• Tel: 858.663.9055
  • SeparatorEmail: info@nsjbio.com
  • Tel: 858.663.9055
  • Email: info@nsjbio.com
Home >> Antibodies >> C-C motif chemokine 23 Antibody / CCL23 / MPIF-1

C-C motif chemokine 23 Antibody / CCL23 / MPIF-1 (RQ8164)

  Catalog No Formulation Size Price (USD)  
Image RQ8164 0.5mg/ml if reconstituted with 0.2ml sterile DI water 100 ug 449
Bulk quote request
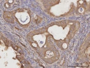
IHC staining of FFPE human rectum adenocarcinoma tissue with C-C motif chemokine 23 antibody. HIER: boil tissue sections in pH8 EDTA for 20 min and allow to cool before testing.
IHC staining of FFPE human thyroid papillary carcinoma tissue with C-C motif chemokine 23 antibody. HIER: boil tissue sections in pH8 EDTA for 20 min and allow to cool before testing.
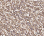
IHC staining of FFPE human liver cancer tissue with C-C motif chemokine 23 antibody. HIER: boil tissue sections in pH8 EDTA for 20 min and allow to cool before testing.
Availability 1-3 business days
Species Reactivity Human
Format Antigen affinity purified
Host Rabbit
Clonality Polyclonal (rabbit origin)
Isotype Rabbit IgG
Purity Antigen affinity purified
Buffer Lyophilized from 1X PBS with 2% Trehalose
UniProt P55773
Applications Immunohistochemistry (FFPE) : 2-5ug/ml
Direct ELISA : 0.1-0.5ug/ml
Limitations This C-C motif chemokine 23 antibody is available for research use only.
Review this product on BioCompare and get a $20 Amazon gift card

Related Products

Description

This gene is one of several chemokine genes clustered on the q-arm of chromosome 17. Chemokines form a superfamily of secreted proteins involved in immunoregulatory and inflammatory processes. The superfamily is divided into four subfamilies based on the arrangement of the N-terminal cysteine residues of the mature peptide. This chemokine, a member of the CC subfamily, displays chemotactic activity on resting T lymphocytes and monocytes, lower activity on neutrophils and no activity on activated T lymphocytes. The protein is also a strong suppressor of colony formation by a multipotential hematopoietic progenitor cell line. In addition, the product of this gene is a potent agonist of the chemokine (C-C motif) receptor 1. Alternative splicing results in multiple transcript variants that encode different isoforms.

Application Notes

Optimal dilution of the C-C motif chemokine 23 antibody should be determined by the researcher.

Immunogen

E. coli-derived recombinant human protein (amino acids R22-N120) was used as the immunogen for the C-C motif chemokine 23 antibody.

Storage

After reconstitution, the C-C motif chemokine 23 antibody can be stored for up to one month at 4oC. For long-term, aliquot and store at -20oC. Avoid repeated freezing and thawing.

Cross
Bulk Quote Request Form
Name*:
Organization*:
Email*:
Phone Number*:
Catalog No.*:
Comments and Specifics(amount, formulation, etc.)*:
Validation code: Captchapackage Image


Can't read the image? click here to refresh.
    *required field

Your bulk quote request has been submitted successfully!

Please contact us if you have any questions.