• Tel: 858.663.9055
  • SeparatorEmail: info@nsjbio.com
  • Tel: 858.663.9055
  • Email: info@nsjbio.com
Home >> Antibodies >> Beta-Catenin Antibody for WB / CTNNB1 Western Blot Antibody

Beta-Catenin Antibody for WB / CTNNB1 Western Blot Antibody (R32807)

  Catalog No Formulation Size Price (USD)  
Image R32807 0.5mg/ml if reconstituted with 0.2ml sterile DI water 100 ug 449
Bulk quote request
Beta-Catenin Antibody Multi-Sample WB. Western blot analysis of 1) human placenta, 2) human A431, 3) human SK-OV-3, 4) rat heart, and 5) mouse testis lysates using Beta-Catenin Antibody for WB detects a consistent band at approximately 90-95 kDa across all samples, aligning with the predicted molecular weight of Catenin beta-1 / CTNNB1 at ~85 kDa with a characteristic upward shift during SDS-PAGE. This migration pattern is consistent with phosphorylation-dependent regulation of beta-catenin stability. Lane-to-lane consistency supports robust detection across species and tissue types, demonstrating suitability for comparative CTNNB1 protein analysis in immunoblot applications.
Beta-Catenin Antibody A431 Cell IF. Immunofluorescence analysis of FFPE human A431 cells using Beta-Catenin antibody shows distinct membranous green fluorescence outlining cell borders, consistent with CTNNB1 / Catenin beta-1 localization at adherens junctions, with minimal cytoplasmic signal. DAPI nuclear stain (blue) highlights nuclei, providing contrast to the peripheral staining pattern. HIER: steam FFPE sections in pH 6 citrate buffer for 20 min and allow to cool prior to testing.
Beta-Catenin Antibody A549 Cell FACS. Flow cytometry analysis of human A549 cells using Beta-Catenin antibody shows a clear rightward shift of the blue population relative to both the red cells-only control and the green isotype control, indicating specific detection of CTNNB1 / Catenin beta-1 expression. The fluorescence profile supports intracellular localization consistent with beta-catenin distribution in cytoplasmic and membrane-associated pools following fixation and permeabilization. Red represents cells alone, green represents isotype control, and blue represents Beta-Catenin antibody staining.
Beta-Catenin Antibody Breast Cancer Tissue IHC. Immunohistochemistry analysis of FFPE human breast cancer tissue using Beta-Catenin antibody shows strong membranous staining outlining tumor epithelial cells, consistent with CTNNB1 / Catenin beta-1 localization at adherens junctions, with mild cytoplasmic signal in select cells. Tumor glandular structures are clearly defined, while surrounding stromal regions display comparatively low staining. Hematoxylin counterstain provides nuclear contrast and tissue architecture. HIER: steam FFPE sections in pH 6 citrate buffer for 20 min and allow to cool prior to testing.
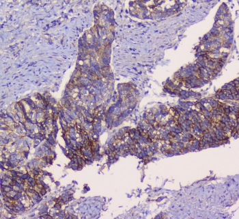
Beta-Catenin Antibody Prostate Cancer Tissue IHC. Immunohistochemistry analysis of FFPE human prostate cancer tissue using Beta-Catenin antibody shows strong membranous and cytoplasmic staining in tumor epithelial cells, consistent with CTNNB1 / Catenin beta-1 localization, with heterogeneous intensity across tumor regions. Malignant glandular structures are well delineated, while surrounding stromal tissue displays comparatively low staining. Hematoxylin counterstain provides clear nuclear contrast and architectural detail. HIER: steam FFPE sections in pH 6 citrate buffer for 20 min and allow to cool prior to testing.
Beta-Catenin Antibody Liver Cancer Tissue IHC. Immunohistochemistry analysis of FFPE human liver cancer tissue using Beta-Catenin antibody shows diffuse cytoplasmic and membranous staining in tumor cells, consistent with CTNNB1 / Catenin beta-1 localization, with variable intensity across the tumor field. Tumor architecture is preserved with clusters of malignant cells displaying moderate to strong signal, while surrounding non-tumor regions show comparatively lower staining. Hematoxylin counterstain provides nuclear contrast and structural context. HIER: steam FFPE sections in pH 6 citrate buffer for 20 min and allow to cool prior to testing.
Beta-Catenin Antibody Mouse Liver Tissue IHC. Immunohistochemistry analysis of FFPE mouse liver tissue using Beta-Catenin antibody shows prominent membranous staining outlining hepatocyte borders, consistent with CTNNB1 / Catenin beta-1 localization at adherens junctions, with mild cytoplasmic signal in hepatocytes. Hepatic architecture is well preserved, and non-parenchymal regions display comparatively lower staining intensity. Hematoxylin counterstain provides nuclear contrast and structural detail. HIER: steam FFPE sections in pH 6 citrate buffer for 20 min and allow to cool prior to testing.
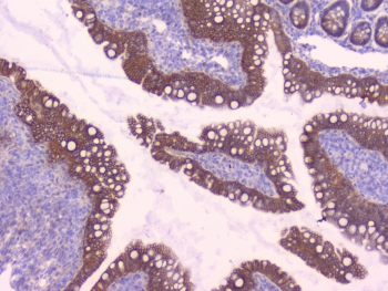
Beta-Catenin Antibody Mouse Small Intestine Tissue IHC. Immunohistochemistry analysis of FFPE mouse small intestine tissue using Beta-Catenin antibody shows strong membranous staining along epithelial cell borders lining the villi and crypts, consistent with CTNNB1 / Catenin beta-1 localization at adherens junctions, with mild cytoplasmic signal in enterocytes. Intestinal architecture is clearly preserved, and underlying stromal regions display comparatively low staining. Hematoxylin counterstain provides nuclear contrast and tissue context. HIER: steam FFPE sections in pH 6 citrate buffer for 20 min and allow to cool prior to testing.
