• Tel: 858.663.9055
  • SeparatorEmail: info@nsjbio.com
  • Tel: 858.663.9055
  • Email: info@nsjbio.com
Home >> Antibodies >> BRSK1 Antibody / Brain-selective kinase 1

BRSK1 Antibody / Brain-selective kinase 1 (RQ6711)

  Catalog No Formulation Size Price (USD)  
Image RQ6711 0.5mg/ml if reconstituted with 0.2ml sterile DI water 100 ug 449
Bulk quote request
IHC staining of FFPE mouse brain tissue with BRSK1 antibody. HIER: boil tissue sections in pH8 EDTA for 20 min and allow to cool before testing.
IHC staining of FFPE rat brain tissue with BRSK1 antibody. HIER: boil tissue sections in pH8 EDTA for 20 min and allow to cool before testing.
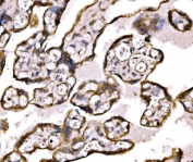
IHC staining of FFPE human placenta tissue with BRSK1 antibody. HIER: boil tissue sections in pH8 EDTA for 20 min and allow to cool before testing.
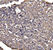
IHC staining of FFPE human laryngeal carcinoma tissue with BRSK1 antibody. HIER: boil tissue sections in pH8 EDTA for 20 min and allow to cool before testing.
Immunofluorescent staining of FFPE human A431 cells with BRSK1 antibody (green) and DAPI nuclear stain (blue). HIER: steam section in pH6 citrate buffer for 20 min.
Western blot testing of human SH-SY5Y cell lysate with BRSK1 antibody. Predicted molecular weight: 85-87 kDa.
Flow cytometry testing of human Caco-2 cells with BRSK1 antibody at 1ug/million cells (blocked with goat sera); Red=cells alone, Green=isotype control, Blue= BRSK1 antibody.
Availability 1-3 business days
Species Reactivity Human, Mouse, Rat
Format Antigen affinity purified
Host Rabbit
Clonality Polyclonal (rabbit origin)
Isotype Rabbit IgG
Purity Antigen affinity purified
Buffer Lyophilized from 1X PBS with 2% Trehalose
UniProt Q8TDC3
Localization Cytoplasmic, nuclear
Applications Western Blot : 1-2ug/ml
Immunohistochemistry (FFPE) : 2-5ug/ml
Immunofluorescence (FFPE) : 5ug/ml
Flow Cytometry : 1-3ug/million cells
Direct ELISA : 0.1-0.5ug/ml
Limitations This BRSK1 antibody is available for research use only.
Review this product on BioCompare and get a $20 Amazon gift card

Description

BR serine/threonine kinase 1 is an enzyme that in humans is encoded by the BRSK1 gene. BRSK1 was initially identified as a mammalian homolog to the fission yeast S. pombe Cdr2, a mitosis-regulatory kinase and also shows significant homology to the C. elegans neuronal cell polarity regulator SAD1. BRSK1 is unbiquitously expressed, with highest levels of expression in the brain and testes. Similar to its yeast homolog, BRSK1 is thought to be involved in stress-induced cell cycle arrest. Overexpression of this protein leads to the G2/M arrest in HeLa S2 cells and UV-induced G2/M arrest could be partially abrogated by reduced expression of BRSK1 through the use of siRNA, indicating its role in DNA damage checkpoint function. More recently, it has been shown that both BRSK1 and the related protein BRSK2 are required for mammalian neuronal polarization. While BRSK1- and BRSK2-null mice were viable, double-mutant mice died within two hours of birth. Neurons from these mice showed uniformly-sized neurites as opposed to the normal long axon and multiple shorter dendrites. These neurites also displayed both axonal and dendritic markers. At least two isoforms of BRSK1 are known to exist.

Application Notes

Optimal dilution of the BRSK1 antibody should be determined by the researcher.

Immunogen

Recombinant human protein (amino acids E269-E321) was used as the immunogen for the BRSK1 antibody.

Storage

After reconstitution, the BRSK1 antibody can be stored for up to one month at 4oC. For long-term, aliquot and store at -20oC. Avoid repeated freezing and thawing.

Cross
Bulk Quote Request Form
Name*:
Organization*:
Email*:
Phone Number*:
Catalog No.*:
Comments and Specifics(amount, formulation, etc.)*:
Validation code: Captchapackage Image


Can't read the image? click here to refresh.
    *required field

Your bulk quote request has been submitted successfully!

Please contact us if you have any questions.