• Tel: 858.663.9055
  • SeparatorEmail: info@nsjbio.com
  • Tel: 858.663.9055
  • Email: info@nsjbio.com
Home >> Antibodies >> C1QC Antibody

C1QC Antibody (F54626)

  Catalog No Formulation Size Price (USD)  
Image F54626-0.4ML In 1X PBS, pH 7.4, with 0.09% sodium azide 0.4 ml 439
Image
F54626-0.08ML In 1X PBS, pH 7.4, with 0.09% sodium azide 0.08 ml 205
Bulk quote request
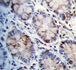
IHC testing of FFPE human rectum tissue with C1QC antibody. HIER: steam section in pH6 citrate buffer for 20 min and allow to cool prior to staining.
Immunofluorescent staining of human WiDr cells with C1QC antibody (green) and DAPI nuclear stain (blue).
Western blot testing of human HL60 cell lysate with C1QC antibody. Predicted molecular weight ~26 kDa.
Flow cytometry testing of human HL60 cells with C1QC antibody; Blue=isotype control, Green= C1QC antibody.
Availability 1-3 business days
Species Reactivity Human
Format Purified
Host Rabbit
Clonality Polyclonal (rabbit origin)
Isotype Rabbit Ig
Purity Antigen affinity purified
UniProt P02747
Applications Immunofluorescence : 1:25
Flow Cytometry : 1:25 (1x10e6 cells)
Immunohistochemistry (FFPE) : 1:25
Western Blot : 1:500-1:2000
Limitations This C1QC antibody is available for research use only.
Review this product on BioCompare and get a $20 Amazon gift card

Description

This gene encodes a major constituent of the human complement subcomponent C1q. C1q associates with C1r and C1s in order to yield the first component of the serum complement system. A deficiency in C1q has been associated with lupus erythematosus and glomerulonephritis. C1q is composed of 18 polypeptide chains: six A-chains, six B-chains, and six C-chains. Each chain contains a collagen-like region located near the N-terminus, and a C-terminal globular region. The A-, B-, and C-chains are arranged in the order A-C-B on chromosome 1. This gene encodes the C-chain polypeptide of human complement subcomponent C1q. Alternatively spliced transcript variants that encode the same protein have been found for this gene.

Application Notes

The stated application concentrations are suggested starting points. Titration of the C1QC antibody may be required due to differences in protocols and secondary/substrate sensitivity.

Immunogen

A portion of amino acids 93-120 from the human protein was used as the immunogen for the C1QC antibody.

Storage

Aliquot the C1QC antibody and store frozen at -20oC or colder. Avoid repeated freeze-thaw cycles.

Cross
Bulk Quote Request Form
Name*:
Organization*:
Email*:
Phone Number*:
Catalog No.*:
Comments and Specifics(amount, formulation, etc.)*:
Validation code: Captchapackage Image


Can't read the image? click here to refresh.
    *required field

Your bulk quote request has been submitted successfully!

Please contact us if you have any questions.