• Tel: 858.663.9055
  • SeparatorEmail: info@nsjbio.com
  • Tel: 858.663.9055
  • Email: info@nsjbio.com
Home >> Antibodies >> Bid Antibody / BH3-interacting domain death agonist

Bid Antibody / BH3-interacting domain death agonist (R31123)

  Catalog No Formulation Size Price (USD)  
Image R31123 0.5mg/ml if reconstituted with 0.2ml sterile DI water 100 ug 449
Bulk quote request
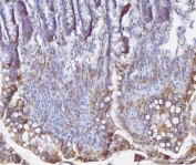
IHC staining of FFPE mouse colon tissue with Bid antibody. HIER: boil tissue sections in pH8 EDTA for 20 min and allow to cool before testing.
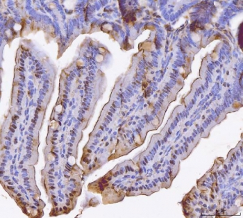
IHC staining of FFPE rat colon tissue with Bid antibody. HIER: boil tissue sections in pH8 EDTA for 20 min and allow to cool before testing.
Western blot testing of mouse 1) L929, 2) spleen and 3) RAW264.7 cell lysate. Expected molecular weight ~22 kDa.
Flow cytometry testing of mouse Neuro-2a cells with Bid antibody at 1ug/million cells (blocked with goat sera); Red=cells alone, Green=isotype control, Blue= Bid antibody.
Availability 1-3 business days
Species Reactivity Mouse, Rat
Format Antigen affinity purified
Host Rabbit
Clonality Polyclonal (rabbit origin)
Isotype Rabbit IgG
Purity Antigen affinity
Buffer Lyophilized from 1X PBS with 2% Trehalose
UniProt P70444
Localization Cytoplasmic
Applications Western Blot : 0.5-1ug/ml
Immunohistochemistry (FFPE) : 2-5ug/ml
Flow Cytometry : 1-3ug/million cells
Limitations This Bid antibody is available for research use only.
Review this product on BioCompare and get a $20 Amazon gift card

Related Products

Description

Bid (BH3-Interacting Domain Death Agonist), is a pro-apoptotic member of the Bcl-2 protein family. The BCL2 family of proteins consists of both antagonists and agonists that regulate apoptosis and compete through dimerization. By fluorescence in situ hybridization, Wang et al.(1998) mapped the human BID gene to 22q11. Luo et al.(1998) reported the purification of a cytosolic protein that induces cytochrome c release from mitochondria in response to caspase-8, the apical caspase activated by cell surface death receptors such as FAS and TNF.

Application Notes

The stated application concentrations are suggested starting amounts. Titration of the Bid antibody may be required due to differences in protocols and secondary/substrate sensitivity.

Immunogen

An amino acid sequence from the C-terminus of mouse Bid (NQNLFSYVRNLVRNEMD) was used as the immunogen for this Bid antibody.

Storage

After reconstitution, the Bid antibody can be stored for up to one month at 4oC. For long-term, aliquot and store at -20oC. Avoid repeated freezing and thawing.

Cross
Bulk Quote Request Form
Name*:
Organization*:
Email*:
Phone Number*:
Catalog No.*:
Comments and Specifics(amount, formulation, etc.)*:
Validation code: Captchapackage Image


Can't read the image? click here to refresh.
    *required field

Your bulk quote request has been submitted successfully!

Please contact us if you have any questions.