Beta-Catenin Antibody Rat Liver Tissue IHC. Immunohistochemistry analysis of FFPE rat liver tissue using Beta-Catenin antibody shows membranous staining outlining hepatocyte borders with additional cytoplasmic signal, consistent with CTNNB1 / Catenin beta-1 localization at adherens junctions and intracellular pools. Hepatic architecture is preserved, with hepatocyte plates clearly defined and non-parenchymal regions displaying comparatively low staining intensity. Hematoxylin counterstain provides nuclear contrast and structural detail. HIER: steam FFPE sections in pH 6 citrate buffer for 20 min and allow to cool prior to testing.
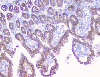
Beta-Catenin Antibody Rat Small Intestine Tissue IHC. Immunohistochemistry analysis of FFPE rat small intestine tissue using Beta-Catenin antibody shows strong membranous staining along epithelial cell borders lining villi and crypt structures, consistent with CTNNB1 / Catenin beta-1 localization at adherens junctions, with mild cytoplasmic signal in enterocytes. Intestinal architecture is well preserved, and underlying stromal compartments display comparatively low staining intensity. Hematoxylin counterstain provides nuclear contrast and structural context. HIER: steam FFPE sections in pH 6 citrate buffer for 20 min and allow to cool prior to testing.
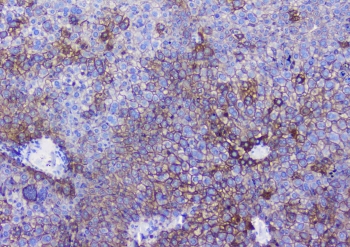
Beta-Catenin Antibody Rat Spleen Tissue IHC. Immunohistochemistry analysis of FFPE rat spleen tissue using Beta-Catenin antibody shows diffuse cytoplasmic and membranous staining across splenic cell populations, consistent with CTNNB1 / Catenin beta-1 localization, with variable intensity between red pulp and lymphoid regions. Cellular architecture is preserved, and background staining remains low in non-cellular areas. Hematoxylin counterstain provides clear nuclear contrast and tissue context. HIER: steam FFPE sections in pH 6 citrate buffer for 20 min and allow to cool prior to testing.
Beta-Catenin Antibody Rat Heart Tissue IHC. Immunohistochemistry analysis of FFPE rat heart tissue using Beta-Catenin antibody shows membranous staining along cardiomyocyte cell borders, consistent with CTNNB1 / Catenin beta-1 localization at intercellular junctions, with low to moderate cytoplasmic signal. Cardiac muscle fibers are well preserved, and interstitial regions display minimal staining. Hematoxylin counterstain provides nuclear contrast and structural detail. HIER: steam FFPE sections in pH 6 citrate buffer for 20 min and allow to cool prior to testing.
Beta-Catenin Antibody Human Cell Line Panel WB. Western blot analysis of 1) human placenta, 2) PC-3, 3) U-87 MG, 4) Caco-2, 5) HeLa, 6) A549, and 7) K562 lysates using Beta-Catenin Antibody for WB detects a consistent band at approximately 90-95 kDa across all samples, aligning with the predicted molecular weight of Catenin beta-1 / CTNNB1 at ~85 kDa with a characteristic upward shift during SDS-PAGE. The uniform banding pattern across diverse epithelial and cancer cell lines supports reliable detection of CTNNB1 and is consistent with phosphorylation-regulated electrophoretic mobility of beta-catenin.
Beta-Catenin Antibody Rodent Tissue WB. Western blot analysis of 1) rat heart, 2) mouse heart, 3) mouse lung, and 4) mouse liver lysates using Beta-Catenin Antibody for WB detects a consistent band at approximately 90-95 kDa across all samples, aligning with the predicted molecular weight of Catenin beta-1 / CTNNB1 at ~85 kDa with a characteristic upward shift during SDS-PAGE. The uniform banding pattern across rodent tissues supports cross-species detection of CTNNB1 and is consistent with phosphorylation-associated modulation of beta-catenin electrophoretic mobility.
Beta-Catenin Antibody Intestinal Cancer Tissue IF. Immunofluorescence analysis of FFPE human intestinal cancer tissue using Beta-Catenin antibody shows strong red fluorescence outlining epithelial cell borders with additional cytoplasmic signal, consistent with CTNNB1 / Catenin beta-1 localization at adherens junctions and intracellular pools. Tumor glandular architecture is clearly defined, and DAPI nuclear stain (blue) highlights nuclei, providing contrast to the beta-catenin signal. HIER: boil FFPE tissue sections in pH 8 EDTA for 20 min and allow to cool before testing.
Availability 1-3 business days
Species Reactivity Human, Mouse, Rat
Format Antigen affinity purified
Host Rabbit
Clonality Polyclonal (rabbit origin)
Isotype Rabbit IgG
Purity Antigen affinity
Buffer Lyophilized from 1X PBS with 2% Trehalose, 0.025% sodium azide
UniProt P35222
Localization Cell surface, cytoplasmic
Applications Western Blot : 0.5-1ug/ml
Immunohistochemistry (FFPE) : 1-2ug/ml
Immunocytochemistry : 2-4ug/ml
Immunofluorescence : 5ug/ml
Flow Cytometry : 1-3ug/million cells
Direct ELISA : 0.1-0.5ug/ml (BSA-free formulation available)
Limitations This Beta-Catenin Antibody for WB / CTNNB1 Western Blot Antibody is available for research use only.
Review this product on BioCompare and get a $20 Amazon gift card

