• Tel: 858.663.9055
  • SeparatorEmail: info@nsjbio.com
  • Tel: 858.663.9055
  • Email: info@nsjbio.com
Home >> Antibodies >> BMPR1A Antibody / Bone morphogenetic protein receptor type-1A

BMPR1A Antibody / Bone morphogenetic protein receptor type-1A (FY12275)

  Catalog No Formulation Size Price (USD)  
Image FY12275 Adding 0.2 ml of distilled water will yield a concentration of 500 ug/ml 100 ug 449
Bulk quote request
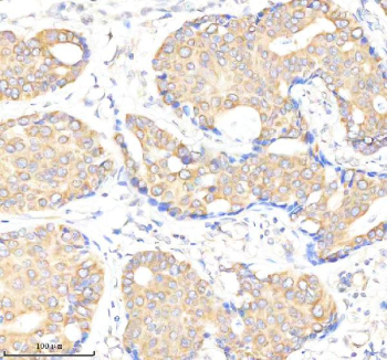
Immunohistochemical staining of BMPR1A using anti-BMPR1A antibody. BMPR1A was detected in a paraffin-embedded section of human breast cancer tissue. Heat mediated antigen retrieval was performed in EDTA buffer (pH 8.0, epitope retrieval solution). The tissue section was blocked with 10% goat serum. The tissue section was then incubated with 2 ug/ml rabbit anti-BMPR1A antibody overnight at 4oC. Peroxidase Conjugated Goat Anti-rabbit IgG was used as secondary antibody and incubated for 30 minutes at 37oC. The tissue section was developed using an HRP secondary and DAB substrate.
Western blot analysis of BMPR1A using anti-BMPR1A antibody. Lane 1: human 293T whole cell lysates, Lane 2: human MCF-7 whole cell lysates, Lane 3: rat skeletal muscle tissue lysates. After electrophoresis, proteins were transferred to a nitrocellulose membrane at 150 mA for 50-90 minutes. Blocked the membrane with 5% non-fat milk/TBS for 1.5 hour at RT. The membrane was incubated with rabbit anti-BMPR1A antibody at 0.5 ug/ml overnight at 4oC, then washed with TBS-0.1%Tween 3 times with 5 minutes each and probed with a goat anti-rabbit IgG-HRP secondary antibody at a dilution of 1:5000 for 1.5 hour at RT. The signal was developed using enhanced chemiluminescent. A specific band was detected for BMPR1A at approximately 60 kDa. The expected band size for BMPR1A is at 60 kDa.
Flow Cytometry analysis of MCF-7 cells using anti-BMPR1A antibody. Overlay histogram showing MCF-7 cells stained with (Blue line). The cells were fixed with 4% paraformaldehyde and blocked with 10% normal goat serum. And then incubated with rabbit anti-BMPR1A antibody (1 ug/million cells) for 30 min at 20oC. DyLight 488 conjugated goat anti-rabbit IgG (5-10 ug/million cells) was used as secondary antibody for 30 minutes at 20oC. Isotype control antibody (Green line) was rabbit IgG (1 ug/million cells) used under the same conditions. Unlabelled sample without incubation with primary antibody and secondary antibody (Red line) was used as a blank control.
Availability 1-2 days
Species Reactivity Human, Rat
Format Lyophilized
Host Rabbit
Clonality Polyclonal (rabbit origin)
Isotype Rabbit IgG
Purity Immunogen affinity purified
Buffer Each vial contains 4 mg Trehalose, 0.9 mg NaCl, 0.2 mg Na2HPO4.
UniProt P36894
Applications Western Blot : 0.25-0.5ug/ml
Immunohistochemistry : 2-5ug/ml
Flow Cytometry : 1-3ug/million cells
Limitations This BMPR1A antibody is available for research use only.
Review this product on BioCompare and get a $20 Amazon gift card

Related Products

  • Applications : FACS, WB, ELISA
    Reactivity : Human
  • Applications : WB, ELISA
    Reactivity : Human, Mouse
    Pred. Reactivity : Rat
  • Applications : IHC, WB, ELISA
    Reactivity : Human
    Pred. Reactivity : Mouse, Rat
  • Applications : WB, IHC, ELISA
    Reactivity : Human, Mouse
  • Applications : WB, IF, ELISA
    Reactivity : Human
  • Applications : WB, ELISA (peptide)
    Reactivity : Human
    Pred. Reactivity : Dog
  • Applications : WB, IHC, ELISA
    Reactivity : Human, Mouse

Description

BMPR1A antibody detects Bone morphogenetic protein receptor type-1A, encoded by the BMPR1A gene on chromosome 10q23.2. BMPR1A antibody is widely used in developmental biology, cancer research, and studies of TGF-beta superfamily signaling. BMPR1A is a transmembrane serine/threonine kinase receptor that mediates signaling by bone morphogenetic proteins (BMPs), which regulate embryogenesis, organogenesis, and tissue homeostasis. By transmitting extracellular BMP signals to intracellular Smad pathways, BMPR1A influences cell growth, apoptosis, and differentiation.

Structurally, BMPR1A is a ~60 kDa glycoprotein composed of an extracellular ligand-binding domain, a single-pass transmembrane segment, and an intracellular serine/threonine kinase domain. Upon ligand binding, BMPR1A forms a heteromeric complex with type II BMP receptors, which phosphorylate BMPR1A, activating its kinase domain. Activated BMPR1A phosphorylates receptor-regulated Smads (Smad1, Smad5, Smad8), which then translocate to the nucleus to regulate gene transcription.

Functionally, BMPR1A regulates bone and cartilage development, reproductive function, vascular remodeling, and stem cell differentiation. In the gut, BMPR1A signaling contributes to epithelial homeostasis and tumor suppression. Researchers use BMPR1A antibody to study BMP signaling in development, stem cells, and cancer models.

Clinically, mutations in BMPR1A cause juvenile polyposis syndrome, an inherited disorder characterized by gastrointestinal polyps and increased cancer risk. Germline mutations or deletions in BMPR1A disrupt BMP signaling, contributing to abnormal proliferation. Altered BMPR1A expression has also been reported in colorectal, gastric, and breast cancers. Targeting BMP signaling is under exploration for regenerative medicine and oncology. NSJ Bioreagents provides BMPR1A antibody for signaling, developmental, and cancer research.

Experimentally, BMPR1A antibody is used in western blotting to detect the ~60 kDa receptor, in immunohistochemistry to assess tissue expression, and in immunofluorescence microscopy to visualize membrane localization. Co-immunoprecipitation with BMPR1A antibody helps identify receptor complexes and Smad-binding partners.

Application Notes

Optimal dilution of the BMPR1A antibody should be determined by the researcher.

Immunogen

A synthetic peptide corresponding to a sequence in the middle region of human BMPR1A was used as the immunogen for the BMPR1A antibody.

Storage

After reconstitution, the BMPR1A antibody can be stored for up to one month at 4oC. For long-term, aliquot and store at -20oC. Avoid repeated freezing and thawing.

Cross
Bulk Quote Request Form
Name*:
Organization*:
Email*:
Phone Number*:
Catalog No.*:
Comments and Specifics(amount, formulation, etc.)*:
Validation code: Captchapackage Image


Can't read the image? click here to refresh.
    *required field

Your bulk quote request has been submitted successfully!

Please contact us if you have any questions.