• Tel: 858.663.9055
  • SeparatorEmail: info@nsjbio.com
  • Tel: 858.663.9055
  • Email: info@nsjbio.com
Home >> Antibodies >> BIK Antibody / BCL2-interacting killer

BIK Antibody / BCL2-interacting killer (R32211)

  Catalog No Formulation Size Price (USD)  
Image R32211 0.5mg/ml if reconstituted with 0.2ml sterile DI water 100 ug 449
Bulk quote request
Western blot testing of 1) rat spleen, 2) rat stomach, 3) rat intestine, 4) human MCF7, 5) human A549 and 6) human SKOV lysate with BIK antibody. Expected molecular weight ~18 kDa but routinely observed at 18-22 kDa.
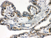
IHC testing of FFPE human thyroid cancer tissue with BIK antibody. HIER: Boil the paraffin sections in pH 6, 10mM citrate buffer for 20 minutes and allow to cool prior to staining.
IHC testing of FFPE mouse spleen with BIK antibody. HIER: Boil the paraffin sections in pH 6, 10mM citrate buffer for 20 minutes and allow to cool prior to staining.
IHC testing of FFPE rat spleen with BIK antibody. HIER: Boil the paraffin sections in pH 6, 10mM citrate buffer for 20 minutes and allow to cool prior to staining.
Flow cytometry testing of human A431 cells with BIK antibody at 1ug/10^6 cells (blocked with goat sera); Red=cells alone, Green=isotype control, Blue= BIK antibody.
Flow cytometry testing of human MCF7 cells with BIK antibody at 1ug/10^6 cells (blocked with goat sera); Red=cells alone, Green=isotype control, Blue= BIK antibody.
Flow cytometry testing of human THP1 cells with BIK antibody at 1ug/10^6 cells (blocked with goat sera); Red=cells alone, Green=isotype control, Blue= BIK antibody.
Availability 1-3 business days
Species Reactivity Human, Mouse, Rat
Format Antigen affinity purified
Host Rabbit
Clonality Polyclonal (rabbit origin)
Isotype Rabbit IgG
Purity Antigen affinity
Buffer Lyophilized from 1X PBS with 2.5% BSA and 0.025% sodium azide
UniProt Q13323
Localization Cytoplasmic
Applications Western Blot : 0.1-0.5ug/ml
IHC (FFPE) : 0.5-1ug/ml
Flow Cytometry : 1-3ug/10^6 cells
Limitations This BIK antibody is available for research use only.
Review this product on BioCompare and get a $20 Amazon gift card

Description

Bcl-2-interacting killer is a protein that in humans is encoded by the BIK gene. This gene is mapped to 22q13.31. The protein encoded by this gene shares a critical BH3 domain with other death-promoting proteins, such as BID, BAK, BAD and BAX, that is required for its pro-apoptotic activity, and for interaction with anti-apoptotic members of the BCL2 family, and viral survival-promoting proteins. Since the activity of this protein is suppressed in the presence of survival-promoting proteins, it is suggested as a likely target for anti-apoptotic proteins.

Application Notes

Optimal dilution of the BIK antibody should be determined by the researcher.

Immunogen

Amino acids 1-123 of human BIK were used as the immunogen for the BIK antibody.

Storage

After reconstitution, the BIK antibody can be stored for up to one month at 4oC. For long-term, aliquot and store at -20oC. Avoid repeated freezing and thawing.

Cross
Bulk Quote Request Form
Name*:
Organization*:
Email*:
Phone Number*:
Catalog No.*:
Comments and Specifics(amount, formulation, etc.)*:
Validation code: Captchapackage Image


Can't read the image? click here to refresh.
    *required field

Your bulk quote request has been submitted successfully!

Please contact us if you have any questions.