• Tel: 858.663.9055
  • SeparatorEmail: info@nsjbio.com
  • Tel: 858.663.9055
  • Email: info@nsjbio.com
Home >> Antibodies >> BUB1B Antibody / BubR1

BUB1B Antibody / BubR1 [clone 5I7] (RQ5672)

  Catalog No Formulation Size Price (USD)  
Image RQ5672 0.5mg/ml if reconstituted with 0.2ml sterile DI water 100 ug 449
Bulk quote request
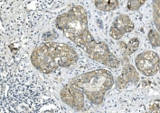
IHC staining of FFPE human breast cancer with BUB1B antibody. HIER: boil tissue sections in pH8 EDTA for 20 min and allow to cool before testing.
IHC staining of FFPE human breast cancer with BUB1B antibody. HIER: boil tissue sections in pH8 EDTA for 20 min and allow to cool before testing.
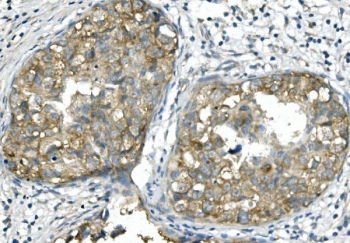
IHC staining of FFPE human ovarian cancer with BUB1B antibody. HIER: boil tissue sections in pH8 EDTA for 20 min and allow to cool before testing.
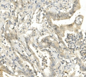
IHC staining of FFPE human rectal cancer with BUB1B antibody. HIER: boil tissue sections in pH8 EDTA for 20 min and allow to cool before testing.
Immunofluorescent staining of FFPE human A431 cells with BUB1B antibody (green) and DAPI nuclear stain (blue). HIER: steam section in pH6 citrate buffer for 20 min.
Flow cytometry testing of human HeLa cells with BUB1B antibody at 1ug/million cells (blocked with goat sera); Red=cells alone, Green=isotype control, Blue= BUB1B antibody.
Western blot testing of human 1) HeLa, 2) HEK293 and 3) K562 lysate with BUB1B antibody. Predicted molecular weight ~120 kDa.
Availability 1-3 business days
Species Reactivity Human
Format Antigen affinity purified
Host Mouse
Clonality Monoclonal
Isotype Mouse IgG1
Clone Name 5I7
Purity Affinity purified
Buffer Lyophilized from 1X PBS with 2% Trehalose and 0.025% sodium azide
UniProt O60566
Applications Western Blot : 0.5-1ug/ml
Immunohistochemistry : 1-2ug/ml
Immunofluorescence : 2-4ug/ml
Flow Cytometry : 1-3ug/million cells
Limitations This BUB1B antibody is available for research use only.
Review this product on BioCompare and get a $20 Amazon gift card

Related Products

Description

Mitotic checkpoint serine/threonine-protein kinase BUB1 beta is an enzyme that in humans is encoded by the BUB1B gene. This gene encodes a kinase involved in spindle checkpoint function. The protein has been localized to the kinetochore and plays a role in the inhibition of the anaphase-promoting complex/cyclosome (APC/C), delaying the onset of anaphase and ensuring proper chromosome segregation. Impaired spindle checkpoint function has been found in many forms of cancer.

Application Notes

Optimal dilution of the BUB1B antibody should be determined by the researcher.

Immunogen

Recombinant human protein (amino acids K26-E448) was used as the immunogen for the BUB1B antibody.

Storage

After reconstitution, the BUB1B antibody can be stored for up to one month at 4oC. For long-term, aliquot and store at -20oC. Avoid repeated freezing and thawing.

Cross
Bulk Quote Request Form
Name*:
Organization*:
Email*:
Phone Number*:
Catalog No.*:
Comments and Specifics(amount, formulation, etc.)*:
Validation code: Captchapackage Image


Can't read the image? click here to refresh.
    *required field

Your bulk quote request has been submitted successfully!

Please contact us if you have any questions.