• Tel: 858.663.9055
  • SeparatorEmail: info@nsjbio.com
  • Tel: 858.663.9055
  • Email: info@nsjbio.com
Home >> Antibodies >> c-Myc Antibody

c-Myc Antibody [clone MYC909] (V2746)

  Catalog No Formulation Size Price (USD)  
Image V2746-100UG 0.2 mg/ml in 1X PBS with 0.1 mg/ml BSA (US sourced) and 0.05% sodium azide 100 ug 559
Image
V2746-20UG 0.2 mg/ml in 1X PBS with 0.1 mg/ml BSA (US sourced) and 0.05% sodium azide 20 ug 259
Image
V2746SAF-100UG 1 mg/ml in 1X PBS; BSA free, sodium azide free 100 ug 559
Image
V2746IHC-7ML Prediluted in 1X PBS with 0.1 mg/ml BSA (US sourced) and 0.05% sodium azide; *For IHC use only* 7 ml 559
Bulk quote request
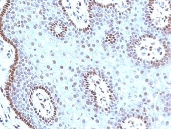
IHC: Formalin-fixed, paraffin-embedded human cervical carcinoma stained with c-Myc antibody (MYC909).
Availability 1-3 business days
Species Reactivity Human
Format Purified
Host Mouse
Clonality Monoclonal (mouse origin)
Isotype Mouse IgG1, kappa
Clone Name MYC909
Purity Protein G affinity chromatography
UniProt P01106
Localization Nuclear
Applications Flow Cytometry : 0.5-1ug/10^6 cells
Immunofluorescence : 1-2ug/ml
Immunohistochemistry (FFPE) : 1-2ug/ml for 30 min at RT
Limitations This c-Myc antibody is available for research use only.
Review this product on BioCompare and get a $20 Amazon gift card

Related Products

  • Applications : ELISA, FACS, WB
    Reactivity : Human
    Recrabbitmono
  • Applications : WB, FACS, IHC, ELISA
    Reactivity : Human, Mouse, Rat
  • Applications : IHC-P
    Reactivity : Human
    Citation  Citations(10)
  • Applications : IHC-P
    Reactivity : Human
    Citation  Citations(1)
  • Applications : FACS, IF, IHC-P
    Reactivity : Human
  • Applications : ELISA, FACS, IF
    Reactivity : Human
  • Applications : FACS, IF
    Reactivity : Human
  • Applications : FACS, IF, IHC-P
    Reactivity : Human
  • Applications : WB, IHC-P
    Reactivity : Human
  • Applications : IF/ICC, IHC-P, WB
    Reactivity : Human, Mouse, Rat
    Rab Mono Image
  • Applications : IHC-P, WB
    Reactivity : Human
    Rab Mono Image
  • Applications : WB, IF
    Reactivity : Human, Mouse, Rat
  • Applications : WB
    Reactivity : Human, Mouse, Rat
  • Applications : WB, FACS, ELISA
    Reactivity : Human
    Pred. Reactivity : Bovine, Mouse, Pig, Rat
  • Applications : WB, IHC, ELISA
    Reactivity : Human
    Pred. Reactivity : Bovine, Chicken, Mouse, Pig, Rat, Xenopus, Zebrafish
  • Applications : WB, ELISA
    Reactivity : Human
    Pred. Reactivity : Bovine, Mouse, Rat

Description

It recognizes a transcription factor of 64-67kDa, identified as c-myc. This mAb shows no cross-reaction with v-myc. c-Myc is a transcription factor that binds DNA in a non-specific manner, yet also specifically recognizes the core sequence 5'-CAC[GA]TG-3'. Activates the transcription of growth-related genes. [UniProt]

Application Notes

The stated application concentrations are suggested starting amounts. Optimal dilution of the c-Myc antibody should be determined by the researcher.

1. Staining of formalin-fixed tissues requires boiling tissue sections in 10mM Tris with 1mM EDTA, pH 9.0, for 10-20 min followed by cooling at RT for 20 min
2. The prediluted format is supplied in a dropper bottle and is optimized for use in IHC. After epitope retrieval step (if required), drip mAb solution onto the tissue section and incubate at RT for 30 min.

Immunogen

Recombinant human protein was used as the immunogen for the c-Myc antibody.

Storage

Store the c-Myc antibody at 2-8oC (with azide) or aliquot and store at -20oC or colder (without azide).

Cross
Bulk Quote Request Form
Name*:
Organization*:
Email*:
Phone Number*:
Catalog No.*:
Comments and Specifics(amount, formulation, etc.)*:
Validation code: Captchapackage Image


Can't read the image? click here to refresh.
    *required field

Your bulk quote request has been submitted successfully!

Please contact us if you have any questions.