• Tel: 858.663.9055
  • SeparatorEmail: info@nsjbio.com
  • Tel: 858.663.9055
  • Email: info@nsjbio.com
Home >> Antibodies >> BMI1 Antibody

BMI1 Antibody (F51332)

  Catalog No Formulation Size Price (USD)  
Image F51332-0.4ML In 1X PBS, pH 7.4, with 0.09% sodium azide 0.4 ml 439
Image
F51332-0.08ML In 1X PBS, pH 7.4, with 0.09% sodium azide 0.08 ml 205
Bulk quote request
BMI1 Antibody MCF7 Cell IF. Confocal immunofluorescent analysis of BMI1 antibody with MCF-7 cells followed by Alexa Fluor 488-conjugated goat anti-rabbit lgG (green). Actin filaments have been labeled with Alexa Fluor 555 Phalloidin (red).
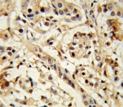
BMI1 Antibody Breast Carcinoma IHC. Immunohistochemistry analysis of FFPE human breast carcinoma stained with BMI1 antibody.
Western blot analysis of BMI1 antibody and MCF7 lysate. Predicted molecular weight: 37-43 kDa.
BMI1 antibody flow cytometric analysis of MCF-7 cells (bottom histogram) compared to a negative control (top histogram). FITC-conjugated goat-anti-rabbit secondary Ab was used for the analysis.
Availability 1-3 business days
Species Reactivity Human
Format Antigen affinity purified
Host Rabbit
Clonality Polyclonal (rabbit origin)
Isotype Rabbit Ig
Purity Antigen affinity
UniProt P35226
Applications Western Blot : 1:1000
IHC (Paraffin) : 1:10-1:50
Immunofluorescence : 1:10-1:50
Flow Cytometry : 1:10-1:50
Limitations This BMI1 antibody is available for research use only.
Review this product on BioCompare and get a $20 Amazon gift card

Related Products

  • Applications : WB, IHC-P
    Reactivity : Human
    Microvalidated
  • Applications : IHC-P
    Reactivity : Human
    Microvalidated
  • Applications : WB, IF, IHC-P
    Reactivity : Human, Mouse
    Microvalidated
  • Applications : WB, IF, ELISA
    Reactivity : Human
  • Applications : IHC-P, WB
    Reactivity : Human
  • Applications : WB
    Reactivity : Human
  • Applications : WB
    Reactivity : Human, Mouse, Rat
  • Applications : WB, IHC, ELISA
    Reactivity : Human
    Pred. Reactivity : Mouse, Bovine, Chicken
  • Applications : WB, ELISA
    Reactivity : Human
  • Applications : WB, ELISA (peptide)
    Reactivity : Human
    Pred. Reactivity : Dog, Pig, Cow
  • Applications : WB, ELISA (peptide)
    Reactivity : Human, Mouse, Pig
    Pred. Reactivity : Dog

Description

Component of the Polycomb group (PcG) multiprotein PRC1 complex, a complex required to maintain the transcriptionally repressive state of many genes, including Hox genes, throughout development. PcG PRC1 complex acts via chromatin remodeling and modification of histones; it mediates monoubiquitination of histone H2A 'Lys-119', rendering chromatin heritably changed in its expressibility. In the PRC1 complex, it is required to stimulate the E3 ubiquitin-protein ligase activity of RNF2/RING2. [UniProt]

Additional studies involving polycomb-mediated transcriptional repression, stem cell renewal, and epigenetic regulation pathways may benefit from our BMI1 antibody page featuring clone BMI1/2823 with HuProt protein microarray specificity validation.

Application Notes

Titration of the BMI1 antibody may be required due to differences in protocols and secondary/substrate sensitivity.

Immunogen

This BMI1 antibody was produced from rabbits immunized with BMI1 recombinant protein.

Storage

Aliquot the BMI1 antibody and store frozen at -20oC or colder. Avoid repeated freeze-thaw cycles.

Cross
Bulk Quote Request Form
Name*:
Organization*:
Email*:
Phone Number*:
Catalog No.*:
Comments and Specifics(amount, formulation, etc.)*:
Validation code: Captchapackage Image


Can't read the image? click here to refresh.
    *required field

Your bulk quote request has been submitted successfully!

Please contact us if you have any questions.