• Tel: 858.663.9055
  • SeparatorEmail: info@nsjbio.com
  • Tel: 858.663.9055
  • Email: info@nsjbio.com
Home >> Antibodies >> BK channel Antibody / KCNMA1 / Maxi K Channel

BK channel Antibody / KCNMA1 / Maxi K Channel (R31640)

  Catalog No Formulation Size Price (USD)  
Image R31640 0.5mg/ml if reconstituted with 0.2ml sterile DI water 100 ug 449
Bulk quote request
Western blot testing of human 1) PC-3 and 2) U-87 MG cell lysate with BK channel antibody. Predicted molecular weight: 130-140 kDa (multiple isoforms).
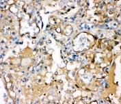
IHC-P: BK channel antibody testing of human lung cancer tissue
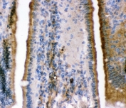
IHC-P: BK channel antibody testing of mouse intestine tissue
IHC-P: BK channel antibody testing of rat intestine tissue
Availability 1-3 business days
Species Reactivity Human, Mouse, Rat
Format Antigen affinity purified
Host Rabbit
Clonality Polyclonal (rabbit origin)
Isotype Rabbit IgG
Purity Antigen affinity
Buffer Lyophilized from 1X PBS with 2.5% BSA and 0.025% sodium azide
Gene ID 3778
Applications Western Blot : 0.5-1ug/ml
IHC (FFPE) : 0.5-1ug/ml
Limitations This BK channel antibody is available for research use only.
Review this product on BioCompare and get a $20 Amazon gift card

Description

Calcium-activated potassium channel subunit alpha-1 also known as KCa1.1, BK channel and Maxi K, is a voltage gated potassium channel encoded by the KCNMA1 gene and characterized by its large conductance of potassium ions (K+) through cell membranes. This gene is located on 10q22.3. BK channels are activated (opened) by changes in membrane electrical potential and/or by increases in concentration of intracellular calcium ion (Ca2+). They are essential for the regulation of several key physiological processes including smooth muscle tone and neuronal excitability. BK channels also contribute to the behavioral effects of ethanol in the worm C. elegans under high concentrations (> 100 mM, or approximately 0.50% BAC). It remains to be determined if they contribute to intoxication in humans.

Application Notes

The stated application concentrations are suggested starting amounts. Titration of the BK channel antibody may be required due to differences in protocols and secondary/substrate sensitivity.

Immunogen

Human partial recombinant protein (AA 124-467 of KCNMA1) was used as the immunogen for this BK channel antibody.

Storage

After reconstitution, the BK channel antibody can be stored for up to one month at 4oC. For long-term, aliquot and store at -20oC. Avoid repeated freezing and thawing.

Cross
Bulk Quote Request Form
Name*:
Organization*:
Email*:
Phone Number*:
Catalog No.*:
Comments and Specifics(amount, formulation, etc.)*:
Validation code: Captchapackage Image


Can't read the image? click here to refresh.
    *required field

Your bulk quote request has been submitted successfully!

Please contact us if you have any questions.