• Tel: 858.663.9055
  • SeparatorEmail: info@nsjbio.com
  • Tel: 858.663.9055
  • Email: info@nsjbio.com
Home >> Antibodies >> Bid Antibody

Bid Antibody (R32856)

  Catalog No Formulation Size Price (USD)  
Image R32856 0.5mg/ml if reconstituted with 0.2ml sterile DI water 100 ug 449
Bulk quote request
Bid Antibody Mouse Brain Tissue WB. Western blot testing of mouse brain tissue with Bid antibody at 0.5ug/ml. Predicted molecular weight ~22 kDa.
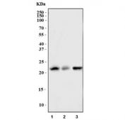
Bid Antibody Mouse Sample WB. Western blot testing of mouse 1) L929, 2) spleen and 3) RAW264.7 cell lysate with Bid antibody at 0.5ug/ml. Predicted molecular weight ~22 kDa.
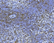
Bid Antibody Rat Speen Tissue IHC. Immunohistochemistry staining of FFPE rat spleen tissue with Bid antibody. HIER: boil tissue sections in pH8 EDTA for 20 min and allow to cool before testing.
Bid Antibody Mouse Neuro-2a Cell FACS. Flow cytometry testing of mouse Neuro-2a cells with Bid antibody at 1ug/million cells (blocked with goat sera); Red=cells alone, Green=isotype control, Blue= Bid antibody.
Availability 1-3 business days
Species Reactivity Mouse, Rat
Format Antigen affinity purified
Host Rabbit
Clonality Polyclonal (rabbit origin)
Isotype Rabbit IgG
Purity Antigen affinity
Buffer Lyophilized from 1X PBS with 2.5% BSA, 0.025% sodium azide
UniProt P70444
Localization Cytoplasmic
Applications Western Blot : 0.5-1ug/ml
Immunohistochemistry (FFPE) : 2-5ug/ml
Flow Cytometry : 1-3ug/million cells
Limitations This Bid antibody is available for research use only.
Review this product on BioCompare and get a $20 Amazon gift card

Related Products

Description

Bid Antibody detects BID (BH3-Interacting Domain Death Agonist), a pro-apoptotic member of the Bcl-2 protein family. The BCL2 family of proteins consists of both antagonists and agonists that regulate apoptosis and compete through dimerization. By fluorescence in situ hybridization, the human BID gene is mapped to 22q11. It is reported the purification of a cytosolic protein that induces cytochrome c release from mitochondria in response to caspase-8, the apical caspase activated by cell surface death receptors such as FAS and TNF.

This antibody is part of a broader antibody panel offered by NSJ Bioreagents.

Application Notes

Optimal dilution of the Bid antibody should be determined by the researcher.

Immunogen

A recombinant mouse protein corresponding to amino acids M1-D195 was used as the immunogen for the Bid antibody.

Storage

After reconstitution, the Bid antibody can be stored for up to one month at 4oC. For long-term, aliquot and store at -20oC. Avoid repeated freezing and thawing.

Cross
Bulk Quote Request Form
Name*:
Organization*:
Email*:
Phone Number*:
Catalog No.*:
Comments and Specifics(amount, formulation, etc.)*:
Validation code: Captchapackage Image


Can't read the image? click here to refresh.
    *required field

Your bulk quote request has been submitted successfully!

Please contact us if you have any questions.