• Tel: 858.663.9055
  • SeparatorEmail: info@nsjbio.com
  • Tel: 858.663.9055
  • Email: info@nsjbio.com
Home >> Antibodies >> c-Myc Antibody / MYC

c-Myc Antibody / MYC [clone MYC/7855R] (V5266)

  Catalog No Formulation Size Price (USD)  
Image V5266-100UG 0.2 mg/ml in 1X PBS with 0.1 mg/ml BSA (US sourced), 0.05% sodium azide 100 ug 559
Image
V5266-20UG 0.2 mg/ml in 1X PBS with 0.1 mg/ml BSA (US sourced), 0.05% sodium azide 20 ug 259
Image
V5266SAF-100UG 1 mg/ml in 1X PBS; BSA free, sodium azide free 100 ug 559
Microvalidated Recrabbitmono
Bulk quote request
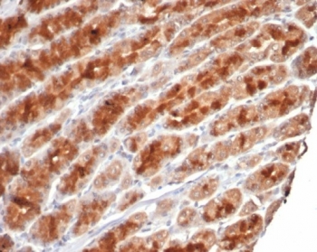
IHC staining of FFPE human stomach tissue with c-Myc antibody (clone MYC/7855R). HIER: boil tissue sections in pH 9 10mM Tris with 1mM EDTA for 20 min and allow to cool before testing.
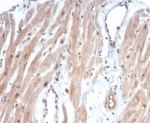
IHC staining of FFPE human heart tissue with c-Myc antibody (clone MYC/7855R). HIER: boil tissue sections in pH 9 10mM Tris with 1mM EDTA for 20 min and allow to cool before testing.
Western blot testing of human K562 cell lysate with c-Myc antibody. Theoretical molecular weight: ~50 kDa but routinely observed at 50~70 kDa.
Availability 1-3 business days
Species Reactivity Human
Format Purified
Host Rabbit
Clonality Recombinant Rabbit Monoclonal
Isotype Rabbit IgG, kappa
Clone Name MYC/7855R
Purity Protein A/G affinity
UniProt P01106
Localization Nucleus
Applications Immunohistochemistry (FFPE) : 1-2ug/ml for 30 min at RT
Western Blot : 2-4ug/ml
Limitations This c-Myc antibody is available for research use only.
Review this product on BioCompare and get a $20 Amazon gift card

Related Products

  • Applications : ELISA, FACS, WB
    Reactivity : Human
    Recrabbitmono
  • Applications : WB, FACS, IHC, ELISA
    Reactivity : Human, Mouse, Rat
  • Applications : IHC-P
    Reactivity : Human
    Citation  Citations(10)
  • Applications : IHC-P
    Reactivity : Human
    Citation  Citations(1)
  • Applications : FACS, IF, IHC-P
    Reactivity : Human
  • Applications : FACS, IF, IHC-P
    Reactivity : Human
  • Applications : ELISA, FACS, IF
    Reactivity : Human
  • Applications : FACS, IF
    Reactivity : Human
  • Applications : FACS, IF, IHC-P
    Reactivity : Human
  • Applications : WB, IHC-P
    Reactivity : Human
  • Applications : IF/ICC, IHC-P, WB
    Reactivity : Human, Mouse, Rat
    Rab Mono Image
  • Applications : IHC-P, WB
    Reactivity : Human
    Rab Mono Image
  • Applications : WB, IF
    Reactivity : Human, Mouse, Rat
  • Applications : WB
    Reactivity : Human, Mouse, Rat
  • Applications : WB, FACS, ELISA
    Reactivity : Human
    Pred. Reactivity : Bovine, Mouse, Pig, Rat
  • Applications : WB, IHC, ELISA
    Reactivity : Human
    Pred. Reactivity : Bovine, Chicken, Mouse, Pig, Rat, Xenopus, Zebrafish
  • Applications : WB, ELISA
    Reactivity : Human
    Pred. Reactivity : Bovine, Mouse, Rat

Description

c-Myc is involved in the control of cell proliferation and differentiation and is amplified and/or overexpressed in a variety of tumors. Over-expression of c-Myc protein occurs frequently in luminal cells of prostate intraepithelial neoplasia as well as in most primary carcinomas and metastatic disease.

Application Notes

Optimal dilution of the c-Myc antibody should be determined by the researcher.

Immunogen

A recombinant partial protein sequence (within amino acids 1-200) from the human protein was used as the immunogen for the c-Myc antibody.

Storage

Aliquot the c-Myc antibody and store frozen at -20oC or colder. Avoid repeated freeze-thaw cycles.

Cross
Bulk Quote Request Form
Name*:
Organization*:
Email*:
Phone Number*:
Catalog No.*:
Comments and Specifics(amount, formulation, etc.)*:
Validation code: Captchapackage Image


Can't read the image? click here to refresh.
    *required field

Your bulk quote request has been submitted successfully!

Please contact us if you have any questions.