• Tel: 858.663.9055
  • SeparatorEmail: info@nsjbio.com
  • Tel: 858.663.9055
  • Email: info@nsjbio.com
Home >> Antibodies >> C9 Antibody / Complement component C9

C9 Antibody / Complement component C9 [clone BAO-3] (RQ5006)

  Catalog No Formulation Size Price (USD)  
Image RQ5006 Antibody in PBS with 0.02% sodium azide, 50% glycerol and 0.4-0.5mg/ml BSA 100 ul 449
Microvalidated Recrabbitmono
Bulk quote request
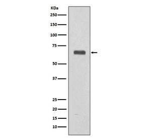
Western blot testing of human fetal liver lysate with C9/Complement component C9 antibody. Expected molecular weight: 63-70 kDa depending on the level of glycosylation.
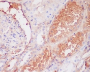
IHC staining of FFPE human kidney tissue with C9/Complement component C9 antibody. HIER: boil tissue sections in pH6, 10mM citrate buffer, for 10-20 min and allow to cool before testing.
Availability 1-2 weeks
Species Reactivity Human
Format Purified
Host Rabbit
Clonality Recombinant Rabbit Monoclonal
Isotype Rabbit IgG
Clone Name BAO-3
Purity Affinity purified
UniProt P02748
Applications Western Blot : 1:500-1:2000
Immunohistochemistry (FFPE) : 1:50-1:200
Limitations This C9/Complement component C9 antibody is available for research use only.
Review this product on BioCompare and get a $20 Amazon gift card

Related Products

Description

C9 antibody recognizes Complement component 9, a secreted glycoprotein encoded by the human C9 gene and a terminal member of the complement cascade. Complement component 9 is a membrane attack complex protein that participates in innate immune defense by forming transmembrane pores in target cells. Complement C9 is synthesized primarily in the liver and circulates in plasma as a soluble monomer before being recruited to sites of complement activation. The C9 antibody is useful for detecting Complement C9 expression in immune and inflammatory contexts where complement activation is involved.

Complement component 9 belongs to the membrane attack complex perforin family of pore forming proteins. Following activation of the classical, lectin, or alternative complement pathways, C5b sequentially associates with C6, C7, and C8 to form the C5b-8 complex, which then recruits multiple C9 molecules. Polymerization of C9 creates a transmembrane channel that disrupts cellular membrane integrity and induces osmotic lysis. A Complement C9 antibody therefore supports studies of terminal complement activation and membrane attack complex deposition in tissues.

C9 is primarily localized extracellularly and within the vascular compartment under physiologic conditions. Tissue deposition is typically observed along cell membranes, particularly in areas of immune complex deposition or antibody mediated cytotoxicity. Complement C9 is highly expressed in hepatocytes as part of the liver’s central role in complement protein production, and it is also detectable in serum, plasma, and inflamed tissues. Increased C9 deposition is frequently observed in autoimmune disorders, transplant rejection, and infectious disease.

The C9 gene is located on chromosome 5p13.1 and encodes a protein that contains the characteristic membrane attack complex perforin domain responsible for pore formation. Structural studies show that upon binding to the assembling membrane attack complex, C9 undergoes conformational rearrangement enabling insertion into lipid bilayers. Dysregulation of complement activation and C9 deposition has been implicated in renal disease, systemic lupus erythematosus, neuromyelitis optica, and other complement mediated pathologies. C9 antibody clone BAO-3 is a recombinant rabbit monoclonal antibody designed to recognize Complement C9 in research applications, supporting evaluation of complement activation and immune mediated tissue injury.

Application Notes

Optimal dilution of the C9/Complement component C9 antibody should be determined by the researcher.

Immunogen

A synthetic peptide specific to human Complement Component C9 was used as the immunogen for the C9/Complement component C9 antibody.

Storage

Store the C9/Complement component C9 antibody at -20oC.

Cross
Bulk Quote Request Form
Name*:
Organization*:
Email*:
Phone Number*:
Catalog No.*:
Comments and Specifics(amount, formulation, etc.)*:
Validation code: Captchapackage Image


Can't read the image? click here to refresh.
    *required field

Your bulk quote request has been submitted successfully!

Please contact us if you have any questions.