• Tel: 858.663.9055
  • SeparatorEmail: info@nsjbio.com
  • Tel: 858.663.9055
  • Email: info@nsjbio.com
Home >> Antibodies >> BRG1 Antibody for FACS / SMARCA4 Flow Cytometry Antibody

BRG1 Antibody for FACS / SMARCA4 Flow Cytometry Antibody [clone 3F4] (RQ5493)

  Catalog No Formulation Size Price (USD)  
Image RQ5493 0.5mg/ml if reconstituted with 0.2ml sterile DI water 100 ug 449
Bulk quote request
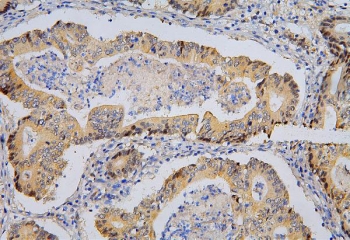
IHC staining of FFPE human rectal cancer with BRG1 antibody. HIER: boil tissue sections in pH6, 10mM citrate buffer, for 20 min and allow to cool before testing.
IHC staining of FFPE human rectal cancer with BRG1 antibody. HIER: boil tissue sections in pH6, 10mM citrate buffer, for 20 min and allow to cool before testing.
IHC staining of FFPE human lung cancer with BRG1 antibody. HIER: boil tissue sections in pH6, 10mM citrate buffer, for 20 min and allow to cool before testing.
IHC staining of FFPE rat intestine with BRG1 antibody. HIER: boil tissue sections in pH6, 10mM citrate buffer, for 20 min and allow to cool before testing.
Western blot testing of human 1) Raji, 2) K562, 3) HL-60, 4) Caco-2, 5) HeLa, 6) HepG2, 7) rat brain, 8) mouse brain and 9) mouse lung with BRG1 antibody. Predicted molecular weight: 185-190 kDa, observed at 200-220 kDa.
BRG1 Antibody for FACS / SMARCA4 Flow Cytometry Antibody. Flow cytometry analysis of human U-2 OS cells stained with BRG1 antibody at 1 ug per million cells demonstrates a clear fluorescence shift of the BRG1-stained population (blue histogram) relative to the isotype control (green histogram) and unstained cells (red histogram). Cells were blocked with goat sera prior to staining and analyzed by flow cytometry using FITC-A detection to measure fluorescence intensity. The rightward shift in fluorescence signal indicates specific intracellular detection of the BRG1 / SMARCA4 chromatin remodeling protein within the analyzed cell population, demonstrating suitability of the antibody for intracellular flow cytometry analysis of BRG1 expression.
Availability 1-3 business days
Species Reactivity Human, Mouse, Rat
Format Antigen affinity purified
Host Mouse
Clonality Monoclonal (mouse origin)
Isotype Mouse IgG1
Clone Name 3F4
Purity Affinity purified
Buffer Lyophilized from 1X PBS with 2% Trehalose and 0.025% sodium azide
UniProt P51532
Localization Nuclear
Applications Western Blot : 0.5-1ug/ml
Immunohistochemistry (FFPE) : 1-2ug/ml
Flow Cytometry : 1-3ug/million cells
Limitations This BRG1 antibody is available for research use only.
Review this product on BioCompare and get a $20 Amazon gift card

Related Products

Description

BRG1 (SMARCA4) is an ATP-dependent chromatin remodeling enzyme that functions as the catalytic subunit of the SWI/SNF chromatin remodeling complex and regulates transcription through nucleosome repositioning and chromatin accessibility. BRG1 Antibody for FACS / SMARCA4 Flow Cytometry Antibody (clone 3F4) is a mouse monoclonal antibody developed for flow cytometry analysis of intracellular BRG1 protein expression. BRG1, also known as Brahma related gene 1, is encoded by the SMARCA4 gene and localizes primarily to the cell nucleus where it regulates transcriptional programs involved in cellular differentiation, proliferation, and tumor suppression. Because BRG1 is an intracellular nuclear protein, flow cytometry analysis using BRG1 Antibody for FACS is typically performed on fixed and permeabilized cells to allow antibody access to the intracellular SMARCA4 protein.

Flow cytometry analysis using BRG1 Antibody for FACS enables quantitative measurement of BRG1 expression at the single-cell level across heterogeneous cell populations. In a typical FACS workflow, cells are fixed, permeabilized, and stained with the BRG1 antibody followed by a fluorescently labeled secondary antibody to allow detection of SMARCA4 expression by fluorescence intensity. This approach allows researchers to analyze BRG1-positive and BRG1-negative cell populations using flow cytometry instruments and to quantify intracellular BRG1 protein levels within thousands of cells per second. Flow cytometry detection of SMARCA4 is particularly useful when studying chromatin remodeling proteins across mixed cell populations or when comparing BRG1 expression between experimental conditions.

FACS-based detection of BRG1 provides advantages for studies examining chromatin remodeling pathways because flow cytometry allows rapid analysis of protein expression across large cell populations while preserving single-cell resolution. BRG1 Antibody for FACS can be used to evaluate intracellular SMARCA4 expression within defined cell subsets, enabling analysis of BRG1 protein distribution during cellular differentiation, transformation, or experimental perturbation of chromatin remodeling pathways. Flow cytometry analysis can also be used to identify BRG1-expressing cell populations, compare fluorescence intensity distributions, and monitor changes in SMARCA4 expression following genetic or pharmacologic manipulation.

BRG1 functions as a central regulator of chromatin remodeling within the SWI/SNF complex and participates in gene regulation pathways that control cell cycle progression, differentiation, and DNA repair. Alterations in SMARCA4 expression have been reported in multiple tumor types, and BRG1 loss or mutation has been linked to cancers including lung carcinoma, thoracic sarcoma, and ovarian small cell carcinoma of hypercalcemic type. Flow cytometry detection of BRG1 expression therefore provides a useful experimental approach for investigating SMARCA4 protein levels in cancer cell models and for studying chromatin remodeling defects associated with tumor development.

Clone 3F4 is a mouse monoclonal antibody designed to recognize the BRG1 protein and support reproducible intracellular flow cytometry analysis. Monoclonal antibodies provide epitope-specific binding and consistent staining performance, making them well suited for flow cytometry experiments requiring reproducible fluorescence signal detection. BRG1 Antibody for FACS (clone 3F4) therefore provides a research reagent suitable for intracellular flow cytometry analysis of SMARCA4 protein expression in studies focused on chromatin remodeling biology, transcriptional regulation, and SWI/SNF complex function.

Application Notes

Optimal dilution of the BRG1 Antibody for FACS should be determined by the researcher.

Immunogen

A human recombinant protein (amino acids Q555-E763) was used as the immunogen for the BRG1 Antibody for FACS.

Storage

After reconstitution, the BRG1 antibody can be stored for up to one month at 4oC. For long-term, aliquot and store at -20oC. Avoid repeated freezing and thawing.

Alternate Names

SMARCA4 antibody, BRG1 antibody, Brahma related gene 1 antibody, SWI/SNF chromatin remodeling protein antibody

Cross
Bulk Quote Request Form
Name*:
Organization*:
Email*:
Phone Number*:
Catalog No.*:
Comments and Specifics(amount, formulation, etc.)*:
Validation code: Captchapackage Image


Can't read the image? click here to refresh.
    *required field

Your bulk quote request has been submitted successfully!

Please contact us if you have any questions.