• Tel: 858.663.9055
  • SeparatorEmail: info@nsjbio.com
  • Tel: 858.663.9055
  • Email: info@nsjbio.com
Home >> Antibodies >> Bleomycin hydrolase Antibody / BLMH

Bleomycin hydrolase Antibody / BLMH (F54739)

  Catalog No Formulation Size Price (USD)  
Image F54739-0.4ML In 1X PBS, pH 7.4, with 0.09% sodium azide 0.4 ml 439
Image
F54739-0.08ML In 1X PBS, pH 7.4, with 0.09% sodium azide 0.08 ml 205
Bulk quote request
Western blot testing of human 1) HL60, 2) CCRF-CEM, 3) SH-SY5Y, 4) MOLT4 and 5) mouse Neuro-2a cell lysate with Bleomycin hydrolase antibody. Predicted molecular weight ~53 kDa.
Western blot testing of 1) human L562, 2) mouse stomach and 3) rat stomach lysate with Bleomycin hydrolase antibody. Predicted molecular weight ~53 kDa.
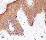
IHC testing of FFPE human skin tissue with Bleomycin hydrolase antibody. HIER: steam section in pH6 citrate buffer for 20 min and allow to cool prior to staining.
Availability 1-3 business days
Species Reactivity Human, Mouse, Rat
Format Purified
Host Rabbit
Clonality Polyclonal (rabbit origin)
Isotype Rabbit Ig
Purity Antigen affinity purified
UniProt Q13867
Localization Cytoplasmic
Applications Immunohistochemistry (FFPE) : 1:25
Western Blot : 1:500-1:1000
Limitations This Bleomycin hydrolase antibody is available for research use only.
Review this product on BioCompare and get a $20 Amazon gift card

Description

The normal physiological role of BLM hydrolase is unknown, but it catalyzes the inactivation of the antitumor drug BLM (a glycopeptide) by hydrolyzing the carboxamide bond of its B-aminoalaninamide moiety thus protecting normal and malignant cells from BLM toxicity (By similarity).

Application Notes

The stated application concentrations are suggested starting points. Titration of the Bleomycin hydrolase antibody may be required due to differences in protocols and secondary/substrate sensitivity.

Immunogen

A portion of amino acids 212-242 from the human protein was used as the immunogen for the Bleomycin hydrolase antibody.

Storage

Aliquot the Bleomycin hydrolase antibody and store frozen at -20oC or colder. Avoid repeated freeze-thaw cycles.

Cross
Bulk Quote Request Form
Name*:
Organization*:
Email*:
Phone Number*:
Catalog No.*:
Comments and Specifics(amount, formulation, etc.)*:
Validation code: Captchapackage Image


Can't read the image? click here to refresh.
    *required field

Your bulk quote request has been submitted successfully!

Please contact us if you have any questions.