• Tel: 858.663.9055
  • SeparatorEmail: info@nsjbio.com
  • Tel: 858.663.9055
  • Email: info@nsjbio.com
Home >> Antibodies >> C7 Antibody / Complement C7

C7 Antibody / Complement C7 (F51619)

  Catalog No Formulation Size Price (USD)  
Image F51619-0.4ML In 1X PBS, pH 7.4, with 0.09% sodium azide 0.4 ml 439
Image
F51619-0.08ML In 1X PBS, pH 7.4, with 0.09% sodium azide 0.08 ml 205
Bulk quote request
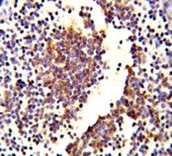
IHC analysis of FFPE human lymph tissue stained with C7 antibody.
Western blot analysis of C7 antibody and Ramos lysate. Predicted molecular weight ~93 kDa.
C7 antibody flow cytometry analysis of Ramos cells (green) compared to a negative control (blue). FITC-conjugated goat-anti-rabbit secondary Ab was used for the analysis.
Availability 1-3 business days
Species Reactivity Human
Format Antigen affinity purified
Host Rabbit
Clonality Polyclonal (rabbit origin)
Isotype Rabbit Ig
Purity Antigen affinity
UniProt P10643
Applications Western Blot : 1:1000
IHC (Paraffin) : 1:50-1:100
Flow Cytometry : 1:10-1:50
Limitations This C7 antibody is available for research use only.
Review this product on BioCompare and get a $20 Amazon gift card

Related Products

Description

C7 is a component of the complement system. It participates in the formation of Membrane Attack Complex (MAC). People with C7 deficiency are prone to bacterial infection.

Application Notes

Titration of the C7 antibody may be required due to differences in protocols and secondary/substrate sensitivity.

Immunogen

A portion of amino acids 375-403 from the human protein was used as the immunogen for this C7 antibody.

Storage

Aliquot the C7 antibody and store frozen at -20oC or colder. Avoid repeated freeze-thaw cycles.

Cross
Bulk Quote Request Form
Name*:
Organization*:
Email*:
Phone Number*:
Catalog No.*:
Comments and Specifics(amount, formulation, etc.)*:
Validation code: Captchapackage Image


Can't read the image? click here to refresh.
    *required field

Your bulk quote request has been submitted successfully!

Please contact us if you have any questions.