• Tel: 858.663.9055
  • SeparatorEmail: info@nsjbio.com
  • Tel: 858.663.9055
  • Email: info@nsjbio.com
Home >> Antibodies >> Blood Group Lewis a Antibody

Blood Group Lewis a Antibody [clone SPM279] (V3077)

  Catalog No Formulation Size Price (USD)  
Image V3077-100UG 0.2 mg/ml in 1X PBS with 0.1 mg/ml BSA (US sourced) and 0.05% sodium azide 100 ug 559
Image
V3077-20UG 0.2 mg/ml in 1X PBS with 0.1 mg/ml BSA (US sourced) and 0.05% sodium azide 20 ug 259
Image
V3077SAF-100UG 1 mg/ml in 1X PBS; BSA free, sodium azide free 100 ug 559
Image
V3077IHC-7ML Prediluted in 1X PBS with 0.1 mg/ml BSA (US sourced) and 0.05% sodium azide; *For IHC use only* 7 ml 559
Bulk quote request
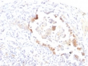
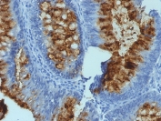
IHC: Formalin-fixed, paraffin-embedded human colon carcinoma stained with Blood Group Lewis a antibody (SPM279).
Availability 1-3 business days
Species Reactivity Human
Format Purified
Host Mouse
Clonality Monoclonal (mouse origin)
Isotype Mouse IgG1, kappa
Clone Name SPM279
Purity Protein G affinity chromatography
Localization Cell membrane, cytoplasmic and extracellular
Applications Immunohistochemistry (FFPE) : 1-2ug/ml for 30 min at RT
Limitations This Blood Group Lewis a antibody is available for research use only.
Review this product on BioCompare and get a $20 Amazon gift card

Related Products

Description

Recognizes a carbohydrate determinant of Gal 1-3(Fuc 1-4) GlcNAc which is blood group antigen Lewis A. It is present primarily on epithelial cells such as colon and kidneys. In the tumors and dedifferentiated tissues, decrease of Lewis A antigen was observed. Lewis A (type 1 chain) is expressed in colonic epithelial cells and may be useful for detection of gastrointestinal tumors, pancreatic cancer, and colorectal tumors. Blood group related antigens represent a group of carbohydrate determinants carried on both glycolipids and glycoproteins. They are usually mucin-type, and are detected on erythrocytes, certain epithelial cells, and in secretions of certain individuals. Sixteen genetically and biosynthetically distinct but inter-related specificities belong to this group of antigens, including A, B, H, Lewis A, Lewis B, Lewis X, Lewis Y, and precursor type 1 chain antigens.

Application Notes

Optimal dilution of the Blood Group Lewis a antibody should be determined by the researcher.

1. Staining of formalin-fixed tissues requires boiling tissue sections in pH 9 10mM Tris with 1mM EDTA for 10-20 min followed by cooling at RT for 20 min.
2. The prediluted format is supplied in a dropper bottle and is optimized for use in IHC. After epitope retrieval step (if required), drip mAb solution onto the tissue section and incubate at RT for 30 min.

Immunogen

Mucins isolated from ovarian cyst fluid were used as the immunogen for the Blood Group Lewis a antibody.

Storage

Store the Blood Group Lewis a antibody at 2-8oC (with azide) or aliquot and store at -20oC or colder (without azide).

Cross
Bulk Quote Request Form
Name*:
Organization*:
Email*:
Phone Number*:
Catalog No.*:
Comments and Specifics(amount, formulation, etc.)*:
Validation code: Captchapackage Image


Can't read the image? click here to refresh.
    *required field

Your bulk quote request has been submitted successfully!

Please contact us if you have any questions.