• Tel: 858.663.9055
  • SeparatorEmail: info@nsjbio.com
  • Tel: 858.663.9055
  • Email: info@nsjbio.com
Home >> Antibodies >> Biotin Antibody

Biotin Antibody [clone rBTN/8819] (V5320)

  Catalog No Formulation Size Price (USD)  
Image V5320-100UG 0.2 mg/ml in 1X PBS with 0.1 mg/ml BSA (US sourced), 0.05% sodium azide 100 ug 559
Image
V5320-20UG 0.2 mg/ml in 1X PBS with 0.1 mg/ml BSA (US sourced), 0.05% sodium azide 20 ug 259
Image
V5320SAF-100UG 1 mg/ml in 1X PBS; BSA free, sodium azide free 100 ug 559
Microvalidated Recmousemono
Bulk quote request
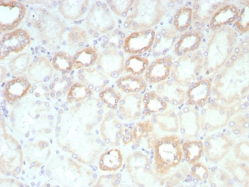
IHC staining of FFPE human kidney tissue with biotinylated Lambda Light Chain antibody probe followed by Biotin antibody (clone rBTN/8819).
SDS-PAGE analysis of purified, BSA-free Biotin antibody (clone rBTN/8819) as confirmation of integrity and purity.
Availability 1-3 business days
Species Reactivity All species
Format Purified
Host Mouse
Clonality Recombinant Mouse Monoclonal
Isotype Mouse IgG1, kappa
Clone Name rBTN/8819
Purity Protein A/G affinity
Applications Flow Cytometry : 0.5-1ug/million cells
Immunofluorescence : 0.5-1ug/ml
Western Blot : 0.5-2ug/ml
Immunohistochemistry (FFPE) : 0.5-1ug/ml for 30 minutes at RT
Limitations This Biotin antibody is available for research use only.
Review this product on BioCompare and get a $20 Amazon gift card

Related Products

Description

It recognizes both the free and protein-conjugated (either soluble or cell bound) form of biotin. This mAb is highly specific to biotin and shows no cross-reaction with other structurally related compounds. It has a very high affinity for biotin and is excellent for use in various amplification techniques. In some applications, localization of biotinylated probes with avidin produces unacceptably high background staining. Anti-biotin antibody may be substituted to decrease this noise.

Application Notes

Optimal dilution of the Biotin antibody should be determined by the researcher.

Immunogen

Biotinylated sheep immunoglobulin was used as the immunogen for the Biotin antibody.

Storage

Aliquot the Biotin antibody and store frozen at -20oC or colder. Avoid repeated freeze-thaw cycles.

Cross
Bulk Quote Request Form
Name*:
Organization*:
Email*:
Phone Number*:
Catalog No.*:
Comments and Specifics(amount, formulation, etc.)*:
Validation code: Captchapackage Image


Can't read the image? click here to refresh.
    *required field

Your bulk quote request has been submitted successfully!

Please contact us if you have any questions.