• Tel: 858.663.9055
  • SeparatorEmail: info@nsjbio.com
  • Tel: 858.663.9055
  • Email: info@nsjbio.com
Home >> Antibodies >> C1QBP Antibody / GC1q R

C1QBP Antibody / GC1q R (R32388)

  Catalog No Formulation Size Price (USD)  
Image R32388 0.5mg/ml if reconstituted with 0.2ml sterile DI water 100 ug 449
Bulk quote request
Western blot testing of 1) rat liver, 2) mouse spleen and 3) human MCF7 lysate with C1QBP antibody. Expected molecular weight ~31 kDa.
IHC testing of FFPE human tonsil with C1QBP antibody. HIER: Boil the paraffin sections in pH 6, 10mM citrate buffer for 20 minutes and allow to cool prior to testing.
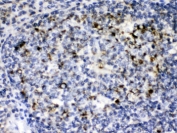
IHC testing of FFPE mouse spleen with C1QBP antibody. HIER: Boil the paraffin sections in pH 6, 10mM citrate buffer for 20 minutes and allow to cool prior to testing.
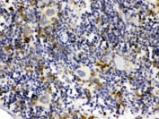
IHC testing of FFPE rat spleen with C1QBP antibody. HIER: Boil the paraffin sections in pH 6, 10mM citrate buffer for 20 minutes and allow to cool prior to testing.
Availability 1-3 business days
Species Reactivity Human, Mouse, Rat
Format Antigen affinity purified
Host Rabbit
Clonality Polyclonal (rabbit origin)
Isotype Rabbit IgG
Purity Antigen affinity
Buffer Lyophilized from 1X PBS with 2.5% BSA and 0.025% sodium azide
UniProt Q07021
Localization Cytoplasmic, membranous
Applications Western Blot : 0.1-0.5ug/ml
IHC (FFPE) : 0.5-1ug/ml
Limitations This C1QBP antibody is available for research use only.
Review this product on BioCompare and get a $20 Amazon gift card

Related Products

Description

Complement component 1 Q subcomponent-binding protein, mitochondrial is a protein that in humans is encoded by the C1QBP gene. This gene is mapped to 17p13.3 in a region conserved with mouse chromosome 11. The human complement subcomponent C1q associates with C1r and C1s in order to yield the first component of the serum complement system. The protein encoded by this gene is known to bind to the globular heads of C1q molecules and inhibit C1 activation. This protein has also been identified as the p32 subunit of pre-mRNA splicing factor SF2, as well as a hyaluronic acid-binding protein.

Application Notes

Optimal dilution of the C1QBP antibody should be determined by the researcher.

Immunogen

Amino acids E190-Q282 of the human protein were used as the immunogen for the C1QBP antibody.

Storage

After reconstitution, the C1QBP antibody can be stored for up to one month at 4oC. For long-term, aliquot and store at -20oC. Avoid repeated freezing and thawing.

Cross
Bulk Quote Request Form
Name*:
Organization*:
Email*:
Phone Number*:
Catalog No.*:
Comments and Specifics(amount, formulation, etc.)*:
Validation code: Captchapackage Image


Can't read the image? click here to refresh.
    *required field

Your bulk quote request has been submitted successfully!

Please contact us if you have any questions.