• Tel: 858.663.9055
  • SeparatorEmail: info@nsjbio.com
  • Tel: 858.663.9055
  • Email: info@nsjbio.com
Home >> Antibodies >> Cadherin 16 Antibody / Kidney-Specific Expression Antibody

Cadherin 16 Antibody / Kidney-Specific Expression Antibody [clone CDH16/2125] (V3691)

  Catalog No Formulation Size Price (USD)  
Image V3691-100UG 0.2 mg/ml in 1X PBS with 0.1 mg/ml BSA (US sourced) and 0.05% sodium azide 100 ug 559
Image
V3691-20UG 0.2 mg/ml in 1X PBS with 0.1 mg/ml BSA (US sourced) and 0.05% sodium azide 20 ug 259
Image
V3691SAF-100UG 1 mg/ml in 1X PBS; BSA free, sodium azide free 100 ug 559
Image
V3691IHC-7ML Prediluted in 1X PBS with 0.1 mg/ml BSA (US sourced) and 0.05% sodium azide; *For IHC use only* 7 ml 559
Microvalidated
Bulk quote request
Cadherin 16 Antibody Human Kidney WB. Western blot analysis of Cadherin-16 / CDH16 expression in human kidney tissue lysate using Cadherin 16 antibody clone CDH16/2125. Lane 1: human kidney lysate. A band is detected at approximately 100–120 kDa, consistent with the predicted molecular weight of Cadherin-16 (CDH16), with the slightly higher apparent migration reflecting glycosylation of this kidney-restricted adhesion protein. The strong, distinct signal in kidney lysate supports the use of this antibody for kidney-specific expression analysis and aligns with the restricted distribution of CDH16 in renal epithelial tissue.
Cadherin 16 Antibody Renal Cell Carcinoma IHC. Immunohistochemical analysis of Cadherin-16 / CDH16 expression in formalin-fixed, paraffin-embedded human renal cell carcinoma using Cadherin 16 antibody clone CDH16/2125. Strong membranous staining is observed in tumor epithelial cells, highlighting well-defined cell-cell borders consistent with preserved epithelial adhesion features. The staining pattern supports kidney-specific expression and is consistent with CDH16 localization in renal tubular-derived tumor cells. Required HIER: boil tissue sections in 10mM citrate buffer, pH6, for 10-20 min followed by cooling at RT for 20 min.
SDS-PAGE analysis of purified, BSA-free Cadherin 16 antibody (clone CDH16/2125) as confirmation of integrity and purity.
Cadherin 16 Antibody Microarray Specificity Validation. Analysis of HuProt(TM) microarray containing more than 19,000 full-length human proteins using CDH16 antibody. These results demonstrate the foremost specificity of the CDH16/2125 mAb. Z- and S- score: The Z-score represents the strength of a signal that an antibody (in combination with a fluorescently-tagged anti-IgG secondary Ab) produces when binding to a particular protein on the HuProt(TM) array. Z-scores are described in units of standard deviations (SD's) above the mean value of all signals generated on that array. If the targets on the HuProt(TM) are arranged in descending order of the Z-score, the S-score is the difference (also in units of SD's) between the Z-scores. The S-score therefore represents the relative target specificity of an Ab to its intended target.
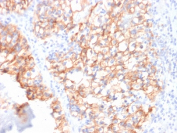
Cadherin 16 Antibody Kidney Tumor IHC. Immunohistochemical analysis of Cadherin-16 / CDH16 expression in formalin-fixed, paraffin-embedded human renal cell carcinoma tissue using Cadherin 16 antibody clone CDH16/2125. Distinct membranous and cytoplasmic staining is observed in carcinoma cells forming tubular and gland-like structures, while surrounding stromal regions show minimal background. The staining pattern aligns with kidney-restricted expression and supports the identification of renal epithelial origin in tumor tissue. Required HIER: boil tissue sections in 10mM citrate buffer, pH6, for 10-20 min followed by cooling at RT for 20 min.
Cadherin 16 Antibody Multi-Tissue WB. Western blot analysis of Cadherin-16 / CDH16 expression across human tissue lysates using Cadherin 16 antibody clone CDH16/2125. Lane 1: human brain lysate, Lane 2: human heart lysate, Lane 3: human intestine lysate, Lane 4: human kidney lysate, Lane 5: human liver lysate, Lane 6: human lung lysate, Lane 7: human pancreas lysate, Lane 8: human skeletal muscle lysate, Lane 9: human skin lysate, Lane 10: human spleen lysate, Lane 11: human stomach lysate. A band is detected at approximately 100–110 kDa exclusively in kidney lysate, consistent with the predicted molecular weight of Cadherin-16 (CDH16), supporting its role as a kidney-specific epithelial adhesion protein.
Cadherin 16 Antibody Kidney Tissue WB. Western blot analysis of Cadherin-16 / CDH16 expression in kidney tissue lysates using Cadherin 16 antibody clone CDH16/2125. Lane 1: human kidney lysate, Lane 2: mouse kidney lysate, Lane 3: rat kidney lysate. A band is detected at approximately 100–110 kDa in human kidney lysate, consistent with the predicted molecular weight of Cadherin-16 (CDH16), with minimal or no detectable signal in mouse and rat samples under these conditions. This pattern supports kidney-restricted expression with preferential detection in human tissue.
Availability 1-3 business days
Species Reactivity Human
Format Purified
Host Mouse
Clonality Monoclonal (mouse origin)
Isotype Mouse IgG1, kappa
Clone Name CDH16/2125
Purity Protein G affinity chromatography
UniProt O75309
Localization Cell surface with some cytoplasmic
Applications ELISA : order BSA/sodium azide-free format for coating
Western Blot : 1-2ug/ml
Immunohistochemistry (FFPE) : 1-2ug/ml for 30 min at RT
Limitations This Cadherin 16 Antibody / Kidney-Specific Expression Antibody is available for research use only.
Review this product on BioCompare and get a $20 Amazon gift card

