• Tel: 858.663.9055
  • SeparatorEmail: info@nsjbio.com
  • Tel: 858.663.9055
  • Email: info@nsjbio.com
Home >> Antibodies >> BRAF Antibody (B Raf)

BRAF Antibody (B Raf) (R31582)

  Catalog No Formulation Size Price (USD)  
Image R31582 0.5mg/ml if reconstituted with 0.2ml sterile DI water 100 ug 449
Bulk quote request
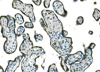
IHC staining of FFPE human placental tissue with BRAF antibody. HIER: boil tissue sections in pH8 EDTA for 20 min and allow to cool before testing.
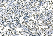
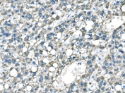
IHC staining of FFPE human adenocarcinoma of the rectum with BRAF antibody. HIER: boil tissue sections in pH8 EDTA for 20 min and allow to cool before testing.
IHC staining of FFPE human lung cancer tissue with BRAF antibody. HIER: boil tissue sections in pH8 EDTA for 20 min and allow to cool before testing.
IHC staining of FFPE human liver cancer tissue with BRAF antibody. HIER: boil tissue sections in pH8 EDTA for 20 min and allow to cool before testing.
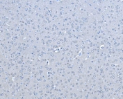
IHC staining of FFPE mouse brain tissue with BRAF antibody. HIER: boil tissue sections in pH8 EDTA for 20 min and allow to cool before testing.
IHC staining of FFPE rat brain tissue with BRAF antibody. HIER: boil tissue sections in pH8 EDTA for 20 min and allow to cool before testing.
Western blot testing of 1) human SH-SY5Y, 2) rat brain, 3) rat testis and 4) mouse brain lysate with BRAF antibody. Expected molecular weight: 85-95 kDa.
Flow cytometry testing of human U-2 OS cells with BRAF antibody at 1ug/million cells (blocked with goat sera); Red=cells alone, Green=isotype control, Blue= BRAF antibody.
Availability 1-3 business days
Species Reactivity Human, Mouse, Rat
Format Antigen affinity purified
Host Rabbit
Clonality Polyclonal (rabbit origin)
Isotype Rabbit IgG
Purity Antigen affinity
Buffer Lyophilized from 1X PBS with 2% Trehalose
UniProt P15056
Gene ID 673
Localization Cytoplasm, nucleus, plasma membrane
Applications Western Blot : 0.5-1ug/ml
Immunohistochemistry (FFPE) : 2-5ug/ml
Flow Cytometry : 1-3ug/million cells
Limitations This BRAF antibody is available for research use only.
Review this product on BioCompare and get a $20 Amazon gift card

Related Products

  • Applications : WB, IHC
    Reactivity : Human
    Pred. Reactivity : Mouse
    Recrabbitmono
  • Applications : IHC-P, WB
    Reactivity : Human
    Rab Mono Image
  • Applications : IHC-P, WB
    Reactivity : Human
  • Applications : WB
    Reactivity : Human, Mouse, Rat
  • Applications : IHC, WB, ELISA
    Reactivity : Human
    Pred. Reactivity : Mouse
  • Applications : WB, IHC, ELISA
    Reactivity : Human
    Pred. Reactivity : Chicken, Mouse
  • Applications : FACS, WB, ELISA
    Reactivity : Human
  • Applications : FACS, IHC, IF, WB, ELISA
    Reactivity : Human
    Pred. Reactivity : Mouse, Chicken
  • Applications : WB, IHC, IF, FACS, ELISA
    Reactivity : Human
    Pred. Reactivity : Mouse, Chicken

Description

BRAF (v-raf murine sarcoma viral oncogene homolog B1) is a human gene that makes a protein called B Raf. It is a member of the Raf kinase family of growth signal transduction protein kinases. This protein plays a role in regulating the MAP kinase/ERKs signaling pathway, which affects cell division, differentiation, and secretion. It is mapped to 7q34. Mutations in this gene are associated with cardiofaciocutaneous syndrome, a disease characterized by heart defects, mental retardation and a distinctive facial appearance. The BRAF protein is also involved in sending signals inside cells, which are involved in directing cell growth.

Application Notes

Titration of the BRAF antibody may be required due to differences in protocols and secondary/substrate sensitivity.

Immunogen

Human partial recombinant protein (AA 38-230) was used as the immunogen for this BRAF antibody.

Storage

The lyophilized BRAF antibody can be stored at 4oC to -20oC. After reconstitution, aliquot and store at -20oC. Avoid repeated freezing and thawing.

Cross
Bulk Quote Request Form
Name*:
Organization*:
Email*:
Phone Number*:
Catalog No.*:
Comments and Specifics(amount, formulation, etc.)*:
Validation code: Captchapackage Image


Can't read the image? click here to refresh.
    *required field

Your bulk quote request has been submitted successfully!

Please contact us if you have any questions.