• Tel: 858.663.9055
  • SeparatorEmail: info@nsjbio.com
  • Tel: 858.663.9055
  • Email: info@nsjbio.com
Home >> Antibodies >> C1 Inhibitor (C1-INH) Antibody / SERPING1

C1 Inhibitor (C1-INH) Antibody / SERPING1 (FY12906)

  Catalog No Formulation Size Price (USD)  
Image FY12906 Adding 0.2 ml of distilled water will yield a concentration of 500 ug/ml 100 ug 439
Bulk quote request
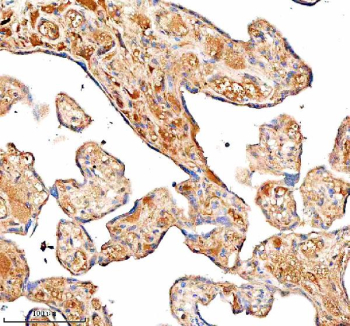
Immunohistochemical staining of SERPING1/C1 using anti-C1 Inhibitor (C1-INH) antibody. SERPING1/C1 was detected in a paraffin-embedded section of human placenta tissue. Heat mediated antigen retrieval was performed in EDTA buffer (pH 8.0, epitope retrieval solution). The tissue section was blocked with 10% goat serum. The tissue section was then incubated with 1:100 rabbit anti-C1 Inhibitor (C1-INH) antibody overnight at 4oC. Peroxidase Conjugated Goat Anti-rabbit IgG was used as secondary antibody and incubated for 30 minutes at 37oC. The tissue section was developed using an HRP secondary and DAB substrate.
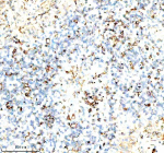
Immunohistochemical staining of SERPING1/C1 using anti-C1 Inhibitor (C1-INH) antibody. SERPING1/C1 was detected in a paraffin-embedded section of human ovarian cancer tissue. Heat mediated antigen retrieval was performed in EDTA buffer (pH 8.0, epitope retrieval solution). The tissue section was blocked with 10% goat serum. The tissue section was then incubated with 1:100 rabbit anti-C1 Inhibitor (C1-INH) antibody overnight at 4oC. Peroxidase Conjugated Goat Anti-rabbit IgG was used as secondary antibody and incubated for 30 minutes at 37oC. The tissue section was developed using an HRP secondary and DAB substrate.
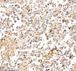
Immunohistochemical staining of SERPING1/C1 using anti-C1 Inhibitor (C1-INH) antibody. SERPING1/C1 was detected in a paraffin-embedded section of human spleen tissue. Heat mediated antigen retrieval was performed in EDTA buffer (pH 8.0, epitope retrieval solution). The tissue section was blocked with 10% goat serum. The tissue section was then incubated with 1:100 rabbit anti-C1 Inhibitor (C1-INH) antibody overnight at 4oC. Peroxidase Conjugated Goat Anti-rabbit IgG was used as secondary antibody and incubated for 30 minutes at 37oC. The tissue section was developed using an HRP secondary and DAB substrate.
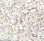
Immunohistochemical staining of SERPING1/C1 using anti-C1 Inhibitor (C1-INH) antibody. SERPING1/C1 was detected in a paraffin-embedded section of human cervical cancer tissue. Heat mediated antigen retrieval was performed in EDTA buffer (pH 8.0, epitope retrieval solution). The tissue section was blocked with 10% goat serum. The tissue section was then incubated with 1:100 rabbit anti-C1 Inhibitor (C1-INH) antibody overnight at 4oC. Peroxidase Conjugated Goat Anti-rabbit IgG was used as secondary antibody and incubated for 30 minutes at 37oC. The tissue section was developed using an HRP secondary and DAB substrate.
Immunohistochemical staining of SERPING1/C1 using anti-C1 Inhibitor (C1-INH) antibody. SERPING1/C1 was detected in a paraffin-embedded section of human lung cancer tissue. Heat mediated antigen retrieval was performed in EDTA buffer (pH 8.0, epitope retrieval solution). The tissue section was blocked with 10% goat serum. The tissue section was then incubated with 1:100 rabbit anti-C1 Inhibitor (C1-INH) antibody overnight at 4oC. Peroxidase Conjugated Goat Anti-rabbit IgG was used as secondary antibody and incubated for 30 minutes at 37oC. The tissue section was developed using an HRP secondary and DAB substrate.
