• Tel: 858.663.9055
  • SeparatorEmail: info@nsjbio.com
  • Tel: 858.663.9055
  • Email: info@nsjbio.com
Home >> Antibodies >> Beta Amyloid Antibody / APP

Beta Amyloid Antibody / APP [clone APP/4469] (V5428)

  Catalog No Formulation Size Price (USD)  
Image V5428-100UG 0.2 mg/ml in 1X PBS with 0.1 mg/ml BSA (US sourced), 0.05% sodium azide 100 ug 559
Image
V5428-20UG 0.2 mg/ml in 1X PBS with 0.1 mg/ml BSA (US sourced), 0.05% sodium azide 20 ug 259
Image
V5428SAF-100UG 1 mg/ml in 1X PBS; BSA free, sodium azide free 100 ug 559
Bulk quote request
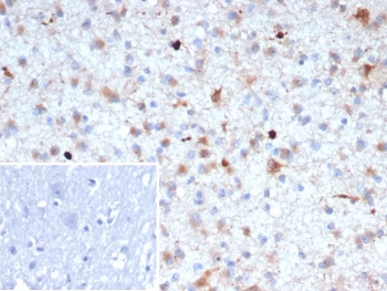
IHC staining of FFPE human brain tissue with Beta Amyloid antibody (clone APP/4469). Inset: PBS used in place of primary Ab (secondary Ab negative control). HIER: boil tissue sections in pH 9 10mM Tris with 1mM EDTA for 20 min and allow to cool before testing.
SDS-PAGE analysis of purified, BSA-free Beta Amyloid antibody (clone APP/4469) as confirmation of integrity and purity.
Availability 1-3 business days
Species Reactivity Human
Format Purified
Host Mouse
Clonality Monoclonal (mouse origin)
Isotype Mouse IgG1, kappa
Clone Name APP/4469
Purity Protein A/G affinity
UniProt P05067
Localization Cell membrane, cytoplasm
Applications Immunohistochemistry (FFPE) : 1-2ug/ml
Limitations This Beta Amyloid antibody is available for research use only.
Review this product on BioCompare and get a $20 Amazon gift card

Related Products

Description

Proteolytic cleavage of the Amyloid protein precursor (APP) gives rise to the b-Amyloid and Amyloid A4 proteins, which are present in human platelets. Amyloid deposition is associated with type II diabetes, Down syndrome and a variety of neurological disorders, including Alzheimer s disease. The Amyloid precursor protein (APP) undergoes alternative splicing, resulting in several isoforms. Proteolytic cleavage of APP leads to the formation of the 4 kDa Amyloid b/A4 Amyloid protein. This protein is involved in the formation of neurofibrillary tangles and plaques that characterize the senile plaques of Alzheimer s patients. APLP1 (Amyloid precursor-like protein 1) and APLP2 are structurally similar to APP. Human APLP2 is a membrane-bound sperm protein that contains a region highly homologous to the transmembrane-cytoplasmic domains of APP found in brain plaques of Alzheimer s disease patients.

Application Notes

Optimal dilution of the Beta Amyloid antibody should be determined by the researcher.

Immunogen

A portion of amino acids 1-100 of the amyloid beta protein was used as the immunogen for the Beta Amyloid antibody. This antibody recognizes an epitope in the region of amino acids 8-16 of the amyloid precursor protein.

Storage

Aliquot the Beta Amyloid antibody and store frozen at -20oC or colder. Avoid repeated freeze-thaw cycles.

Cross
Bulk Quote Request Form
Name*:
Organization*:
Email*:
Phone Number*:
Catalog No.*:
Comments and Specifics(amount, formulation, etc.)*:
Validation code: Captchapackage Image


Can't read the image? click here to refresh.
    *required field

Your bulk quote request has been submitted successfully!

Please contact us if you have any questions.