• Tel: 858.663.9055
  • SeparatorEmail: info@nsjbio.com
  • Tel: 858.663.9055
  • Email: info@nsjbio.com
Home >> Antibodies >> Cadherin 17 Antibody

Cadherin 17 Antibody [clone CDH17/2617] (V7651)

  Catalog No Formulation Size Price (USD)  
Image V7651-100UG 0.2 mg/ml in 1X PBS with 0.1 mg/ml BSA (US sourced) and 0.05% sodium azide 100 ug 559
Image
V7651-20UG 0.2 mg/ml in 1X PBS with 0.1 mg/ml BSA (US sourced) and 0.05% sodium azide 20 ug 259
Image
V7651SAF-100UG 1 mg/ml in 1X PBS; BSA free, sodium azide free 100 ug 559
Microvalidated
Bulk quote request
Western blot testing of human small intestine lysate with Cadherin 17 antibody (clone CDH17/2617). Predicted molecular weight ~92 kDa but may be observed at higher molecular weights due to glycosylation.
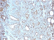
IHC staining of FFPE human colon with Cadherin 17 antibody (clone CDH17/2617). HIER: boil tissue sections in pH 9 10mM Tris with 1mM EDTA for 10-20 min and allow to cool before testing.
Analysis of HuProt(TM) microarray containing more than 19,000 full-length human proteins using Cadherin 17 antibody (clone CDH17/2617). These results demonstrate the foremost specificity of the CDH17/2617 mAb.
Z- and S- score: The Z-score represents the strength of a signal that an antibody (in combination with a fluorescently-tagged anti-IgG secondary Ab) produces when binding to a particular protein on the HuProt(TM) array. Z-scores are described in units of standard deviations (SD's) above the mean value of all signals generated on that array. If the targets on the HuProt(TM) are arranged in descending order of the Z-score, the S-score is the difference (also in units of SD's) between the Z-scores. The S-score therefore represents the relative target specificity of an Ab to its intended target.
Availability 1-3 business days
Species Reactivity Human
Format Purified
Host Mouse
Clonality Monoclonal (mouse origin)
Isotype Mouse IgG2b, kappa
Clone Name CDH17/2617
Purity Protein G affinity chromatography
UniProt Q12864
Localization Cell surface, cytoplasmic
Applications Western Blot : 1-2ug/ml
Immunohistochemistry (FFPE) : 1-2ug/ml
Limitations This Cadherin 17 antibody is available for research use only.
Review this product on BioCompare and get a $20 Amazon gift card

Related Products

Description

It recognizes a glycosylated protein of 120kDa, which is identified as Cadherin 17 (also known as LI Cadherin). The cadherins are a family of Calcium-dependent adhesion molecules that function to mediate cell-cell binding critical to the maintenance of tissue structure and morphogenesis. Cadherins each contain a large extracellular domain at the amino terminus, which is characterized by a series of five homologous repeats, the most distal of which is thought to be responsible for binding specificity. The relatively short carboxy terminal, intracellular domain interacts with a variety of cytoplasmic proteins, including beta-catenin, to regulate cadherin function. LI-cadherin (for liver-intestine-cadherin) expression is restricted to liver and intestine tissues and is specifically localized to the basolateral domain of hepatocytes and enterocytes.

Application Notes

Optimal dilution of the Cadherin 17 antibody should be determined by the researcher.

Immunogen

A recombinant human partial protein (amino acids 242-418) was used as the immunogen for the Cadherin 17 antibody.

Storage

Store the Cadherin 17 antibody at 2-8oC (with azide) or aliquot and store at -20oC or colder (without azide).

Cross
Bulk Quote Request Form
Name*:
Organization*:
Email*:
Phone Number*:
Catalog No.*:
Comments and Specifics(amount, formulation, etc.)*:
Validation code: Captchapackage Image


Can't read the image? click here to refresh.
    *required field

Your bulk quote request has been submitted successfully!

Please contact us if you have any questions.