Immunohistochemical staining of SERPING1/C1 using anti-C1 Inhibitor (C1-INH) antibody. SERPING1/C1 was detected in a paraffin-embedded section of human rectal cancer tissue. Heat mediated antigen retrieval was performed in EDTA buffer (pH 8.0, epitope retrieval solution). The tissue section was blocked with 10% goat serum. The tissue section was then incubated with 1:100 rabbit anti-C1 Inhibitor (C1-INH) antibody overnight at 4oC. Peroxidase Conjugated Goat Anti-rabbit IgG was used as secondary antibody and incubated for 30 minutes at 37oC. The tissue section was developed using an HRP secondary and DAB substrate.
Immunohistochemical staining of SERPING1/C1 using anti-C1 Inhibitor (C1-INH) antibody. SERPING1/C1 was detected in a paraffin-embedded section of human testis cancer tissue. Heat mediated antigen retrieval was performed in EDTA buffer (pH 8.0, epitope retrieval solution). The tissue section was blocked with 10% goat serum. The tissue section was then incubated with 1:100 rabbit anti-C1 Inhibitor (C1-INH) antibody overnight at 4oC. Peroxidase Conjugated Goat Anti-rabbit IgG was used as secondary antibody and incubated for 30 minutes at 37oC. The tissue section was developed using an HRP secondary and DAB substrate.
Western blot analysis of SERPING1/C1 using anti-C1 Inhibitor (C1-INH) antibody. Electrophoresis was performed on a 10% SDS-PAGE gel at 80V (Stacking gel) / 120V (Resolving gel) for 2 hours. Lane 1: human HEL whole cell lysates, Lane 2: human HepG2 whole cell lysates Lane 3: rat liver tissue lysates, Lane 4: mouse liver tissue lysates. After electrophoresis, proteins were transferred to a nitrocellulose membrane at 150 mA for 50-90 minutes. Blocked the membrane with 5% non-fat milk/TBS for 1.5 hour at RT. The membrane was incubated with rabbit anti-C1 Inhibitor (C1-INH) antibody at 0.5 ug/ml overnight at 4oC, then washed with TBS-0.1%Tween 3 times with 5 minutes each and probed with a goat anti-rabbit IgG-HRP secondary antibody at a dilution of 1:5000 for 1.5 hour at RT. The signal was developed using an ECL Plus Western Blotting Substrate. A weak ~90 kDa band is detected in human lysates, while rat and mouse liver show a strong ~100 kDa band with additional weaker lower bands. The upward shift relative to the ~55 kDa polypeptide reflects heavy N-glycosylation of the mature protein, and the lower bands are consistent with cleaved or partially glycosylated forms reported for SERPING1 in tissue lysates.
Flow Cytometry analysis of SH-SY5Y cells using anti-C1 Inhibitor (C1-INH) antibody. Overlay histogram showing SH-SY5Y cells stained with (Blue line). The cells were fixed with 4% paraformaldehyde and blocked with 10% normal goat serum. And then incubated with rabbit anti-C1 Inhibitor (C1-INH) antibody (1 ug/million cells) for 30 min at 20oC. DyLight 488 conjugated goat anti-rabbit IgG (5-10 ug/million cells) was used as secondary antibody for 30 minutes at 20oC. Isotype control antibody (Green line) was rabbit IgG (1 ug/million cells) used under the same conditions. Unlabelled sample without incubation with primary antibody and secondary antibody (Red line) was used as a blank control.
Availability 1-2 days
Species Reactivity Human, Mouse, Rat
Format Lyophilized
Clonality Polyclonal (rabbit origin)
Isotype Rabbit IgG
Purity Immunogen affinity purified
Buffer Each vial contains 4 mg Trehalose, 0.9 mg NaCl, 0.2 mg Na2HPO4.
UniProt P05155
Applications Western Blot : 0.25-0.5ug/ml
Flow Cytometry : 1-3ug/million cells
ELISA : 0.1-0.5ug/ml
Limitations This C1 Inhibitor (C1-INH) antibody is available for research use only.
Review this product on BioCompare and get a $20 Amazon gift card

