• Tel: 858.663.9055
  • SeparatorEmail: info@nsjbio.com
  • Tel: 858.663.9055
  • Email: info@nsjbio.com
Home >> Antibodies >> c-Kit Antibody

c-Kit Antibody (RQ5588)

  Catalog No Formulation Size Price (USD)  
Image RQ5588 0.5mg/ml if reconstituted with 0.2ml sterile DI water 100 ug 439
Bulk quote request
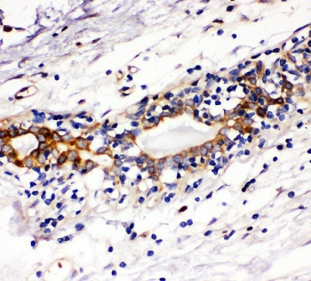
IHC staining of FFPE human breast cancer with c-Kit antibody. HIER: boil tissue sections in pH6, 10mM citrate buffer, for 20 min and allow to cool before testing.
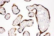
IHC staining of FFPE human placenta with c-Kit antibody. HIER: boil tissue sections in pH6, 10mM citrate buffer, for 20 min and allow to cool before testing.
Western blot testing of human A549 cell lysate with c-Kit antibody. Observed molecular weight: ~120/145 kDa (precusor/mature).
Availability 1-3 business days
Species Reactivity Human
Format Antigen affinity purified
Clonality Polyclonal (rabbit origin)
Isotype Rabbit IgG
Purity Affinity purified
Buffer Lyophilized from 1X PBS with 2% Trehalose and 0.025% sodium azide
UniProt P05532
Applications Western Blot : 0.25-0.5ug/ml
Immunohistochemistry (FFPE) : 1-2ug/ml
Limitations This c-Kit antibody is available for research use only.
Review this product on BioCompare and get a $20 Amazon gift card

Related Products

Description

SCFR (Mast/stem cell growth factor receptor), also known as KIT ONCOGENE or CD117, is a protein that in humans is encoded by the KIT gene. KIT was first described as the cellular homolog of the feline sarcoma viral oncogene v-kit. The KIT gene is mapped on 4q12. Kit was expressed on the surface of germ cells up to the pachytene stage. Signaling from the KIT receptor tyrosine kinase is essential for primordial germ cell growth both in vivo and in vitro. Determination of the KIT effectors acting in primordial germ cells has been hampered by the lack of effective methods to manipulate easily gene expression in these cells.

Application Notes

Optimal dilution of the c-Kit antibody should be determined by the researcher.

Immunogen

Amino acids DLLNFLRRKRDSFIFSKQEEQAEAALYKNLLHSTE were used as the immunogen for the c-Kit antibody.

Storage

After reconstitution, the c-Kit antibody can be stored for up to one month at 4oC. For long-term, aliquot and store at -20oC. Avoid repeated freezing and thawing.

Cross
Bulk Quote Request Form
Name*:
Organization*:
Email*:
Phone Number*:
Catalog No.*:
Comments and Specifics(amount, formulation, etc.)*:
Validation code: Captchapackage Image


Can't read the image? click here to refresh.
    *required field

Your bulk quote request has been submitted successfully!

Please contact us if you have any questions.