• Tel: 858.663.9055
  • SeparatorEmail: info@nsjbio.com
  • Tel: 858.663.9055
  • Email: info@nsjbio.com
Home >> Antibodies >> BRAF Antibody

BRAF Antibody [clone BRAF/1626] (V4594)

  Catalog No Formulation Size Price (USD)  
Image V4594-100UG 0.2 mg/ml in 1X PBS with 0.1 mg/ml BSA (US sourced), 0.05% sodium azide 100 ug 559
Image
V4594-20UG 0.2 mg/ml in 1X PBS with 0.1 mg/ml BSA (US sourced), 0.05% sodium azide 20 ug 259
Image
V4594SAF-100UG 1 mg/ml in 1X PBS; BSA free, sodium azide free 100 ug 559
Bulk quote request
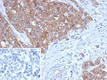
IHC staining of FFPE human ovarian cancer tissue with BRAF antibody (clone BRAF/1626). Inset: PBS used in place of primary Ab (secondary Ab negative control). HIER: boil tissue sections in pH 9 10mM Tris with 1mM EDTA for 20 min and allow to cool before testing.
Western blot testing of human 1) lung, 2) small intestine, 3) gallbladder and 4) placenta tissue lysate with BRAF antibody (clone BRAF/1626). Predicted molecular weight ~36 kDa.
SDS-PAGE analysis of purified, BSA-free BRAF antibody (clone BRAF/1626) as confirmation of integrity and purity.
Availability 1-3 business days
Species Reactivity Human
Format Purified
Host Mouse
Clonality Monoclonal (mouse origin)
Isotype Mouse IgG1, kappa
Clone Name BRAF/1626
Purity Protein A/G affinity
UniProt Q9P0W2
Localization Nucleus, Cytoplasm, Cell membrane
Applications Immunohistochemistry (FFPE) : 1-2ug/ml for 30 min at RT
Western Blot : 1-2ug/ml
Limitations This BRAF antibody is available for research use only.
Review this product on BioCompare and get a $20 Amazon gift card

Related Products

  • Applications : WB, IHC
    Reactivity : Human
    Pred. Reactivity : Mouse
    Recrabbitmono
  • Applications : IHC-P, WB
    Reactivity : Human
    Rab Mono Image
  • Applications : WB
    Reactivity : Human, Mouse, Rat
  • Applications : WB, IHC-P, FACS
    Reactivity : Human, Mouse, Rat
  • Applications : IHC, WB, ELISA
    Reactivity : Human
    Pred. Reactivity : Mouse
  • Applications : WB, IHC, ELISA
    Reactivity : Human
    Pred. Reactivity : Chicken, Mouse
  • Applications : FACS, WB, ELISA
    Reactivity : Human
  • Applications : FACS, IHC, IF, WB, ELISA
    Reactivity : Human
    Pred. Reactivity : Mouse, Chicken
  • Applications : WB, IHC, IF, FACS, ELISA
    Reactivity : Human
    Pred. Reactivity : Mouse, Chicken

Description

The BRAF gene encodes a cytoplasmic serine-threonine kinase, which initiates the activation of the mitogen-activated protein kinase (MAPK) signalling pathway. The oncogenic mutations in the kinase region of BRAF gene result in constitutive activation of the MAPK signalling pathway, leading to increased cell proliferation, resistance to apoptosis and tumor progression. The most common of all activating BRAF mutations leads to a substitution of valine (V) to glutamic acid (E) at the position 600 of the amino acid sequence. The BRAF V600E mutation is an important predictive and prognostic biomarker. The BRAF V600E mutation is detected in approximately 8% of all solid tumours, including 45% of papillary thyroid carcinomas, 40-60% of melanomas, 5-15% of colorectal adenocarcinomas, 35% of serous low grade and borderline ovarian carcinomas, 1-3% of non-small cell lung cancers, and 5-7% of cholangiocarcinomas. Furthermore, the BRAF V600E mutation is found in 100% of hairy cell leukaemia, 54% Erdheim-Chester disease, 38% of Langerhans cell histocytoses and 60% of pleomorphic xanthoastrocytomas.

Application Notes

Optimal dilution of the BRAF antibody should be determined by the researcher.

Immunogen

A recombinant fragment of human HMG20B/BRAF protein was used as the immunogen for the BRAF antibody.

Storage

Aliquot the BRAF antibody and store frozen at -20oC or colder. Avoid repeated freeze-thaw cycles.

Cross
Bulk Quote Request Form
Name*:
Organization*:
Email*:
Phone Number*:
Catalog No.*:
Comments and Specifics(amount, formulation, etc.)*:
Validation code: Captchapackage Image


Can't read the image? click here to refresh.
    *required field

Your bulk quote request has been submitted successfully!

Please contact us if you have any questions.