• Tel: 858.663.9055
  • SeparatorEmail: info@nsjbio.com
  • Tel: 858.663.9055
  • Email: info@nsjbio.com
Home >> Antibodies >> BIRC3 Antibody / Baculoviral IAP repeat-containing protein 2 / cIAP2

BIRC3 Antibody / Baculoviral IAP repeat-containing protein 2 / cIAP2 [clone ABIG-2] (FY13418)

  Catalog No Formulation Size Price (USD)  
Image FY13418 Rabbit IgG in phosphate buffered saline, pH 7.4, 150mM NaCl, 0.02% sodium azide and 50% glycerol, 0.4-0.5mg/ml BSA 100 ul 449
Microvalidated Recrabbitmono
Bulk quote request
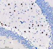
Immunohistochemical analysis of BIRC2 using anti-BIRC2 antibody. BIRC2 is detected in a paraffin-embedded section of rat brain tissue following heat-mediated antigen retrieval in EDTA buffer (pH 8.0). Positive staining is observed in a subset of brain cells, consistent with reported BIRC2 expression patterns.
Immunohistochemical analysis of BIRC2 using anti-BIRC2 antibody. BIRC2 is detected in a paraffin-embedded section of rat brain tissue following heat-mediated antigen retrieval in EDTA buffer (pH 8.0). Positive staining is observed in a subset of brain cells, consistent with reported BIRC2 expression patterns.
Western blot analysis of human 293T, HepG2 and HeLa cell lysate using BIRC3 antibody. Predicted molecular weight ~70 kDa.
Availability 1-2 days
Species Reactivity Human, Rat
Format Liquid
Host Rabbit
Clonality Recombinant Rabbit Monoclonal
Isotype Rabbit IgG
Clone Name ABIG-2
Purity Affinity chromatography
Buffer Rabbit IgG in phosphate buffered saline, pH 7.4, 150mM NaCl, 0.02% sodium azide and 50% glycerol, 0.4-0.5mg/ml BSA.
UniProt Q13489
Localization Nuclear, cytoplasmic
Applications Western Blot : 1:500-1:2000
Immunohistochemistry : 1:50-1:200
Limitations This BIRC3 antibody is available for research use only.
Review this product on BioCompare and get a $20 Amazon gift card

Related Products

Description

BIRC2 antibody targets Baculoviral IAP repeat-containing protein 2 (BIRC2), also known as cellular inhibitor of apoptosis 1 (cIAP1), a ubiquitin-binding regulatory protein that plays a central role in controlling cell survival and inflammatory signaling. BIRC2 is a member of the inhibitor of apoptosis protein family. In the cytoplasm, it associates with receptor-proximal signaling complexes. The protein contains multiple baculoviral IAP repeat domains that mediate protein interactions, along with a C-terminal RING finger domain that confers E3 ubiquitin ligase activity. These structural features allow BIRC2 to act as a signaling modulator rather than a direct enzymatic inhibitor of caspases.

Functionally, BIRC2 is best characterized for its role in tumor necrosis factor receptor signaling pathways. Upon receptor activation, BIRC2 promotes ubiquitination of key adaptor proteins, facilitating assembly of signaling complexes that activate NF-kappaB and related pro-survival pathways. Through this mechanism, BIRC2 suppresses apoptotic and necroptotic signaling while supporting transcriptional programs involved in inflammation and immune regulation. BIRC2 therefore acts as a molecular checkpoint that determines whether cells undergo survival or death in response to external stimuli. A BIRC2 antibody supports studies examining how ubiquitin-mediated signaling influences these outcomes.

BIRC2 expression is broadly distributed across tissues and cell types, reflecting its fundamental role in regulating survival signaling. Its abundance and activity can be dynamically regulated by cytokine exposure, cellular stress, and interaction with other IAP family members. BIRC2 can also undergo auto-ubiquitination and proteasomal degradation, providing a feedback mechanism to fine-tune signaling duration. Analysis of BIRC2 localization and expression offers insight into how cells adapt survival pathways under changing physiological conditions.

From a biological and disease-relevance perspective, BIRC2 has been widely studied in cancer biology and immunology. Elevated or stabilized BIRC2 expression has been observed in multiple tumor types, where it can contribute to resistance to cell death and altered inflammatory signaling. BIRC2 is also involved in immune and inflammatory responses, making it relevant to studies of chronic inflammation and immune-mediated disease. Because of its central role in coordinating ubiquitin-dependent signaling, BIRC2 remains an important research focus in investigations of therapeutic resistance and signaling pathway modulation.

At the molecular level, BIRC2 is encoded by the BIRC2 gene and produces a protein of approximately 68 kDa. The baculoviral IAP repeat domains enable interaction with signaling proteins, while the RING finger domain directs ubiquitin chain assembly that shapes downstream signaling. Proper BIRC2 function depends on its integration into multiprotein complexes and regulated ubiquitin ligase activity. A BIRC2 antibody supports research applications focused on apoptosis regulation, ubiquitin signaling, and inflammatory pathway analysis, with NSJ Bioreagents providing reagents intended for research use.

Application Notes

Optimal dilution of the BIRC3 antibody should be determined by the researcher.

Immunogen

A synthesized peptide derived from human Baculoviral IAP repeat-containing protein 2 protein was used as the immunogen for the BIRC3 antibody.

Storage

Store the BIRC3 antibody at -20oC.

Cross
Bulk Quote Request Form
Name*:
Organization*:
Email*:
Phone Number*:
Catalog No.*:
Comments and Specifics(amount, formulation, etc.)*:
Validation code: Captchapackage Image


Can't read the image? click here to refresh.
    *required field

Your bulk quote request has been submitted successfully!

Please contact us if you have any questions.