• Tel: 858.663.9055
  • SeparatorEmail: info@nsjbio.com
  • Tel: 858.663.9055
  • Email: info@nsjbio.com
Home >> Antibodies >> BI-1 Antibody / Bax inhibitor 1 / TMBIM6

BI-1 Antibody / Bax inhibitor 1 / TMBIM6 (RQ7366)

  Catalog No Formulation Size Price (USD)  
Image RQ7366 0.5mg/ml if reconstituted with 0.2ml sterile DI water 100 ug 449
Bulk quote request
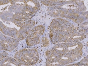
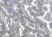
IHC staining of FFPE human liver cancer tissue with BI-1 antibody. HIER: boil tissue sections in pH8 EDTA for 20 min and allow to cool before testing.
IHC staining of FFPE human prostate cancer tissue with BI-1 antibody. HIER: boil tissue sections in pH8 EDTA for 20 min and allow to cool before testing.
IHC staining of FFPE human lung cancer tissue with BI-1 antibody. HIER: boil tissue sections in pH8 EDTA for 20 min and allow to cool before testing.
IHC staining of FFPE human endometrial adenocarcinoma tissue with BI-1 antibody. HIER: boil tissue sections in pH8 EDTA for 20 min and allow to cool before testing.
Western blot testing of human 1) RT4 and 2) Caco-2 cell lysate with BI-1 antibody. Predicted molecular weight ~27 kDa (isoform 1) and ~33 kDa (isoform 2).
Immunofluorescent staining of FFPE human liver cancer tissue with BI-1 antibody (red) and DAPI nuclear stain (blue). HIER: steam section in pH8 EDTA buffer for 20 min.
Immunofluorescent staining of FFPE human HeLa cells with BI-1 antibody (red) and DAPI nuclear stain (blue). HIER: steam section in pH6 citrate buffer for 20 min.
Availability 1-3 business days
Species Reactivity Human
Format Antigen affinity purified
Host Rabbit
Clonality Polyclonal (rabbit origin)
Isotype Rabbit IgG
Purity Antigen affinity purified
Buffer Lyophilized from 1X PBS with 2% Trehalose
UniProt P55061
Localization Cytoplasmic (ER)
Applications Western Blot : 0.5-1ug/ml
Immunohistochemistry (FFPE) : 2-5ug/ml
Immunofluorescence : 5ug/ml
Limitations This BI-1 antibody is available for research use only.
Review this product on BioCompare and get a $20 Amazon gift card

Description

Bax inhibitor 1 (BI-1) is a protein that in humans is encoded by the TMBIM6 gene. Enables endoribonuclease inhibitor activity and ubiquitin protein ligase binding activity. Involved in several processes, including negative regulation of RNA metabolic process; negative regulation of intrinsic apoptotic signaling pathway; and response to L-glutamate. Acts upstream of or within negative regulation of calcium ion transport into cytosol. Located in endoplasmic reticulum membrane and mitochondrial membrane. Biomarker of cervical squamous cell carcinoma and prostate carcinoma.

Application Notes

Optimal dilution of the BI-1 antibody should be determined by the researcher.

Immunogen

Amino acids RKINFDALLKFSHITPSTQQHLK were used as the immunogen for the BI-1 antibody.

Storage

After reconstitution, the BI-1 antibody can be stored for up to one month at 4oC. For long-term, aliquot and store at -20oC. Avoid repeated freezing and thawing.

Cross
Bulk Quote Request Form
Name*:
Organization*:
Email*:
Phone Number*:
Catalog No.*:
Comments and Specifics(amount, formulation, etc.)*:
Validation code: Captchapackage Image


Can't read the image? click here to refresh.
    *required field

Your bulk quote request has been submitted successfully!

Please contact us if you have any questions.