• Tel: 858.663.9055
  • SeparatorEmail: info@nsjbio.com
  • Tel: 858.663.9055
  • Email: info@nsjbio.com
Home >> Antibodies >> Bsg Antibody / CD147

Bsg Antibody / CD147 [clone 30B80] (FY12532)

  Catalog No Formulation Size Price (USD)  
Image FY12532 Rabbit IgG in phosphate buffered saline, pH 7.4, 150mM NaCl, 0.02% sodium azide and 50% glycerol, 0.4-0.5mg/ml BSA 100 ul 449
Microvalidated Recrabbitmono
Bulk quote request
Western blot analysis of CD147 expression in mouse RAW264.7 cell lysate using Bsg antibody. Predicted molecular weight ~42 kDa but may be observed at higher molecular weights due to glycosylation.
Availability 2-3 weeks
Species Reactivity Mouse
Format Liquid
Host Rabbit
Clonality Recombinant Rabbit Monoclonal
Isotype Rabbit IgG
Clone Name 30B80
Purity Affinity-chromatography
Buffer Rabbit IgG in phosphate buffered saline, pH 7.4, 150mM NaCl, 0.02% sodium azide and 50% glycerol, 0.4-0.5mg/ml BSA.
UniProt P18572
Applications Western Blot : 1:500-1:2000
Immunohistochemistry : 1:50-1:200
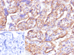
Immunocytochemistry/Immunofluorescence : 1:50-1:200
Immunoprecipitation : 1:50
Limitations This Bsg antibody is available for research use only.
Review this product on BioCompare and get a $20 Amazon gift card

Related Products

Description

BSG antibody detects basigin, also known as CD147, an immunoglobulin superfamily member encoded by the BSG gene. Basigin is a transmembrane glycoprotein expressed in many tissues and cell types. It functions as a receptor and regulator of matrix metalloproteinases, monocarboxylate transporters, and extracellular signaling molecules. By modulating these pathways, basigin influences immune responses, metabolism, and tumor progression.

BSG antibody is widely used in immunology, oncology, and infectious disease research. In cancer, basigin promotes tumor invasion and metastasis by inducing matrix metalloproteinase activity. It also regulates metabolic processes by facilitating lactate transport through interactions with monocarboxylate transporters. By detecting basigin, researchers can study how CD147 contributes to the tumor microenvironment and cellular metabolism.

The antibody is suitable for western blotting, flow cytometry, immunohistochemistry, and immunofluorescence. In western blot assays, BSG antibody detects protein bands corresponding to basigin in multiple tissues. Flow cytometry enables quantitative assessment of CD147 expression on immune and tumor cells. Immunohistochemistry reveals tissue specific patterns, while immunofluorescence highlights subcellular localization at plasma membranes.

Basigin also plays roles in immunity and infectious disease. It regulates leukocyte activation, T cell function, and pathogen interactions. Basigin has been identified as a receptor for certain parasites and viruses, linking it to infectious disease research. By using BSG antibody, scientists can evaluate the role of CD147 in host pathogen interactions and immune regulation.

BSG antibody from NSJ Bioreagents provides strong specificity for detecting basigin in cancer, immunity, and metabolism. Its proven reliability across techniques ensures accurate results for both basic and translational studies.

Application Notes

Optimal dilution of the Bsg antibody should be determined by the researcher.

Immunogen

A synthesized peptide derived from human CD147 was used as the immunogen for the Bsg antibody.

Storage

Store the Bsg antibody at -20oC.

Cross
Bulk Quote Request Form
Name*:
Organization*:
Email*:
Phone Number*:
Catalog No.*:
Comments and Specifics(amount, formulation, etc.)*:
Validation code: Captchapackage Image


Can't read the image? click here to refresh.
    *required field

Your bulk quote request has been submitted successfully!

Please contact us if you have any questions.