• Tel: 858.663.9055
  • SeparatorEmail: info@nsjbio.com
  • Tel: 858.663.9055
  • Email: info@nsjbio.com
Home >> Antibodies >> Cadherin 17 Antibody Recombinant Mouse MAb / CDH17

Cadherin 17 Antibody Recombinant Mouse MAb / CDH17 [clone rCDH17/8512] (V5218)

  Catalog No Formulation Size Price (USD)  
Image V5218-100UG 0.2 mg/ml in 1X PBS with 0.1 mg/ml BSA (US sourced), 0.05% sodium azide 100 ug 559
Image
V5218-20UG 0.2 mg/ml in 1X PBS with 0.1 mg/ml BSA (US sourced), 0.05% sodium azide 20 ug 259
Image
V5218SAF-100UG 1 mg/ml in 1X PBS; BSA free, sodium azide free 100 ug 559
Microvalidated Recmousemono
Bulk quote request
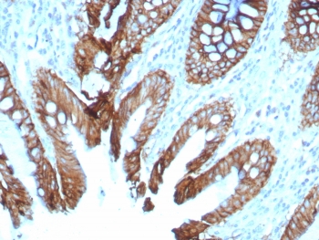
Cadherin 17 Antibody Colon IHC. Immunohistochemistry of Cadherin 17 antibody in human colon tissue. The recombinant mouse mAb clone rCDH17/8512 demonstrates strong membranous HRP-DAB brown staining along the lateral borders of colonic epithelial cells, consistent with Cadherin 17 localization in intestinal epithelium. Staining highlights well-organized glandular crypt structures with preserved epithelial polarity, while surrounding stromal tissue shows minimal background signal. Heat-induced epitope retrieval was performed by boiling tissue sections in pH 9 10mM Tris with 1mM EDTA for 20 minutes followed by cooling prior to incubation.
SDS-PAGE analysis of purified, BSA-free CDH17 antibody (clone rCDH17/8512) as confirmation of integrity and purity.
Cadherin 17 Antibody WB. Western blot analysis of Cadherin 17 antibody in human small intestine tissue lysate. The recombinant mouse mAb clone rCDH17/8512 detects a prominent band above the predicted molecular weight of 92 kDa, consistent with Cadherin 17. Although the calculated molecular weight based on amino acid sequence is approximately 92 kDa, Cadherin 17 is heavily glycosylated, which commonly results in slower electrophoretic migration and an apparent higher molecular weight on SDS-PAGE. The observed band pattern is consistent with glycosylated CDH17 expression in small intestinal epithelial tissue.
Availability 1-3 business days
Species Reactivity Human
Format Purified
Host Mouse
Clonality Recombinant Mouse Monoclonal
Isotype Mouse IgG1, kappa
Clone Name rCDH17/8512
Purity Protein A/G affinity
UniProt Q12864
Localization Cell Surface, Cytoplasm
Applications Immunohistochemistry (FFPE) : 1-2ug/ml for 30 min at RT
Western Blot : 2-4ug/ml
Limitations This Cadherin 17 antibody is available for research use only.
Review this product on BioCompare and get a $20 Amazon gift card

Related Products

Description

Cadherin 17 antibody recognizes Cadherin 17, a calcium-dependent cell adhesion molecule encoded by the CDH17 gene located on chromosome 8q22.1. Cadherin 17 Antibody Recombinant Mouse MAb is developed to detect this intestinal-type cadherin that mediates epithelial cell-cell adhesion in gastrointestinal tissues. Cadherin 17 is also widely known as Liver-intestine cadherin and LI-cadherin in the literature, and it differs structurally from classical cadherins because it lacks the conserved cytoplasmic catenin-binding domain. The protein localizes primarily to the plasma membrane of epithelial cells, where it supports calcium-dependent adhesion and maintenance of epithelial architecture.

CDH17 antibody, also referred to as Cadherin-17 antibody and LI-cadherin antibody, targets a member of the cadherin superfamily characterized by seven extracellular cadherin repeats and a short cytoplasmic tail. Unlike E-cadherin, Cadherin 17 mediates adhesion independently of beta-catenin interaction. It is strongly expressed in small intestine and colon epithelium and is also detected in pancreatic ducts and certain gastric epithelial cells. Because of its restricted distribution in normal tissues and consistent expression in intestinal epithelium, CDH17 antibody is widely used to evaluate gastrointestinal differentiation in research settings.

Aberrant CDH17 expression has been reported in colorectal adenocarcinoma, gastric carcinoma, pancreatic adenocarcinoma, and other gastrointestinal malignancies. In tumor tissues, Cadherin 17 typically demonstrates strong membranous staining in well-differentiated epithelial tumor cells, reflecting preservation of intestinal lineage characteristics. Reduced or altered expression patterns may correlate with tumor progression or dedifferentiation in certain contexts. CDH17 antibody is therefore frequently applied in studies of gastrointestinal tumor biology and epithelial lineage tracing.

Beyond its adhesive function, Cadherin 17 has been implicated in signaling pathways that influence cell proliferation and migration. Experimental data suggest that CDH17 may contribute to tumor growth and survival in colorectal cancer models. Its stable membranous localization in intestinal-type epithelium supports its use as a biomarker of gastrointestinal differentiation and epithelial identity.

This recombinant mouse monoclonal antibody clone rCDH17/8512 targets Cadherin 17 for research applications involving epithelial biology, intestinal differentiation, and cancer studies. By enabling detection of CDH17 expression and membranous localization, this Cadherin 17 antibody supports investigations into gastrointestinal epithelial identity at NSJ Bioreagents.

This antibody is part of a broader antibody panel offered by NSJ Bioreagents.

Application Notes

Optimal dilution of the Cadherin 17 antibody recombinant mouse mAb should be determined by the researcher.

Immunogen

A recombinant partial protein sequence (within amino acids 242-418) from the human protein was used as the immunogen for the Cadherin 17 antibody recombinant mouse mAb.

Storage

Aliquot the Cadherin 17 antibody and store frozen at -20oC or colder. Avoid repeated freeze-thaw cycles.

Cross
Bulk Quote Request Form
Name*:
Organization*:
Email*:
Phone Number*:
Catalog No.*:
Comments and Specifics(amount, formulation, etc.)*:
Validation code: Captchapackage Image


Can't read the image? click here to refresh.
    *required field

Your bulk quote request has been submitted successfully!

Please contact us if you have any questions.