Description

C1 Inhibitor (C1-INH) Antibody recognizes a secreted serine protease inhibitor encoded by the SERPING1 gene, which is essential for controlling complement activation and vascular permeability. Although the predicted molecular weight is ~55 kDa, the mature glycoprotein migrates near 100-105 kDa due to extensive N-linked glycosylation. C1 Inhibitor, also known as C1 esterase inhibitor or plasma protease C1 inhibitor, is synthesized mainly by hepatocytes and secreted into the plasma where it inactivates the complement proteases C1r and C1s. This regulation prevents uncontrolled complement activation and protects tissues from inflammatory damage. The protein is part of the serpin superfamily and contributes to immune, vascular, and coagulation homeostasis through its inhibition of multiple serine proteases.

The C1 Inhibitor (C1-INH) Antibody detects a multifunctional protein that serves as a critical regulator of both the complement and contact systems. By inhibiting kallikrein and factor XIIa, C1 inhibitor controls bradykinin release, preventing excessive vasodilation and edema formation. Genetic or acquired deficiency of SERPING1 leads to hereditary angioedema (HAE), an autosomal dominant disorder characterized by recurrent subcutaneous and submucosal swelling episodes. In these patients, reduced or dysfunctional C1 inhibitor fails to block complement activation and bradykinin formation, causing fluid extravasation and tissue swelling. The protein’s physiological importance extends beyond the complement system, influencing inflammation, coagulation, and endothelial permeability.

C1 inhibitor belongs to the serpin family of irreversible protease inhibitors, sharing structural similarities with alpha-1 antitrypsin and antithrombin III. It contains a conserved serpin domain with a reactive center loop that inserts into its own beta-sheet following protease binding, trapping and inactivating the enzyme. This mechanism results in the formation of stable covalent complexes visible as higher molecular weight species on western blot. The protein’s extensive glycosylation accounts for its diffuse migration and apparent mass variation between 90 and 105 kDa. Treatment with PNGase F collapses the heterogeneity, confirming glycan modification as the major cause of the migration shift. The protein is synthesized in the endoplasmic reticulum and Golgi before secretion and functions primarily in extracellular plasma compartments.

C1 inhibitor expression is highest in the liver but also found in endothelial cells, monocytes, macrophages, and astrocytes. Local expression in the vascular endothelium contributes to regulation of complement and bradykinin signaling at inflammation sites. During acute-phase responses, hepatic production of the protein increases in response to cytokines such as interleukin-6 and tumor necrosis factor alpha. Elevated plasma levels are observed in infection and trauma, whereas deficiency enhances susceptibility to vascular leakage and complement-driven pathology. Studies using C1 Inhibitor (C1-INH) Antibody have revealed the protein's participation in protecting the blood-brain barrier and moderating neuroinflammatory processes in the central nervous system.

The SERPING1 gene is located on chromosome 11q12.1 and encodes a single-chain glycoprotein of 478 amino acids containing multiple N-glycosylation sites. Over 200 disease-associated variants have been identified, many disrupting protein folding or secretion and leading to reduced plasma concentrations or inactive molecules. C1 inhibitor deficiency types I and II are classified by whether the mutation decreases quantity or function. The protein’s interaction network includes C1r, C1s, kallikrein, and factor XIIa, and it can also form complexes with high-molecular-weight kininogen. These interactions place it at the intersection of complement activation, coagulation, and fibrinolysis pathways.

In western blot analysis, the C1 Inhibitor (C1-INH) Antibody detects a dominant band around 100 kDa corresponding to the mature glycosylated form, along with weaker lower bands between 70 and 90 kDa representing partially glycosylated or cleaved intermediates. Higher molecular weight complexes may also appear due to SDS-stable binding with target proteases. The antibody provides robust recognition of both plasma and intracellular forms of the protein, making it suitable for studies on complement regulation, endothelial barrier integrity, and hereditary angioedema mechanisms. It is validated for use in relevant research applications focused on complement biology, vascular inflammation, and serpin protein function.

C1 inhibitor plays a critical role in multiple biological pathways including the classical complement cascade, the kallikrein-kinin system, and the regulation of vascular permeability. By inactivating several proteolytic enzymes, it maintains immune balance and prevents spontaneous inflammatory activation. Dysregulation of this protein has been linked to autoimmune diseases, vascular leakage syndromes, and neuroinflammatory disorders. The C1 Inhibitor (C1-INH) Antibody enables reliable detection of endogenous or recombinant SERPING1 protein across tissues and species and is an effective tool for assessing serpin-mediated immune regulation. This reagent is manufactured and quality-tested by NSJ Bioreagents for use in relevant research applications.

Application Notes

Optimal dilution of the C1 Inhibitor (C1-INH) antibody should be determined by the researcher.

Immunogen

E.coli-derived human SERPING1 recombinant protein (Position: S131-A500) was used as the immunogen for the C1 Inhibitor (C1-INH) antibody.

Storage

After reconstitution, the C1 Inhibitor (C1-INH) antibody can be stored for up to one month at 4oC. For long-term, aliquot and store at -20oC. Avoid repeated freezing and thawing.

Cross
Bulk Quote Request Form
Name*:
Organization*:
Email*:
Phone Number*:
Catalog No.*:
Comments and Specifics(amount, formulation, etc.)*:
Validation code: Captchapackage Image


Can't read the image? click here to refresh.
    *required field

Your bulk quote request has been submitted successfully!

Please contact us if you have any questions.