Related Products

Description

Beta-catenin (CTNNB1) is a multifunctional protein that plays critical roles in cell adhesion and Wnt signaling, with tightly regulated expression and stability that make it a key target for western blot analysis. The Beta-Catenin Antibody for WB is designed to detect CTNNB1 protein with clarity and consistency in immunoblotting applications, where accurate band identification and interpretation are essential. CTNNB1 is encoded on chromosome 3p22.1 and belongs to the armadillo repeat protein family, containing multiple interaction domains that enable binding to cadherins, transcription factors, and regulatory complexes.

The Beta-Catenin Antibody for WB, also referred to as CTNNB1 antibody and Catenin beta-1 antibody in the literature, recognizes a protein that exhibits characteristic migration behavior in SDS-PAGE. The predicted molecular weight of beta-catenin is approximately 85 kDa; however, it is routinely observed at approximately 90-95 kDa due to post-translational modifications, particularly phosphorylation. These modifications regulate protein stability and degradation through the destruction complex, which includes APC, AXIN, GSK3beta, and CK1. As a result, western blot detection of CTNNB1 often reflects both total protein levels and modification-dependent shifts in electrophoretic mobility.

This Beta-Catenin Antibody for WB is uniquely positioned for studies requiring precise interpretation of band patterns associated with signaling activity. In the absence of Wnt signaling, beta-catenin is phosphorylated and targeted for proteasomal degradation, resulting in low steady-state levels. Upon pathway activation, stabilized beta-catenin accumulates, leading to increased band intensity and potential mobility shifts depending on phosphorylation state. These dynamics make CTNNB1 western blot analysis a valuable tool for monitoring pathway activation and protein regulation in response to experimental conditions.

Beta-catenin is widely expressed across tissues, including epithelial cells, neural tissue, and proliferative compartments, where it contributes to both structural and signaling functions. In western blot applications, lysates derived from cancer cell lines and tumor tissues frequently show elevated CTNNB1 levels or altered migration patterns due to mutations that disrupt degradation pathways. Such alterations are commonly observed in colorectal carcinoma, hepatocellular carcinoma, and other malignancies where Wnt signaling is dysregulated. The ability to detect these changes reliably makes beta-catenin antibody analysis essential for cancer and signaling research.

The rabbit polyclonal format of this antibody supports robust detection across a range of sample types, recognizing CTNNB1 protein in contexts where isoforms, degradation fragments, or modification states may be present. While this antibody also detects beta-catenin expression in additional assay formats, its performance in western blotting is particularly suited for evaluating protein size, abundance, and post-translational regulation. This antibody targets CTNNB1 for research applications requiring accurate and reproducible detection of beta-catenin in immunoblot assays.

This antibody complements our Beta-Catenin Antibody / CTNNB1 Antibody (clone CTNNB1/2030R) for broader analysis of CTNNB1 expression and localization.

Application Notes

Optimal dilution of the Beta-Catenin Antibody for WB / CTNNB1 Western Blot Antibody should be determined by the researcher.

Immunogen

A recombinant human protein corresponding to amino acids A2-K233 was used as the immunogen for the Beta Catenin antibody.

Storage

After reconstitution, the Beta Catenin antibody can be stored for up to one month at 4oC. For long-term, aliquot and store at -20oC. Avoid repeated freezing and thawing.

Alternate Names

Beta-catenin WB antibody, CTNNB1 western blot antibody, Catenin beta-1 WB antibody, Beta catenin immunoblot antibody, CTNNB1 protein detection antibody

Cross
Bulk Quote Request Form
Name*:
Organization*:
Email*:
Phone Number*:
Catalog No.*:
Comments and Specifics(amount, formulation, etc.)*:
Validation code: Captchapackage Image


Can't read the image? click here to refresh.
    *required field

Your bulk quote request has been submitted successfully!

Please contact us if you have any questions.