cadherin antibody and CDH2 antibody in the literature, recognizes a highly conserved adhesion molecule expressed in both brain and heart tissues. A defining feature of this antibody is the consistent band intensity and molecular weight detection observed across human, mouse, rat, hamster, guinea pig, and rabbit samples in western blot analysis. This uniform detection profile reflects stable recognition of conserved epitopes within the N-Cadherin protein and provides a strong technical foundation for cross-species experimental design, where reproducibility across models is critical.

Structurally, N-Cadherin contains five extracellular cadherin repeat domains, a single transmembrane region, and a conserved intracellular tail that binds beta-catenin and p120-catenin to stabilize adherens junctions. These domains are under strong evolutionary constraint due to their essential role in cell-cell adhesion, which directly contributes to the highly consistent detection pattern observed across species. N-Cadherin is also glycosylated, resulting in a slightly higher apparent molecular weight on SDS-PAGE than predicted, a feature that is reproducibly observed in both neural and cardiac tissue lysates and further supports accurate target identification.

Functionally, CDH2 is critical for proper tissue organization in the nervous system, where it regulates neuronal adhesion, migration, neurite outgrowth, and synaptic stability. In cardiac tissue, N-Cadherin is a key structural component of intercalated discs, where it supports mechanical coupling between cardiomyocytes and contributes to coordinated contraction. The strong and uniform expression detected in both brain and heart tissues across species highlights the conserved biological requirement for N-Cadherin in maintaining structural integrity in highly organized, mechanically active tissues.

This Cadherin 2 antibody also demonstrates clear staining in human heart tissue by immunohistochemistry, where membranous localization highlights cardiomyocyte junctions consistent with N-Cadherin distribution at intercalated discs. The alignment between biochemical detection by western blot and tissue-level localization by immunohistochemistry strengthens confidence in target specificity and supports use in integrated experimental workflows combining protein analysis and histological evaluation.

Clone CDH2/8862R is a recombinant rabbit monoclonal antibody designed to recognize conserved regions of the N-Cadherin protein, enabling highly consistent detection across species and tissues. This pan-species consistency provides a meaningful differentiation for this Cadherin 2 antibody, particularly in studies involving translational research, comparative biology, cardiovascular disease models, and neurobiology. For researchers requiring dependable cross-species performance with minimal variability, this antibody offers a well-supported and biologically aligned solution.

This antibody is part of a broader antibody panel offered by NSJ Bioreagents.

Application Notes

Optimal dilution of the Cadherin 2 Antibody / N-Cadherin Pan-Species Consistent Detection Antibody should be determined by the researcher.

Immunogen

A recombinant partial protein sequence (within amino acids 605-905) from the human protein was used as the immunogen for the Cadherin 2 antibody.

Storage

Aliquot the Cadherin 2 antibody and store frozen at -20oC or colder. Avoid repeated freeze-thaw cycles.

Alternate Names

N-Cadherin antibody, CDH2 antibody, Cadherin 2 WB antibody, N-Cadherin multi-species antibody, CDH2 consistency antibody

Cross
Bulk Quote Request Form
Name*:
Organization*:
Email*:
Phone Number*:
Catalog No.*:
Comments and Specifics(amount, formulation, etc.)*:
Validation code: Captchapackage Image


Can't read the image? click here to refresh.
    *required field

Your bulk quote request has been submitted successfully!

Please contact us if you have any questions.