• Tel: 858.663.9055
  • SeparatorEmail: info@nsjbio.com
  • Tel: 858.663.9055
  • Email: info@nsjbio.com
Home >> Antibodies >> BRD9 Antibody / Bromodomain-containing protein 9

BRD9 Antibody / Bromodomain-containing protein 9 (F54727)

  Catalog No Formulation Size Price (USD)  
Image F54727-0.4ML In 1X PBS, pH 7.4, with 0.09% sodium azide 0.4 ml 439
Image
F54727-0.08ML In 1X PBS, pH 7.4, with 0.09% sodium azide 0.08 ml 205
Bulk quote request
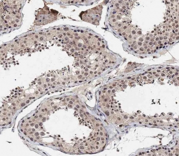
IHC testing of FFPE human testis tissue with BRD9 antibody. HIER: steam section in pH9 EDTA for 20 min and allow to cool prior to staining.
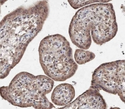
IHC testing of FFPE human placenta tissue with BRD9 antibody. HIER: steam section in pH9 EDTA for 20 min and allow to cool prior to staining.
Western blot testing of human 1) HeLa, 2) SH-SY5Y and 3) placenta lysate with BRD9 antibody. Predicted molecular weight ~67 kDa, commonly observed at 67-85 kDa.
Western blot testing of mouse Neuro-2a cell lysate with BRD9 antibody. Predicted molecular weight ~67 kDa, commonly observed at 67-85 kDa.
Availability 1-3 business days
Species Reactivity Human, Mouse
Format Purified
Host Rabbit
Clonality Polyclonal (rabbit origin)
Isotype Rabbit Ig
Purity Antigen affinity purified
UniProt Q9H8M2
Localization Nuclear, cytoplasmic
Applications Immunohistochemistry (FFPE) : 1:25
Western Blot : 1:500-1:2000
Limitations This BRD9 antibody is available for research use only.
Review this product on BioCompare and get a $20 Amazon gift card

Related Products

Description

Bromodomain-containing protein 9 plays a role in chromatin remodeling and regulation of transcription. [UniProt]

Application Notes

The stated application concentrations are suggested starting points. Titration of the BRD9 antibody may be required due to differences in protocols and secondary/substrate sensitivity.

Immunogen

A portion of amino acids 3-29 from the human protein was used as the immunogen for the BRD9 antibody.

Storage

Aliquot the BRD9 antibody and store frozen at -20oC or colder. Avoid repeated freeze-thaw cycles.

Cross
Bulk Quote Request Form
Name*:
Organization*:
Email*:
Phone Number*:
Catalog No.*:
Comments and Specifics(amount, formulation, etc.)*:
Validation code: Captchapackage Image


Can't read the image? click here to refresh.
    *required field

Your bulk quote request has been submitted successfully!

Please contact us if you have any questions.