• Tel: 858.663.9055
  • SeparatorEmail: info@nsjbio.com
  • Tel: 858.663.9055
  • Email: info@nsjbio.com
Home >> Antibodies >> C1S Antibody / Complement C1s subcomponent

C1S Antibody / Complement C1s subcomponent (F55082)

  Catalog No Formulation Size Price (USD)  
Image F55082-0.1ML In 1X PBS, pH 7.4, with 0.09% sodium azide and 50% glycerol 0.1 ml 439
Bulk quote request
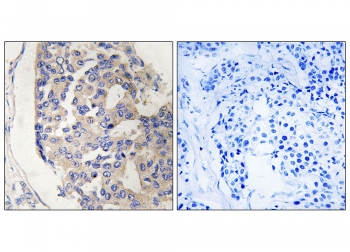
IHC staining of FFPE human breast carcinoma tissue with C1S antibody (left) and without primary antibody (right). HIER: steam section in pH6 citrate buffer for 20 min and allow to cool prior to staining.
Western blot testing of human A431 cell lysate with C1S antibody. Predicted molecular weight ~77 kDa but may be observed at higher molecular weights due to glycosylation.
Availability 1-3 business days
Species Reactivity Human
Format Antigen affinity purified
Host Rabbit
Clonality Polyclonal (rabbit origin)
Isotype Rabbit Ig
UniProt P09871
Applications Western Blot : 1:500-1:1000
Immunohistochemistry (FFPE) : 1:50-1:100
Limitations This C1S antibody is available for research use only.
Review this product on BioCompare and get a $20 Amazon gift card

Description

C1S, also called Complement C1s subcomponent, is a serine protease enzyme that plays a significant role in the activation of the Complement system, which is a part of the innate immune system. C1S is a key component of the C1 complex, which is the first step in the Complement activation cascade. One of the main functions of C1S is to cleave C4 and C2 proteins, leading to the formation of the C3 convertase enzyme. This enzyme then cleaves C3 protein into two parts, C3a and C3b, which mediate various immune responses such as inflammation, opsonization, and cell lysis. Overall, the activation of the Complement system through C1S plays a critical role in enhancing the immune response and clearing pathogens from our bodies. In addition to its role in immune defense, C1S has also been implicated in other physiological processes such as inflammation, tissue repair, and development. Dysregulation of C1S activity has been linked to various diseases, including autoimmune disorders, inflammatory conditions, and infectious diseases.

Application Notes

Titration of the C1S antibody may be required due to differences in protocols and secondary/substrate sensitivity.

Immunogen

A portion of amino acids 560-589 from the human protein was used as the immunogen for the C1S antibody.

Storage

Store the C1S antibody at -20oC.

Cross
Bulk Quote Request Form
Name*:
Organization*:
Email*:
Phone Number*:
Catalog No.*:
Comments and Specifics(amount, formulation, etc.)*:
Validation code: Captchapackage Image


Can't read the image? click here to refresh.
    *required field

Your bulk quote request has been submitted successfully!

Please contact us if you have any questions.