• Tel: 858.663.9055
  • SeparatorEmail: info@nsjbio.com
  • Tel: 858.663.9055
  • Email: info@nsjbio.com
Home >> Antibodies >> c-Myc Antibody / MYC

c-Myc Antibody / MYC [clone 9E10] (FY13461)

  Catalog No Formulation Size Price (USD)  
Image FY13461 Mouse ascites fluid, 1.2% sodium acetate, 2mg BSA, with 0.01mg NaN3 as preservative. 100 ug 449
Bulk quote request
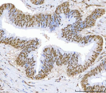
IHC analysis of c-Myc in human colorectal adenocarcinoma tissue. Paraffin-embedded human colorectal adenocarcinoma tissue was stained with c-Myc / MYC antibody following pH8 heat-mediated antigen retrieval. Strong nuclear staining is observed in tumor epithelial cells, consistent with elevated c-Myc expression in malignant tissue. Scale bar: 100 um.
IHC analysis of c-Myc in human thyroid cancer tissue. Paraffin-embedded human thyroid cancer tissue was stained with c-Myc / MYC antibody pH8 EDTA following heat-mediated antigen retrieval. Nuclear immunoreactivity is observed in tumor cells, consistent with c-Myc expression in thyroid malignancy. Scale bar: 100 um.
IHC analysis of c-Myc in human spleen tissue. Paraffin-embedded human spleen tissue was stained with c-Myc / MYC antibody following pH8 EDTA heat-mediated antigen retrieval. Nuclear immunoreactivity is observed in lymphoid cells, consistent with endogenous c-Myc expression. Scale bar: 100 um.
Western blot analysis of c-Myc in human HeLa cells. Whole cell lysates from human HeLa cells were separated by SDS-PAGE under reducing conditions and probed with anti-c-Myc antibody. A single prominent band is observed at approximately 49 kDa, consistent with the predicted molecular weight of c-Myc based on its amino acid sequence. This band corresponds to endogenous c-Myc protein expression in HeLa cells.
Availability 1-3 business days
Species Reactivity Human
Format Ascites
Host Mouse
Clonality Monoclonal (mouse origin)
Isotype Mouse IgG1
Clone Name 9E10
UniProt P01106
Localization Nuclear
Applications Immunohistochemistry (FFPE) : 5ug/ml for 30 min at RT
Western Blot : 1-2ug/ml
Limitations This c-Myc / MYC antibody is available for research use only.
Review this product on BioCompare and get a $20 Amazon gift card

Related Products

  • Applications : ELISA, FACS, WB
    Reactivity : Human
    Recrabbitmono
  • Applications : WB, FACS, IHC, ELISA
    Reactivity : Human, Mouse, Rat
  • Applications : IHC-P
    Reactivity : Human
    Citation  Citations(10)
  • Applications : IHC-P
    Reactivity : Human
    Citation  Citations(1)
  • Applications : FACS, IF, IHC-P
    Reactivity : Human
  • Applications : FACS, IF, IHC-P
    Reactivity : Human
  • Applications : ELISA, FACS, IF
    Reactivity : Human
  • Applications : FACS, IF
    Reactivity : Human
  • Applications : FACS, IF, IHC-P
    Reactivity : Human
  • Applications : WB, IHC-P
    Reactivity : Human
  • Applications : IF/ICC, IHC-P, WB
    Reactivity : Human, Mouse, Rat
    Rab Mono Image
  • Applications : IHC-P, WB
    Reactivity : Human
    Rab Mono Image
  • Applications : WB, IF
    Reactivity : Human, Mouse, Rat
  • Applications : WB
    Reactivity : Human, Mouse, Rat
  • Applications : WB, FACS, ELISA
    Reactivity : Human
    Pred. Reactivity : Bovine, Mouse, Pig, Rat
  • Applications : WB, IHC, ELISA
    Reactivity : Human
    Pred. Reactivity : Bovine, Chicken, Mouse, Pig, Rat, Xenopus, Zebrafish
  • Applications : WB, ELISA
    Reactivity : Human
    Pred. Reactivity : Bovine, Mouse, Rat

Description

c-Myc Antibody targets c-Myc, also known as MYC, a nuclear transcription factor encoded by the MYC gene that functions as a central regulator of cellular growth, metabolism, and proliferation. c-Myc is a member of the Myc family of basic helix-loop-helix leucine zipper proteins and is widely recognized for its ability to coordinate large-scale gene expression programs. Through this regulatory capacity, c-Myc integrates extracellular growth signals with intracellular metabolic and biosynthetic demands.

Functionally, c-Myc exerts its effects on gene expression by forming heterodimers with the MAX protein. The c-Myc-MAX complex binds to specific DNA motifs within promoters and enhancers of target genes, influencing transcriptional output across diverse biological pathways. These targets include genes involved in ribosome biogenesis, nucleotide synthesis, mitochondrial activity, and cell cycle progression. A c-Myc Antibody enables investigation of MYC-driven transcriptional regulation and growth-associated gene networks in research studies.

Expression of c-Myc is tightly regulated and highly responsive to mitogenic stimuli. In quiescent cells, MYC expression is generally low, while growth factor signaling induces rapid transcriptional activation and protein accumulation. At the subcellular level, c-Myc localizes predominantly to the nucleus, where it associates with chromatin and transcriptional machinery. Its short protein half-life allows cells to fine-tune MYC activity in response to changing environmental and metabolic conditions.

At the molecular level, c-Myc contains a conserved C-terminal DNA-binding and dimerization domain responsible for interaction with MAX, along with N-terminal regulatory regions that modulate transcriptional activation and protein stability. These regulatory regions interact with cofactors and chromatin-associated proteins, enabling c-Myc to influence both gene activation and repression depending on cellular context. Post-translational modifications further regulate MYC stability and activity, contributing to precise control of its biological effects.

From a biological and disease relevance perspective, dysregulation of MYC is a hallmark of many cancers. Sustained MYC activation can drive uncontrolled cell proliferation, metabolic reprogramming, and altered differentiation states. Amplification, overexpression, or deregulated signaling upstream of MYC has been observed across a wide range of tumor types, making c-Myc a focal point of cancer biology research. As a result, MYC expression is frequently examined as an indicator of proliferative signaling and oncogenic transcriptional activity.

c-Myc Antibody reagents are valuable tools for studying transcription factor biology, growth control mechanisms, and MYC-associated signaling pathways. These antibodies support research into gene expression regulation, cellular metabolism, and disease-associated alterations in transcriptional programs. NSJ Bioreagents provides c-Myc Antibody products intended for research use.

Application Notes

Optimal dilution of the c-Myc / MYC antibody should be determined by the researcher.

Immunogen

A synthetic peptide corresponding to residues 408-439 of the human p62c-Myc protein was used as the immunogen for the c-Myc / MYC antibody.

Storage

Store the c-Myc / MYC antibody at -20oC for one year from date of receipt. After reconstitution, at 4oC for one month. It can also be aliquoted and stored frozen at -20oC for six months. Avoid repeated freeze-thaw cycles.

Cross
Bulk Quote Request Form
Name*:
Organization*:
Email*:
Phone Number*:
Catalog No.*:
Comments and Specifics(amount, formulation, etc.)*:
Validation code: Captchapackage Image


Can't read the image? click here to refresh.
    *required field

Your bulk quote request has been submitted successfully!

Please contact us if you have any questions.