• Tel: 858.663.9055
  • SeparatorEmail: info@nsjbio.com
  • Tel: 858.663.9055
  • Email: info@nsjbio.com
Home >> Antibodies >> BiP Antibody / GRP78 / HSPA5

BiP Antibody / GRP78 / HSPA5 [clone BOO-8] (RQ5350)

  Catalog No Formulation Size Price (USD)  
Image RQ5350 Antibody in PBS with 0.02% sodium azide, 50% glycerol and 0.4-0.5mg/ml BSA 100 ul 449
Microvalidated Rab Mono Image
Bulk quote request
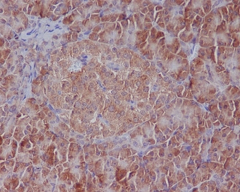
IHC staining of FFPE human pancreas tissue with BiP antibody. HIER: boil tissue sections in pH6, 10mM citrate buffer, for 10-20 min followed by cooling at RT for 20 min.
Western blot testing of human 1) LNCaP and 2) HepG2 cell lysate with BiP antibody. Predicted molecular weight: ~73 kDa, but routinely observed at 70-78 kDa.
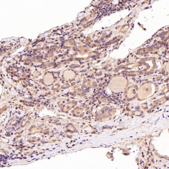
IHC staining of FFPE human thyroid cancer tissue with BiP antibody. HIER: boil tissue sections in pH6, 10mM citrate buffer, for 10-20 min followed by cooling at RT for 20 min.
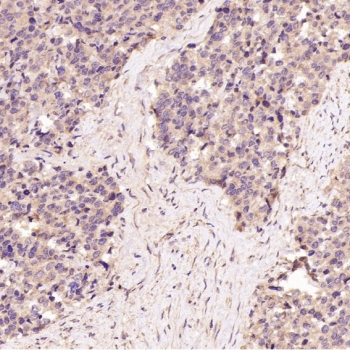
IHC staining of FFPE non-Hodgkin's Lymphoma tissue with BiP antibody. HIER: boil tissue sections in pH6, 10mM citrate buffer, for 10-20 min followed by cooling at RT for 20 min.
IHC staining of FFPE human prostate cancer tissue with BiP antibody. HIER: boil tissue sections in pH6, 10mM citrate buffer, for 10-20 min followed by cooling at RT for 20 min.
IHC staining of FFPE mouse skin tissue with BiP antibody. HIER: boil tissue sections in pH6, 10mM citrate buffer, for 10-20 min followed by cooling at RT for 20 min.
IHC staining of FFPE rat testis tissue with BiP antibody. HIER: boil tissue sections in pH6, 10mM citrate buffer, for 10-20 min followed by cooling at RT for 20 min.
Immunofluorescent staining of FFPE human HepG2 cells with BiP antibody (green) and DAPI nuclear stain (blue). HIER: steam section in pH6 citrate buffer for 20 min.
Western blot testing of human HEK293 cell lysate with BiP antibody. Predicted molecular weight: ~73 kDa, but routinely observed at 70-78 kDa.
Western blot testing of mouse liver tissue lysate with BiP antibody. Predicted molecular weight: ~73 kDa, but routinely observed at 70-78 kDa.
Availability 1-2 weeks
Species Reactivity Human, Mouse, Rat
Format Purified
Host Rabbit
Clonality Rabbit Monoclonal
Isotype Rabbit IgG
Clone Name BOO-8
Purity Affinity purified
UniProt P11021
Localization Cytoplasmic
Applications Western Blot : 1:500-1:2000
Immunohistochemistry (FFPE) : 1:50-1:200
Immunofluorescence : 1:50-1:100
Limitations This BiP antibody is available for research use only.
Review this product on BioCompare and get a $20 Amazon gift card

Related Products

Description

The protein encoded by the HSPA5 gene is a member of the heat shock protein 70 (HSP70) family. It is localized in the lumen of the endoplasmic reticulum (ER), and is involved in the folding and assembly of proteins in the ER. As this protein interacts with many ER proteins, it may play a key role in monitoring protein transport through the cell. [RefSeq]

Application Notes

Optimal dilution of the BiP antibody should be determined by the researcher.

Immunogen

A synthetic peptide specific to human HSPA5 / BiP was used as the immunogen for the BiP antibody.

Storage

Store the BiP antibody at -20oC.

Cross
Bulk Quote Request Form
Name*:
Organization*:
Email*:
Phone Number*:
Catalog No.*:
Comments and Specifics(amount, formulation, etc.)*:
Validation code: Captchapackage Image


Can't read the image? click here to refresh.
    *required field

Your bulk quote request has been submitted successfully!

Please contact us if you have any questions.