• Tel: 858.663.9055
  • SeparatorEmail: info@nsjbio.com
  • Tel: 858.663.9055
  • Email: info@nsjbio.com
Home >> Antibodies >> BRG1 Antibody for WB / SMARCA4 Western Blot Antibody

BRG1 Antibody for WB / SMARCA4 Western Blot Antibody (RQ4249)

  Catalog No Formulation Size Price (USD)  
Image RQ4249 0.5mg/ml if reconstituted with 0.2ml sterile DI water 100 ug 449
Bulk quote request
BRG1 Antibody for WB / SMARCA4 Western Blot Antibody. Western blot analysis of human Lane 1: HeLa cell lysate, Lane 2: placenta lysate, Lane 3: MCF7 cell lysate, Lane 4: A549 cell lysate, Lane 5: A431 cell lysate, Lane 6: SGC-7901 cell lysate, Lane 7: 22RV1 cell lysate, Lane 8: rat small intestine lysate, Lane 9: mouse small intestine lysate. A band is detected at approximately 200-220 kDa, consistent with the predicted molecular weight of BRG1 / SMARCA4 (185-190 kDa). The slightly higher apparent migration observed in western blot analysis is commonly reported for large chromatin remodeling ATPases and reflects the domain-rich structure of the BRG1 protein within the SWI/SNF chromatin remodeling complex.
IHC testing of FFPE mouse small intestine tissue with BRG1 antibody at 1ug/ml. Required HIER: steam section in pH6 citrate buffer for 20 min and allow to cool prior to staining.
IHC testing of FFPE rat small intestine tissue with BRG1 antibody at 1ug/ml. Required HIER: steam section in pH6 citrate buffer for 20 min and allow to cool prior to staining.
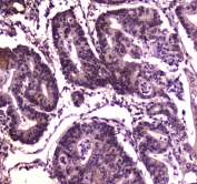
IHC testing of FFPE human intestinal cancer tissue with BRG1 antibody at 1ug/ml. Required HIER: steam section in pH6 citrate buffer for 20 min and allow to cool prior to staining.
IF/ICC staining of FFPE human U-2 OS cells with BRG1 antibody (green) at 2ug/ml and DAPI nuclear stain (blue). HIER: steam section in pH6 citrate buffer for 20 min.
Availability 1-3 business days
Species Reactivity Human, Mouse, Rat
Format Antigen affinity purified
Host Rabbit
Clonality Polyclonal (rabbit origin)
Isotype Rabbit IgG
Purity Antigen affinity purified
Buffer Lyophilized from 1X PBS with 2% Trehalose and 0.025% sodium azide
UniProt P51532
Localization Nucleus
Applications Western Blot : 0.5-1ug/ml
IHC (FFPE) : 1-2ug/ml
IF/ICC (FFPE) : 2-4ug/ml
Direct ELISA : 0.1-0.5ug/ml
Limitations This BRG1 antibody is available for research use only.
Review this product on BioCompare and get a $20 Amazon gift card

Related Products

Description

BRG1 (SMARCA4) is a large ATP-dependent chromatin remodeling enzyme that functions as the catalytic ATPase subunit of the SWI/SNF chromatin remodeling complex and plays a central role in transcriptional regulation and chromatin accessibility. BRG1 Antibody for WB / SMARCA4 Western Blot Antibody is a rabbit polyclonal antibody developed specifically for western blot detection of the BRG1 protein in cell and tissue lysates. BRG1, also known as Brahma related gene 1, is encoded by the SMARCA4 gene and functions as a nuclear ATPase that regulates nucleosome positioning and transcription factor access to DNA. Because of its large molecular size and essential role in chromatin remodeling complexes, SMARCA4 detection by western blot analysis is widely used to confirm BRG1 expression in experimental systems and to investigate alterations in SWI/SNF complex components.

Western blot analysis of BRG1 typically reveals a prominent high molecular weight band corresponding to the full-length SMARCA4 protein, which has a predicted molecular weight of approximately 185 kDa. During western blot experiments, cellular lysates are separated by SDS-PAGE under denaturing conditions, transferred to membranes, and probed with antibodies recognizing the target protein. BRG1 Antibody for WB enables detection of the SMARCA4 protein following electrophoretic separation, allowing visualization of the characteristic high molecular weight BRG1 band in whole cell lysates or nuclear extracts. Because BRG1 is a nuclear chromatin remodeling protein, western blot analysis is frequently performed using nuclear lysates or whole cell extracts to evaluate expression of this large ATPase subunit.

Western blot detection of BRG1 is widely used in studies examining chromatin remodeling activity and SWI/SNF complex integrity. The SMARCA4 protein interacts with numerous transcription factors and regulatory proteins to control gene expression programs involved in differentiation, development, and cell cycle regulation. As a result, western blot analysis of BRG1 protein levels is commonly performed in molecular biology and cancer research to confirm expression of SWI/SNF complex components and to investigate chromatin remodeling pathways.

Alterations in SMARCA4 expression have been reported in multiple tumor types, and BRG1 loss or mutation has been associated with cancers such as lung carcinoma, thoracic sarcoma, ovarian small cell carcinoma of hypercalcemic type, and other malignancies linked to SWI/SNF complex dysfunction. Western blot analysis provides a useful approach for evaluating BRG1 protein expression in tumor cell lines and experimental models, allowing researchers to determine whether the SMARCA4 protein is present, reduced, or absent in specific biological systems.

As a rabbit polyclonal antibody, BRG1 Antibody for WB recognizes multiple epitopes within the SMARCA4 protein, which can enhance detection sensitivity for large proteins during western blot analysis. Polyclonal antibodies are often advantageous in western blot experiments because recognition of multiple epitopes increases the probability of detecting the target protein following SDS-PAGE denaturation and membrane transfer. BRG1 Antibody for WB therefore provides a useful reagent for western blot detection of the SMARCA4 chromatin remodeling protein in studies focused on SWI/SNF complex biology, chromatin regulation, and cancer-associated alterations in BRG1 expression.

Application Notes

Optimal dilution of the BRG1 Antibody for WB should be determined by the researcher.

Immunogen

A recombinant human protein corresponding to amino acids Q555-E763 was used as the immunogen for the BRG1 Antibody for WB.

Storage

After reconstitution, the BRG1 antibody can be stored for up to one month at 4oC. For long-term, aliquot and store at -20oC. Avoid repeated freezing and thawing.

Alternate Names

SMARCA4 antibody, BRG1 antibody, Brahma related gene 1 antibody, SWI/SNF related matrix associated actin dependent regulator of chromatin subfamily A member 4 antibody

Cross
Bulk Quote Request Form
Name*:
Organization*:
Email*:
Phone Number*:
Catalog No.*:
Comments and Specifics(amount, formulation, etc.)*:
Validation code: Captchapackage Image


Can't read the image? click here to refresh.
    *required field

Your bulk quote request has been submitted successfully!

Please contact us if you have any questions.