Related Products

Description

Cadherin-16 (CDH16), also known as Ksp-Cadherin, is a kidney-restricted member of the cadherin superfamily that mediates calcium-dependent cell-cell adhesion in renal epithelial cells. Cadherin-16 (CDH16) is localized predominantly to the basolateral membrane of tubular epithelial cells, where it contributes to epithelial polarity, structural cohesion, and maintenance of nephron architecture. The Cadherin 16 Antibody / Kidney-Specific Expression Antibody is designed to detect this highly tissue-restricted adhesion protein, providing a clear advantage in applications that require definitive identification of renal epithelial cells and kidney-derived tissues.

Cadherin 16 antibody, also referred to as CDH16 antibody and Ksp-Cadherin antibody in the literature, recognizes a transmembrane glycoprotein with highly selective expression in the kidney, most prominently in distal tubules and collecting duct epithelium. Western blot analysis across a broad panel of human tissues demonstrates a distinct band exclusively in kidney lysate, with no detectable signal in non-renal tissues including brain, heart, liver, lung, pancreas, skeletal muscle, skin, spleen, and stomach. This sharply restricted detection profile provides strong experimental confirmation of the kidney-specific expression of CDH16 and establishes it as one of the most selective epithelial markers within the cadherin family.

Additional western blot analysis of kidney lysates across species shows strong detection in human tissue with minimal or no detectable signal in mouse and rat under the tested conditions, supporting preferential detection in human samples. This pattern is particularly useful for studies focused on human renal biology and pathology, where clear discrimination of human-derived signal is important. The combination of strict tissue specificity and human-enriched detection creates a well-defined niche for this antibody compared to broader cross-species reagents.

Structurally, Cadherin-16 contains multiple extracellular cadherin repeat domains that mediate calcium-dependent adhesion, a single transmembrane region, and a cytoplasmic domain that participates in intracellular signaling and cytoskeletal organization. Unlike widely expressed cadherins such as E-Cadherin and N-Cadherin, CDH16 exhibits a highly restricted expression profile, reflecting its specialized function within renal epithelial compartments. The protein is glycosylated, resulting in a slightly higher apparent molecular weight on SDS-PAGE, a consistent and reproducible feature observed in kidney tissue lysates.

Functionally, CDH16 plays a critical role in maintaining epithelial integrity and polarity within kidney tubules, supporting tight intercellular junctions required for proper tubular structure and function. Its expression is closely associated with differentiated renal epithelial cells, making it a reliable marker for kidney-specific cell populations and epithelial lineage identity. In renal cell carcinoma, Cadherin-16 expression is often retained in tumor epithelial cells, and immunohistochemical staining demonstrates membranous localization consistent with preserved cell-cell adhesion features. This supports its use in identifying renal origin and evaluating tumor differentiation in kidney-derived malignancies.

Microarray-based specificity validation further supports the selectivity of this antibody, demonstrating preferential binding to CDH16 with minimal cross-reactivity to related proteins. The integration of strict kidney-specific western blot detection, human-focused reactivity, immunohistochemical validation in renal carcinoma, and protein microarray specificity profiling provides strong, multi-layered evidence for accurate target recognition. Clone CDH16/2125 is a mouse monoclonal antibody designed to detect Cadherin-16 with high specificity, offering a robust tool for studies of renal biology, epithelial differentiation, and kidney-associated disease.

This antibody is part of a broader antibody panel offered by NSJ Bioreagents.

Application Notes

Optimal dilution of the Cadherin 16 Antibody / Kidney-Specific Expression Antibody to be determined by the researcher.

1. The prediluted format is supplied in a dropper bottle and is optimized for use in IHC. After epitope retrieval step (if required), drip mAb solution onto the tissue section and incubate at RT for 30 min.

Immunogen

Recombinant human partial protein (within amino acids 371-507) was used as the immunogen for the Cadherin 16 antibody.

Storage

Store the Cadherin 16 antibody at 2-8oC (with azide) or aliquot and store at -20oC or colder (without azide).

Alternate Names

CDH16 antibody, Ksp-Cadherin antibody, Cadherin-16 antibody, CDH16 kidney antibody, Ksp-Cadherin epithelial antibody

Cross
Bulk Quote Request Form
Name*:
Organization*:
Email*:
Phone Number*:
Catalog No.*:
Comments and Specifics(amount, formulation, etc.)*:
Validation code: Captchapackage Image


Can't read the image? click here to refresh.
    *required field

Your bulk quote request has been submitted successfully!

Please contact us if you have any questions.