• Tel: 858.663.9055
  • SeparatorEmail: info@nsjbio.com
  • Tel: 858.663.9055
  • Email: info@nsjbio.com
Home >> Antibodies >> BiP Antibody / GRP78 / HSPA5

BiP Antibody / GRP78 / HSPA5 (R30913)

  Catalog No Formulation Size Price (USD)  
Image R30913 0.5mg/ml if reconstituted with 0.2ml sterile DI water 100 ug 449
Bulk quote request
Western blot testing of BiP antibody and Lane 1: rat testis; 2: A549; 3: MCF-7; 4: HeLa cell lysate. Predicted molecular weight: ~73 kDa, but routinely observed at 70-78 kDa.
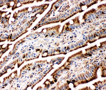
IHC-P: BiP antibody testing of rat intestine tissue
IHC-P: BiP antibody testing of rat cerebellum tissue
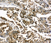
IHC-P: BiP antibody testing of human lung cancer tissue
ICC testing of BiP antibody and HeLa cells
IHC-F testing of BiP antibody and rat intestine tissue
Availability 1-3 business days
Species Reactivity Human, Mouse, Rat
Format Antigen affinity purified
Host Rabbit
Clonality Polyclonal (rabbit origin)
Isotype Rabbit Ig
Purity Antigen affinity
Buffer Lyophilized from 1X PBS with 2.5% BSA and 0.025% sodium azide/thimerosal
UniProt P11021
Applications Western Blot : 0.5-1ug/ml
IHC (FFPE) : 0.5-1ug/ml
IHC (Frozen) : 0.5-1ug/ml
Immunocytochemistry : 0.5-1ug/ml
Limitations This BiP antibody is available for research use only.
Review this product on BioCompare and get a $20 Amazon gift card

Related Products

Description

HSPA5 (heat shock 70kDa protein 5) also known as glucose-regulated protein, 78kD(GRP78) or BiP, is a member of the heat-shock protein-70 (HSP70) family and is involved in the folding and assembly of proteins in the endoplasmic reticulum.BiP is an essential component of the translocation machinery, as well as playing a role in retrograde transport across the ER membrane of aberrant proteins destined for degradation by theproteasome. Shen et al.(2002)concluded thatBiPretains ATF6 in the ER by inhibiting its Golgi localization signals and that dissociation ofBiPduring ER stress allows ATF6 to be transported to the Golgi. The findings ofShen et al.(2002)demonstrated thatthe proteinis a key element in sensing the folding capacity within the ER.

Application Notes

The stated application concentrations are suggested starting points. Titration of the BiP antibody may be required due to differences in protocols and secondary/substrate sensitivity.

Immunogen

An amino acid sequence from the C-terminus of human GRP78/BiP (EWLESHQDADIEDFK) was used as the immunogen for this BiP antibody (100% homologous in human, mouse and rat).

Storage

After reconstitution, the BiP antibody can be stored for up to one month at 4oC. For long-term, aliquot and store at -20oC. Avoid repeated freezing and thawing.

Cross
Bulk Quote Request Form
Name*:
Organization*:
Email*:
Phone Number*:
Catalog No.*:
Comments and Specifics(amount, formulation, etc.)*:
Validation code: Captchapackage Image


Can't read the image? click here to refresh.
    *required field

Your bulk quote request has been submitted successfully!

Please contact us if you have any questions.