• Tel: 858.663.9055
  • SeparatorEmail: info@nsjbio.com
  • Tel: 858.663.9055
  • Email: info@nsjbio.com
Home >> Antibodies >> Beta Catenin Antibody

Beta Catenin Antibody [clone 1F6] (RQ4508)

  Catalog No Formulation Size Price (USD)  
Image RQ4508 0.5mg/ml if reconstituted with 0.2ml sterile DI water 100 ug 449
Bulk quote request
Immunofluorescent testing of FFPE human A431 cells with Beta Catenin antibody. HIER: boil tissue sections in pH6, 10mM citrate buffer, for 10-20 min followed by cooling at RT for 20 min.
Flow cytometry testing of human SiHa cells with Beta Catenin antibody at 1ug/10^6 cells (blocked with goat sera); Red=cells alone, Green=isotype control, Blue= Beta Catenin antibody.
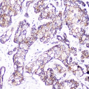
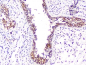
IHC testing of FFPE human breast cancer with Beta Catenin antibody. HIER: boil tissue sections in pH6, 10mM citrate buffer, for 10-20 min followed by cooling at RT for 20 min.
IHC testing of FFPE human breast cancer with Beta Catenin antibody. HIER: boil tissue sections in pH6, 10mM citrate buffer, for 10-20 min followed by cooling at RT for 20 min.
Western blot testing of human 1) HeLa, 2) COLO-320, 3) HepG2, 4) MCF7, 5) SW620, 6) 22RV1 and 7) Jurkat lysate with Beta Catenin antibody. Predicted molecular weight ~85 kDa, but routinely observed at 90-95 kDa.
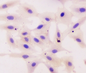
Beta Catenin Antibody Immunocytochemistry. ICC testing of human A549 cells with Beta Catenin antibody.
Availability 1-3 business days
Species Reactivity Human
Format Purified
Host Mouse
Clonality Monoclonal (mouse origin)
Isotype Mouse IgG1
Clone Name 1F6
Purity Protein G affinity
Buffer Lyophilized from 1X PBS with 2% Trehalose and 0.025% sodium azide
UniProt P35222
Localization Cell surface, cytoplasmic, cell junctions, nuclear
Applications Western Blot : 0.5-1ug/ml
Immunohistochemistry (FFPE) : 1-2ug/ml
Immunocytochemistry : 2-4ug/ml
Immunofluorescence : 2-4ug/ml
Flow Cytometry : 1-3ug/million cells
Limitations This Beta Catenin antibody is available for research use only.
Review this product on BioCompare and get a $20 Amazon gift card

Related Products

Description

Catenins are proteins found in complexes with cadherin cell adhesion molecules of animal cells. The first two catenins that were identified became known as alpha-catenin and beta-catenin. Alpha-catenin can bind to beta-catenin and can also bind actin. Beta-catenin binds the cytoplasmic domain of some cadherins. Beta-catenin is an adherens junction protein. It plays an important role in various aspects of liver biology including liver development (both embryonic and postnatal), liver regeneration following partial hepatectomy. HGF-induced hepatpomegaly, liver zonation, and pathogenesis of liver cancer.

This CTNNB1 antibody complements our Beta-Catenin Antibody / CTNNB1 Antibody (clone CTNNB1/2030R) for broader analysis of CTNNB1 expression and localization.

Application Notes

Optimal dilution of the Beta Catenin antibody should be determined by the researcher.

Immunogen

Human beta Catenin recombinant protein (amino acids A2-K233) was used as the immunogen for the Beta Catenin antibody.

Storage

After reconstitution, the Beta Catenin antibody can be stored for up to one month at 4oC. For long-term, aliquot and store at -20oC. Avoid repeated freezing and thawing.

Cross
Bulk Quote Request Form
Name*:
Organization*:
Email*:
Phone Number*:
Catalog No.*:
Comments and Specifics(amount, formulation, etc.)*:
Validation code: Captchapackage Image


Can't read the image? click here to refresh.
    *required field

Your bulk quote request has been submitted successfully!

Please contact us if you have any questions.