• Tel: 858.663.9055
  • SeparatorEmail: info@nsjbio.com
  • Tel: 858.663.9055
  • Email: info@nsjbio.com
Home >> Antibodies >> BGN Antibody / Biglycan

BGN Antibody / Biglycan (FY13198)

  Catalog No Formulation Size Price (USD)  
Image FY13198 Adding 0.2 ml of distilled water will yield a concentration of 500 ug/ml 100 ug 449
Bulk quote request
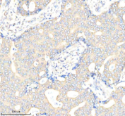
Immunohistochemical staining of Biglycan/BGN using anti-BGN antibody. Biglycan/BGN was detected in a paraffin-embedded section of rat knee tissue. Heat mediated antigen retrieval was performed in EDTA buffer (pH 8.0, epitope retrieval solution). The tissue section was blocked with 10% goat serum. The tissue section was then incubated with 2 ug/ml rabbit anti-BGN antibody overnight at 4oC. Peroxidase Conjugated Goat Anti-rabbit IgG was used as secondary antibody and incubated for 30 minutes at 37oC. The tissue section was developed using an HRP secondary and DAB substrate.
Western blot analysis of Biglycan/BGN using anti-BGN antibody. Lane 1: human COLO320 whole cell lysates, Lane 2: human Hela whole cell lysates, Lane 3: human HepG2 whole cell lysates, Lane 4: human HUVEC whole cell lysates, Lane 5: rat skeletal muscle tissue lysates, Lane 6: rat L6 whole cell lysates, Lane 7: mouse skeletal muscle tissue lysates, Lane 8: mouse C2C12 whole cell lysates. After electrophoresis, proteins were transferred to a nitrocellulose membrane at 150 mA for 50-90 minutes. Blocked the membrane with 5% non-fat milk/TBS for 1.5 hour at RT. The membrane was incubated with rabbit anti-BGN antibody at 0.5 ug/ml overnight at 4oC, then washed with TBS-0.1%Tween 3 times with 5 minutes each and probed with a goat anti-rabbit IgG-HRP secondary antibody at a dilution of 1:5000 for 1.5 hour at RT. The signal was developed using enhanced chemiluminescent. Western blot detection of Biglycan (BGN) shows a band at ~48 kDa, slightly above the 42 kDa core, consistent with glycosylated proteoforms of the Biglycan core protein.
Immunohistochemical staining of Biglycan/BGN using anti-BGN antibody. Biglycan/BGN was detected in a paraffin-embedded section of human breast cancer tissue. Heat mediated antigen retrieval was performed in EDTA buffer (pH 8.0, epitope retrieval solution). The tissue section was blocked with 10% goat serum. The tissue section was then incubated with 2 ug/ml rabbit anti-BGN antibody overnight at 4oC. Peroxidase Conjugated Goat Anti-rabbit IgG was used as secondary antibody and incubated for 30 minutes at 37oC. The tissue section was developed using an HRP secondary and DAB substrate.
Flow Cytometry analysis of Caco-2 cells using anti-BGN antibody. Overlay histogram showing Caco-2 cells stained with (Blue line). The cells were fixed with 4% paraformaldehyde and blocked with 10% normal goat serum. And then incubated with rabbit anti-BGN antibody (1 ug/million cells) for 30 min at 20oC. DyLight 488 conjugated goat anti-rabbit IgG (5-10 ug/million cells) was used as secondary antibody for 30 minutes at 20oC. Isotype control antibody (Green line) was rabbit IgG (1 ug/million cells) used under the same conditions. Unlabelled sample without incubation with primary antibody and secondary antibody (Red line) was used as a blank control.
Availability 1-2 days
Species Reactivity Human, Mouse, Rat
Format Lyophilized
Host Rabbit
Clonality Polyclonal (rabbit origin)
Isotype Rabbit IgG
Purity Immunogen affinity purified
Buffer Each vial contains 4 mg Trehalose, 0.9 mg NaCl, 0.2 mg Na2HPO4.
UniProt P21810
Applications Western Blot : 0.25-0.5ug/ml
Immunohistochemistry : 2-5ug/ml
Limitations This BGN antibody is available for research use only.
Review this product on BioCompare and get a $20 Amazon gift card

Related Products

  • Applications : WB, ELISA (peptide)
    Reactivity : Rat
    Pred. Reactivity : Dog, Human, Mouse
  • Applications : FACS, IHC-P, WB
    Reactivity : Human

Description

BGN antibody detects Biglycan, a small leucine-rich proteoglycan (SLRP) that regulates extracellular matrix assembly, collagen fibrillogenesis, and innate immune signaling. The UniProt recommended name is Biglycan (BGN). This extracellular matrix component binds collagens, growth factors, and cell surface receptors to coordinate tissue structure and repair responses.

Functionally, BGN antibody identifies a 368-amino-acid core protein decorated with chondroitin/dermatan sulfate glycosaminoglycan chains. Biglycan interacts with collagen types I, II, and VI to stabilize fibril formation and maintain matrix integrity. It also binds toll-like receptors TLR2 and TLR4, activating NF-kappaB-mediated inflammatory signaling in macrophages and fibroblasts. Through its dual structural and signaling roles, Biglycan serves as a molecular bridge between tissue mechanics and innate immune pathways.

The BGN gene is located on chromosome Xq28 and is expressed in connective tissues such as bone, tendon, skin, and vascular walls. It is particularly abundant in mineralized tissues, where it regulates osteoblast differentiation, bone mineralization, and matrix maturation. BGN expression is dynamically regulated during wound healing, inflammation, and fibrosis, contributing to tissue remodeling and repair.

Pathologically, altered BGN levels have been associated with muscular dystrophy, atherosclerosis, osteogenesis imperfecta, and cancer. Elevated Biglycan expression promotes fibrosis and chronic inflammation by sustaining macrophage activation, while deficiency leads to impaired matrix organization and skeletal fragility. Research using BGN antibody supports studies in extracellular matrix biology, inflammation, and connective tissue disease mechanisms.

BGN antibody is validated for western blotting, immunohistochemistry, and ELISA to detect extracellular matrix proteoglycans. NSJ Bioreagents provides BGN antibody reagents optimized for studies in collagen assembly, matrix remodeling, and tissue regeneration.

Structurally, Biglycan contains tandem leucine-rich repeat (LRR) motifs that mediate protein-protein interactions and a signal peptide directing secretion to the extracellular matrix. The glycosaminoglycan attachment sites near its N-terminus allow Biglycan to form proteoglycan complexes essential for biomechanical strength and cell signaling. This antibody aids in the analysis of BGN's structural role in connective tissue maintenance and its signaling function in inflammation and repair.

Application Notes

Optimal dilution of the BGN antibody should be determined by the researcher.

Immunogen

A synthetic peptide corresponding to a sequence at the N-terminus of human Biglycan/BGN was used as the immunogen for the BGN antibody.

Storage

After reconstitution, the BGN antibody can be stored for up to one month at 4oC. For long-term, aliquot and store at -20oC. Avoid repeated freezing and thawing.

Cross
Bulk Quote Request Form
Name*:
Organization*:
Email*:
Phone Number*:
Catalog No.*:
Comments and Specifics(amount, formulation, etc.)*:
Validation code: Captchapackage Image


Can't read the image? click here to refresh.
    *required field

Your bulk quote request has been submitted successfully!

Please contact us if you have any questions.