• Tel: 858.663.9055
  • SeparatorEmail: info@nsjbio.com
  • Tel: 858.663.9055
  • Email: info@nsjbio.com
Home >> Antibodies >> CA2 Antibody / Carbonic Anhydrase 2

CA2 Antibody / Carbonic Anhydrase 2 (R32474)

  Catalog No Formulation Size Price (USD)  
Image R32474 0.5mg/ml if reconstituted with 0.2ml sterile DI water 100 ug 449
Bulk quote request
Western blot testing of 1) rat ovary, 2) mouse liver and 3) human MCF7 lysate with CA2 antibody at 0.5ug/m. Predicted/observed molecular weight ~29 kDa.
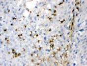
IHC testing of FFPE human gastric cancer tissue with CA2 antibody at 1ug/ml. HIER: steam in pH6 citrate buffer and allow to cool prior to staining.
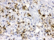
IHC testing of FFPE human liver cancer tissue with CA2 antibody at 1ug/ml. HIER: steam in pH6 citrate buffer and allow to cool prior to staining.
Flow cytometry testing of human HT-29 cells with CA2 antibody at 1ug/10^6 cells (blocked with goat sera); Red=cells alone, Green=isotype control, Blue= CA2 antibody.
Flow cytometry testing of human SW480 cells with CA2 antibody at 1ug/10^6 cells (blocked with goat sera); Red=cells alone, Green=isotype control, Blue= CA2 antibody.
Availability 1-3 business days
Species Reactivity Human, Mouse, Rat
Format Antigen affinity purified
Host Rabbit
Clonality Polyclonal (rabbit origin)
Isotype Rabbit IgG
Purity Antigen affinity
Buffer Lyophilized from 1X PBS with 2.5% BSA and 0.025% sodium azide
UniProt P00918
Localization Cytoplasmic, nuclear
Applications Western Blot : 0.5-1ug/ml
IHC (FFPE) : 1-2ug/ml
Flow Cytometry : 1-3ug/10^6 cells
Limitations This CA2 antibody is available for research use only.
Review this product on BioCompare and get a $20 Amazon gift card

Description

CA2 is a cytosolic enzyme with the highest activity among all known CAs. The carbonic anhydrases (ACs) form a family of enzymes that catalyze the rapid interconversion of carbon dioxide and water to bicarbonate and protons (or vice versa), a reversible reaction that occurs relatively slowly in the absence of a catalyst. Mutations in the CA2 gene result in the CA II deficiency syndrome, an autosomal recessive disorder that produces osteopetrosis, renal tubular acidosis and cerebral calcification. This gene is mapped to 8q22.

Application Notes

Optimal dilution of the CA2 antibody should be determined by the researcher.

Immunogen

Amino acids S2-K260 from the human protein were used as the immunogen for the CA2 antibody.

Storage

Prior to reconstitution, store at 4oC. After reconstitution, the CA2 antibody can be stored for up to one month at 4oC. For long-term, aliquot and store at -20oC. Avoid repeated freezing and thawing.

Cross
Bulk Quote Request Form
Name*:
Organization*:
Email*:
Phone Number*:
Catalog No.*:
Comments and Specifics(amount, formulation, etc.)*:
Validation code: Captchapackage Image


Can't read the image? click here to refresh.
    *required field

Your bulk quote request has been submitted successfully!

Please contact us if you have any questions.