• Tel: 858.663.9055
  • SeparatorEmail: info@nsjbio.com
  • Tel: 858.663.9055
  • Email: info@nsjbio.com
Home >> Antibodies >> Cadherin 1 Antibody / Adhesion Signaling Integration Antibody

Cadherin 1 Antibody / Adhesion Signaling Integration Antibody [clone CDH1/4585] (V9299)

  Catalog No Formulation Size Price (USD)  
Image V9299-100UG 0.2 mg/ml in 1X PBS with 0.1 mg/ml BSA (US sourced), 0.05% sodium azide 100 ug 559
Image
V9299-20UG 0.2 mg/ml in 1X PBS with 0.1 mg/ml BSA (US sourced), 0.05% sodium azide 20 ug 259
Image
V9299SAF-100UG 1 mg/ml in 1X PBS; BSA free, sodium azide free 100 ug 559
Microvalidated
Bulk quote request
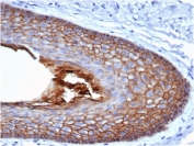
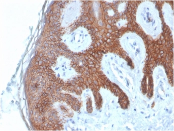
Cadherin 1 Antibody Skin IHC. Immunohistochemistry analysis of Cadherin 1 / CDH1 expression in FFPE human skin using clone CDH1/4585 antibody, showing strong membranous HRP-DAB brown staining in stratified epithelial cells of the epidermis with clear cell-cell junction localization, while underlying dermal tissue remains largely negative. HIER: boil tissue sections in pH 9 10mM Tris with 1mM EDTA for 20 min and allow to cool before testing. Signal highlights epithelial organization and adhesion-associated signaling within the epidermis.
IHC staining of FFPE human skin with Cadherin 1 antibody (clone CDH1/4585). HIER: boil tissue sections in pH 9 10mM Tris with 1mM EDTA for 20 min and allow to cool before testing.
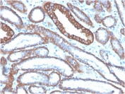
Cadherin 1 Antibody Human Kidney IHC. Immunohistochemistry analysis of Cadherin 1 / CDH1 expression in FFPE human kidney tissue using clone CDH1/4585 antibody, showing membranous HRP-DAB brown staining in epithelial cells lining renal tubules with clear cell-cell junction localization, while surrounding interstitial tissue remains largely negative. HIER: boil tissue sections in pH 9 10mM Tris with 1mM EDTA for 20 min and allow to cool before testing. Signal highlights epithelial organization and adhesion-associated signaling within renal tubular structures.
Analysis of HuProt(TM) microarray containing more than 19,000 full-length human proteins using Cadherin 1 antibody (clone CDH1/4585). These results demonstrate the foremost specificity of the CDH1/4585 mAb. Z- and S- score: The Z-score represents the strength of a signal that an antibody (in combination with a fluorescently-tagged anti-IgG secondary Ab) produces when binding to a particular protein on the HuProt(TM) array. Z-scores are described in units of standard deviations (SD's) above the mean value of all signals generated on that array. If the targets on the HuProt(TM) are arranged in descending order of the Z-score, the S-score is the difference (also in units of SD's) between the Z-scores. The S-score therefore represents the relative target specificity of an Ab to its intended target.
SDS-PAGE analysis of purified, BSA-free Cadherin 1 antibody (clone CDH1/4585) as confirmation of integrity and purity.
Availability 1-3 business days
Species Reactivity Human
Format Purified
Host Mouse
Clonality Monoclonal (mouse origin)
Isotype Mouse IgG1, kappa
Clone Name CDH1/4585
Purity Protein A/G affinity
UniProt P12830
Localization Cytoplasmic, membranous
Applications Immunohistochemistry (FFPE) : 1-2ug/ml
Limitations This Cadherin 1 Antibody / Adhesion Signaling Integration Antibody is available for research use only.
Review this product on BioCompare and get a $20 Amazon gift card

Related Products

Description

Cadherin 1 (CDH1) is a multifunctional transmembrane protein that integrates cell-cell adhesion with intracellular signaling pathways that regulate epithelial cell behavior. Cadherin 1 (CDH1) antibody, also referred to as E-cadherin antibody, detects a protein that not only maintains structural cohesion but also participates in signaling networks that control proliferation, differentiation, and cellular organization. Cadherin 1 Antibody / Adhesion Signaling Integration Antibody (clone CDH1/4585) enables detection of this protein in studies focused on the interface between adhesion and signaling.

Beyond its structural role in adherens junctions, CDH1 functions as a signaling hub through interactions with catenins and other intracellular partners. These interactions link adhesion complexes to pathways that regulate gene expression, cytoskeletal dynamics, and cellular responses to environmental cues. E-cadherin antibody is therefore widely used to investigate how adhesion influences signaling processes in epithelial systems.

Disruption of CDH1-mediated signaling can lead to altered cellular behavior, including changes in proliferation, differentiation, and migration. These effects are particularly relevant in disease contexts, where dysregulation of adhesion-associated signaling contributes to tumor progression and loss of epithelial organization. Detection of CDH1 supports analysis of these processes and provides insight into how structural and signaling functions are coordinated.

This clone CDH1/4585 antibody is further supported by microarray-based specificity validation, providing confidence in target recognition across a broad protein panel. This validation approach supports reliable detection of CDH1 and minimizes potential off-target interactions, which is especially important in studies involving complex signaling networks.

The mouse monoclonal clone CDH1/4585 antibody provides consistent recognition of Cadherin 1 and is well suited for research focused on adhesion-associated signaling pathways, epithelial regulation, and cellular response mechanisms. This Cadherin 1 antibody is particularly valuable for studies examining how cell-cell adhesion interfaces with intracellular signaling to control epithelial function and behavior.

This antibody is part of the CDH1 antibody collection, where multiple E-cadherin antibody formats and applications are available for studying epithelial adhesion and cancer progression.

Application Notes

Optimal dilution of the Cadherin 1 Antibody / Adhesion Signaling Integration Antibody should be determined by the researcher.

Immunogen

Purified His-tagged CDH1/Cadherin 1 protein was used as the immunogen for the Cadherin 1 antibody.

Storage

Aliquot the Cadherin 1 antibody and store frozen at -20oC or colder. Avoid repeated freeze-thaw cycles.

Alternate Names

E-cadherin antibody, CDH1 antibody, Cadherin 1 signaling antibody, adhesion signaling protein antibody, epithelial signaling marker antibody

Cross
Bulk Quote Request Form
Name*:
Organization*:
Email*:
Phone Number*:
Catalog No.*:
Comments and Specifics(amount, formulation, etc.)*:
Validation code: Captchapackage Image


Can't read the image? click here to refresh.
    *required field

Your bulk quote request has been submitted successfully!

Please contact us if you have any questions.