• Tel: 858.663.9055
  • SeparatorEmail: info@nsjbio.com
  • Tel: 858.663.9055
  • Email: info@nsjbio.com
Home >> Antibodies >> Cadherin 2 Antibody / CDH2

Cadherin 2 Antibody / CDH2 [clone CDH2/9494] (V5636)

  Catalog No Formulation Size Price (USD)  
Image V5636-100UG 0.2 mg/ml in 1X PBS with 0.1 mg/ml BSA (US sourced), 0.05% sodium azide 100 ug 559
Image
V5636-20UG 0.2 mg/ml in 1X PBS with 0.1 mg/ml BSA (US sourced), 0.05% sodium azide 20 ug 259
Image
V5636SAF-100UG 1 mg/ml in 1X PBS; BSA free, sodium azide free 100 ug 559
Bulk quote request
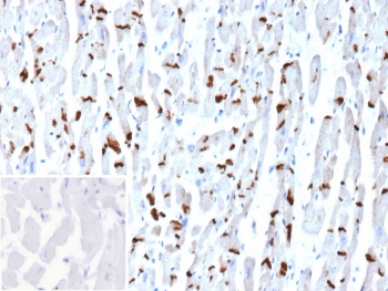
Cadherin 2 Antibody Human Heart Tissue IHC. Immunohistochemistry staining of FFPE human heart tissue with Cadherin 2 antibody (clone CDH2/9494). Inset: PBS used in place of primary Ab (secondary Ab negative control). HIER: boil tissue sections in pH 9 10mM Tris with 1mM EDTA for 20 min and allow to cool before testing.
Cadherin 2 Antibody Human Heart Tissue WB. Western blot testing of human heart tissue lysate with Cadherin 2 antibody (clone CDH2/9494). Predicted molecular weight ~100 kDa (unmodified), 125-140 kDa (modified).
SDS-PAGE analysis of purified, BSA-free Cadherin 2 antibody (clone CDH2/9494) as confirmation of integrity and purity.
Cadherin 2 Antibody A549 Cell Lysate WB. Western blot analysis of N-Cadherin / CDH2 expression in A549 cell lysate using Cadherin 2 antibody clone CDH2/9494. Lane 1: A549 cell lysate. A clear band is detected at approximately 120-135 kDa, consistent with the predicted molecular weight of N-Cadherin (CDH2), with the higher apparent migration reflecting known glycosylation of this transmembrane adhesion protein. Faint lower bands are also present and may represent proteolytic fragments or partially processed forms. The detection pattern in A549 cells is consistent with reported N-Cadherin expression in epithelial-derived cancer cell lines undergoing epithelial-to-mesenchymal transition.
Availability 1-3 business days
Species Reactivity Human
Format Purified
Host Mouse
Clonality Monoclonal (mouse origin)
Isotype Mouse IgG2b, kappa
Clone Name CDH2/9494
Purity Protein G affinity
UniProt P19022
Localization Cell surface, cytoplasm
Applications Immunohistochemistry (FFPE) : 1-2ug/ml
Western Blot : 1-2ug/ml
Limitations This Cadherin 2 antibody is available for research use only.
Review this product on BioCompare and get a $20 Amazon gift card

Related Products

Description

Cadherin 2 Antibody recognizes a protein of ~140kDa, identified as N-Cadherin (NCAD), also known as CD325. NCAD is a member of the Cadherin superfamily, and consists of five extracellular repeats, a transmembrane domain and a cytoplasmic domain. CD325 deficient mice die at day 10 of gestation and embryos display major heart defects and malformed neural tubes and somites. Consistent with this, CD325 has been implicated in several aspects of cardiac development including the precardiac mesoderm, establishment of left-right symmetry and cardiac looping morphogenesis. Furthermore, CD325 is normally involved in inducing cell cycle arrest and its expression is frequently deregulated in cancer cells.

This antibody is part of a broader antibody panel offered by NSJ Bioreagents.

Application Notes

Optimal dilution of the Cadherin 2 antibody should be determined by the researcher.

Immunogen

A portion of amino acids 400-600 from human Cadherin 2 protein was used as the immunogen for the Cadherin 2 antibody.

Storage

Aliquot the Cadherin 2 antibody and store frozen at -20oC or colder. Avoid repeated freeze-thaw cycles.

Cross
Bulk Quote Request Form
Name*:
Organization*:
Email*:
Phone Number*:
Catalog No.*:
Comments and Specifics(amount, formulation, etc.)*:
Validation code: Captchapackage Image


Can't read the image? click here to refresh.
    *required field

Your bulk quote request has been submitted successfully!

Please contact us if you have any questions.